A baba portál - Babanet.hu

Új privát üzeneted érkezett!

Társalgó főoldal » Szülészetek, kórházak » "Budai Meddőségi Centrum - babás topik"


Hello mindenki!

Most értünk haza, hulla vagyok.
Gyors helyzetjelentés: Gyerekek, ilyen a mesébe sincs!!!! Már most szivat minket, mi lesz ha kinn lesz ????!!!???? :lol:
Gyermekem hű maradt önmagához, célirányba befordulva, popsival kifelé, szigorúan törökülésbe összehúzott lábakkal. Semmi nem látszott abból hogy mit rejteget annyira. Most mondjátok meg, hogy lehet ilyen rafkós?
Most bezzeg izeg-mozog majd kirúgja a ház oldalát :D Egy biztos, megzabálom ha kinnlesz, akármi is lesz a lába között.

Estrella!
Köszi szépen! Holnap elküldöm őket, mert ma már csak arra van erőm hogy elvonszoljam magam zuhanyozni és ágyba kerüljek.

Köszönöm mindenkinek aki izgult ma értünk! Holnap du este majd jövök. Puszi mindenkinek!

lanett
 
 


Lanett!!! Szuper jó hírek!!! :D :D
Figyike! Van egy mondás!!!
Ha nagyon szégyenlős, akkor kiscsaj van bent!!! :D :D
Bár ez csak egy szólás!!!!

Apácska mondta minap, ha ez a mondás igaz, és az anyukájára fog hasonlítani, akkor ha nekünk lányunk lesz, még a mellkasán is keresztbe fonja majd a kezét! :oops: :oops: :D :D
Amúgy nem vagyok ám szégyenlős!! :oops: :D

Na pá nektek!

Kép
tini75
 
 


Sziasztok!

Most már jó lenne lefixálni az időpontot talira.
Én úgy látom a júni 8 lesz a nyerő, akkor érnek rá a legtöbben.

Kép
Kép

chesti
 
 

 
 

Jó reggelt Csajok!!!

Újra itt vagyok, bár 21-én újabb vizsganap!!

Jól vagyunk a picúr átadta a taknyoskodást anyának!! De már mindketten jönnek kifelé!! Kajálás visszaesett, egy hétig nem hízott a Drága!!!

Hétfőn 16 hetes volt a Drága, 5,4 kg!!!

Nevet, kacag!!!

Még jelentkezek!!!

:)

Millió puszi Mindenkinek!! Sajna még nem tudtam visszaolvasni a "termést"

:)
mot
 
 


Chesti!!!!!!!

Megzabálom ezt a kis puncist!!!!!!! :lol: :lol: :lol: :lol:

Lanett!

Haláli!Még a végén a szülésnél fog kiderülni az igazság..... :wink:

Zsókuci

Tündér vagy,látom már ismersz :wink: ,majd szólok ha már úgy érzem....

Tini

örülök hogy jobb a pocid 8)

Angyalka1

nekem nincs tapasztalatom szülés terén,egy barinőm jár egy dokihoz,akive nagyon meg van elégedve,ha érdekel megkérdezem a nevét,de még nem szült nála

Mindenkinek sok puszi :D
lukrécia
 
 


Angyalka írtam privit!

Chesti drága :D ,részemről jó a jún.8-a.

Lexi várunk ám nagyon :wink: !

Puszi Mindenkinek

Lippa

lippa
 
 


Lanett tényleg nagyon kis huncut a pocaklakó,viszont így még izgisebb a vége :D !Ha sikerül,akkor kérjük a pocakos és babkocsis képeket :wink: .
lippa
 
 


Nagyon sok boldog névnapot kívánok a Tímeáknak!

lippa
 
 


Sziasztok
Megvolt az UH. Már csak egy babókám van, de szerencsére az nagyon faszányos. :lol: Azt hiszem ezt a szót mondta rá W. Isten. Vissza is kérdeztem, hogy jól hallom-e. Jó fej! Imádom! Kidobott a Drága a BMC-ből. Fura,mert egy év alatt annyira az életem részévé vált, hogy járok oda. Néha utáltam, de nagyon sok barátra tettem szert.
W. doki is két babára számított, kereste is a másikat jó sokáig. Felmerült, hogy remélhetőleg a másik nem méhen kívül van, nézte, de nem látta. Remélem nem így van!
Lippa
nagyon köszik a drukkot
Vendég
 


Lexi!Gratula az egy babához, az a lényeg, hogy az megvan. Én még két hete, mikor voltunk akkor is megkérdeztem, hogy biztos egy van? De most már tuti!

Lanett! Jól megtréfál benneteket az a baba, tényleg még soha nem mutatta magát?

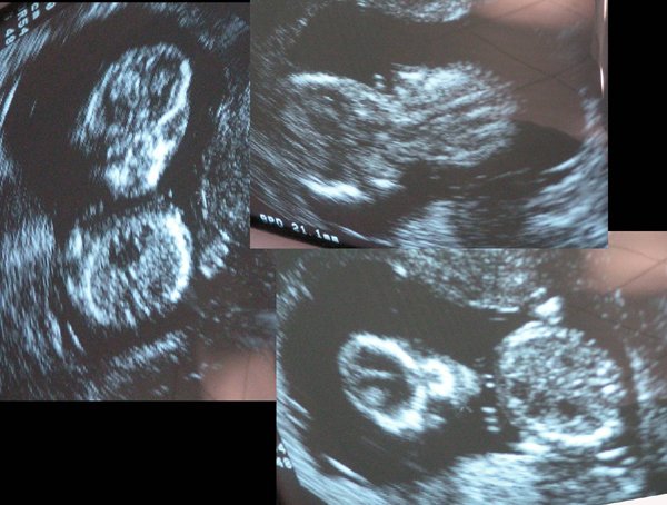
Tegnap voltunk a kórházban és a babácskánk már 6,5 centi és láttuk mindenét, szemét, kezét lábát, gyomrát, gerincét, bordáit, hihetetlen, hogy akkora mint egy egér és már mindene megvan, és ott bolondozott nekünk. Itt egy képösszeállítás RÓLA!

Kép

Angyalka! Mi a János kórházban fogunk szülni, pont tegnap kérdeztem meg mi az ábra ott. Apuka ott lehet, sőt támogatják, baba ott van az anyuka mellett. 1-2-5 ágyas szobák vannak, 1-2 ágyasért fizetni kell pluszba, ha van éppen szabad, egy csomó egészségpénztárat viszont elfogadnak. Mi meg is néztük az egyik termet. Hát tiszta, kórházi szoba, elég puritán, viszont én bízok ott az orvosokban, különösen a sajátunkban :) Te kihez jársz?
gombahölgy
 
 


Angyalka! Van egy egész topik "János kórház szülészet" néven. Én is most fedeztem föl, még nem olvasgattam, de majd én is fogom.
gombahölgy
 
 


Lexi gratulálok a "faszányos" Babókátokhoz :D .Tudod már hova fogsz járni,most hogy "kiraktak",Pestre szeretnél vagy ott helyben?
Vigyázz nagyon Magatokra! :wink:

Gomba milyen nagy már a Babácskátok :D !Nagyon jók a képek :wink: .Te kihez jársz a Jánosba?
Én is ott szültem és nagyon meg voltam elégedve mindennel,szerintem szupi hely!

Mindenkinek szép estét!
Lippa

lippa
 
 


Lippa
Én W.dokinál szeretnék szülni, de messze van. Óriási dilemma. A városban egyáltalán nem foglalkoznak azzal, aki Pestre jár, tehát ha valami van és sos-ben bemegyek, akkor tőlük meg is halhatok. Ha dugó van útközben, akkor nagy bajban vagyok, hiszen volt, hogy két és fél óra volt az út. Annyi idő alatt meg is szülök a kocsiban. Egészen biztos, hogy ezerszer profibb az ellátás és a hozzáállás is, de a távolság nekem elég ijesztő. Még nem tudom mit csináljak. Soha nem hozok könnyen döntést, de ez most nem csak rólam szól, hanem a kisbabámról is. Ja, és kocsival egyedül nem merek bemenni a városba, vonattal meg vicces lenne szülni menni, ha a férjem éppen valami miatt nem tudna bevinni. :lol: Még soha nem vágytam rá, hogy bp-i legyek, de most nagyon.
Szívesen venném ezzel kapcsolatban a tanácsaitokat!
Még lenne két kérdésem és előre elnézést, ha annyira butaság a kérdés. Lehet hajat festetni így, hogy ketten vagyunk? És a szoláriummal mi a helyzet? Hetente 3 percre jártam eddig is, de most két hónapja nem voltam és mindenki azt hiszi beteg vagyok, annyira fehér a bőröm.
Vendég
 


Lexi!

A hajfestést az első három hónapban nem ajánlják, de nem azért mert a bőrödön keresztel a szervezetedbe jut, hanem a belélegzett káros anyagok miatt.
A szoliról én úgy tudom, hogy nem szabad.

Puszi!

Judit

jucicuki
 
 


Sziasztok!

Jó rég nem voltam, de olvasgattam azért!
Verus féléves köszöntőjét köszönjük! Mostanában nem nagyon alszik éjjel sem, de nem ébred föl rendesen, csukott szemmel nyöszörög. De azt olyan hangosan, hogy nem tudunk tőle aludni. :cry: Pedig két hónaposan olyan ügyesen végigaludta az éjszakát...
Most nagyon tanulok, vagyis tanulnék, ha hagyna.
Nem tudokmost mindenkinek írni, de azért két képet teszek föl gyorsan.

Masszírozás közben:
Kép Kép

puszi mindenkinek
Rozus

KépKép
rozus
 
 


Sziasztok!

Elnézést, hogy igy ismeretlenül irok nektek, de annak idején /1999-ben/ én is a János Kh.-ban kezdtem a lombikprogramot. Eredményeként született meg első lányom Eszter, majd spontán jött még kettő bébi, Hanna és Sára.
Mindenkinek, nagyon jó egészséget, és jó babázást kivánok.
szilvi3

Kép

Kép

Kép
szilvi3
 
 


Sziasztok!

Rég jelentkeztünk már, de minden rendben van velünk,
ma voltunk 4-D-én nagyon jo volt megmutatta a kis pofiját a drágám , jaj teljesen kész vagyok töle, olyan édes. Megprobálok képeket felrakni!Már 1200g-osak vagyunk :lol:
Mostmár végre elkezdek neki vásárolgatni, mert eddig babonábol nem mertem :oops:

Lanett,
Nem semmi hogy takargatja magát. Szerintem kislány lesz. :wink:

Lukrécia ,
Szia drága irok még a héten neked mailt, nem felejtettem el!
Remélem minden ok veletek ,
Sok sok puszi neked.

Zsókuci,
A táblába átirnád, hogy a Szent Imrébe fogunk szülni.
Köszönöm.
Nagyon édes a kiskutyus! :lol:

Mindenkinek sok sok puszi, jo éjt.
Kép Kép Kép [img][img]https://www.babanet.hu/tarsalgo/attachments/1178220501.55.jpg[/img]

Kép
bibike27
 
 


Hello mindenki!

Ti hogy érzitek magatokat ma reggel? Esik az eső, és a pici is össze vissza mocorog meg csuklik, meg az én hasam is olyan furin viselkedik. MOndtam a férjemnek hogy biztos ami biztos legyen telefonközelben.

Tettem fel új képeket a babaszobás albumomba (vonalzó alatt)! Nagy nehezen rájöttem, hogy ide hogy kell a babanetesbe változatlanul nagyolja, de így már láthatjátok.

Szilvi!
Ez igen! Ez aztán a sikertörténet! Gratulálok a 3 lánykához! :D

Rozus!
Nagyon szépek vagytok! Látom a masszászt nagyon bírja a csajszi!

Bibike!
Nagyon édes a lányod!
Hát igen a többség azt mondja hogy a viselkedése kislányra utal. Hát én csak azt mondom, legyen igazuk. Aztán ha mégsem akkor sincs semmi baj.

Lexi!
A szolit én is úgy emlékszem hogy nem szabad. Egyrészt fertőzésveszély, másrészt a meleg magas vérnyomit csinálhat hirtelen. A hajfestésről nagyon megoszlanak a vélemények, de szerintem is jobb ha inkább nem.
Hát igen, a kórházválasztás nagy dilemma. Pestre nekem sincs jogosítványom :D , én mondjuk szívesen költöznék oda. Ezalatt a 3 év alatt amig min.1 hónapba 1szer oda jártunk nekem nagyon megtetszett. Meg hát az embernek sokkal sokkal több lehetősége van mint itt egy iylen zsáktelepülésen mint a miénk.
Pécs nem lenne Neked közelebb? Nekik jó hírük van.

Chesti!
Remélem már meggyógyultatok!

Csibe!
Régen jelentkeztél! Mi zujs?

Puszi mindenkinek!

lanett
 
 


Sziasztok!!!
Nagyon köszönöm a névnapi üdvözléseket! Lippa a gyönyörű képeslapot, és persze Szilvi barinémnak is!

Lexi itt is gratulálok!!! Sok sikert nektek! Ha egy babyke van az is éppen elég a boldogsághoz, mi is így látjuk!

Nézem a fotókat amiket feltettetek, és mindenkinek gartula a gyermekekhez, és gyönyörűek mind egytölen egyig !


Bibikém remélem mi is mutathatunk ilyen UH képet majd később!! Vigyázzatok magatokra, és sok sikert!!!

Na pá lányok, este benézek!

Kép
tini75
 
 


Juci
Nagyon köszönöm az infot, akkor maradok fehér és a lenövés is marad egy darabig. Fehérváron milyen a szülészet? Én Deák Csabánál már jártam néhányszor. Elég fura fazon, de jó fej! Talán Fehérvár nincs olyan messze.

Lanett
Sajnos Pécs messzebb is van, mint Bp, és ráadásul nincs autópálya. Bp-felé legalább Érdig lehet "rohanni". Itt a városban igazából mindenki azt mondja meneküljek innen. Főleg azok, akik a kórházban dolgoznak. Azért ez elég ijesztő!!!!
Vendég
 


Lexi
A Deák jó doki, de úgy hallottam elég pénzéhes és ő már Móron van és úgy tudom, hogy megszűnik a szülészet Móron.
Én a Bata Barnabást ajánlanám, az egyik kolleganőm ő hozzá jár, babát szeretnének, már volt sajna két vetélése, de meg van elégedve a dokival, nagyon rendes és alapos vele, nem úgy mint az előző dokija.

manda
 
 


Sziasztok!
Lexi!
Én fodráász voltam és nyugodtan festheted a hajad,de ha félsz akkor várd meg a 3 hónapot!A szolit én sem ajánlanám!
Gombahölgy!
Mennyi idős a babócád?Gratula hozzá!
Rozus!
Hogy milyen kiegyensúlyozott és édes ez a lányka!
Bibike!
Klassz a 4d -s UH-d!
Vendég
 


Hello!

Lexi!
Én is ugyanilyen cipőben jártam, a lányok tudják milyen sokáig vaccilláltam mi is legyen.Ezt nagyon át kell gondolnod és valóban nagyon ijesztő.
Nekem Siófok van a legközelebb, de ne tudd meg milyen a színvonal. Mondjuk nekem Pécs és Bp. ugyanakkora távolságra (105 km). Igaz, hogy Pest autópálya de ha esetleg dugó van akkor amennyit nyertél, azt elaraszolod a városban. Mondjuk Te nem nyáron szülsz, én azt is bekalkuláltam hogy mi van akkor ha vasárnap jön rám a szülés amikor a pestiek elindulnak hazafelé a nyaralókból. :?
Nehéz döntés, és nincs is sok időd elmolyolni rajta tisztességesen. Remélem jól döntesz.
A fehérvári szülészetről én jókat hallottam, Neked szerintem jó lenne hiszen megyeileg fejér megyei lakcímmel rendelkezel. Én is szerettem volna oda is menni, ott dr. Batát hallottam hogy nagyon jó,tényleg szuperül lelkiismeretes, de nagyon sokan vannak nála és nem tudott vállalni mert szembeszökően túl sok a somogyi betege és ezért már fegyelmit is kapott.

lanett
 
 


Bibike nagyon jók a fotók ,gratulálok :D !

Rozus ,de jó hallani Rólatok már végre!Verus nagyon helyes kiegyensúlyozott kiscsajszi.Nem lehet,hogy jön a foga és azért nem alszik?Jó tanulást és sok sikert a vizsgákhoz :wink: !

Lexi hát nem könnyű a döntés az biztos.Mivel télen szülsz tényleg bele kell számolni a havazást is a dugókon kívűl.Egyébként én úgy tudom,hogy Juci a Bata Barnabáshoz jár kérdezd meg őt.Biztos vagyok benne,hogy azért vidéken is lehet jó orvost találni.A hajfestéssel kapcsolatban,én jártam de csak melíroztatni,mert akkor nem olyan feltűnő a lenövés és ritkábban kellett menni.A szoli szerintem sem túl jó,inkább ha teheted napoztasd az arcod(persze módjával :wink: ).

Tini nagyon szívesen :D !

Puszi Mindenkinek

Lippa

lippa
 
 


Sziasztok!

Csak gyors bekukk.
Még mindig
2in1

csibe
csibe31
 
 


Lexi!

Igazából a szülészetet konkrétan még nem láttam mióta felújították, de állítólag nagyon kulturált, amikor a laparomat csinálta a Barna, akkor egy emelettel feljebb feküdtem, ott minden szép. Nagy albakok, világos szoba, tiszta. A kaja borzalmas, de ez szerintem minden kórházban így van sajnos...
Én a Bata Barnabáshoz járok terhesgondozásra az Orvosok Házába, de nem tudom, hogy be tudsz-e hozzá még jutni, mert nagyon sok betege van, engem is csak azért vállalt el, mert Ő műtött, de azért próbáld meg.
www.barnabasbata.atw.hu
84/322-522 9-12 ig bejelentkezés, de jobban jársz, ha mail-t írsz neki, mert az Adrienn kb. augusztusra tud majd időpontot adni :cry:
Ha van még valami kérdésed, írd meg nyugodtan, hírtelen ennyi jutott eszembe.
Ja és van PIC ( nekünk ez is szempont volt az ikrek miatt)

Judit

jucicuki
 
 


Lehet szoláriumozni terhesen is, habár nem ajánlják az első három hónapban, biztos, ami biztos alapon. Az American Pregnancy Association nem ajánlja sem a szolizást sem a napozást terhesség alatt, mivel mind a kettőtől túlzottan felmelegedik a test és az UV sugárzás folsav hiányt okozhat, amiről tudjuk milyen fontos főleg az elején, hogy legyen a gyereknek szép gerince. Terhesség alatt fokozottan érzékeny a bőr, könnyeben leég, és állítólag van aki foltos lesz napozás nélkül is, azoknál a foltok még jobban látszani fognak. A szoliban azért valamennyire kontrolláltabb a leégés mint a napon, mert biztos, hogy csak X percet töltesz benn, én azt olvastam, hogy terhesen inkább szoliban egy pár perc mint a napon hosszasan. A fertőzésre tényleg vigyázni kell, de úgyis előtte letakarítod.

ez egy jó megbízható oldal és az amcsik a világon a legbeszaribbak, szóval ha ezt követi valaki a terhesség alatt akkor nagyon rosszat nem tehet :D
http://www.americanpregnancy.org/isitsafe/
gombahölgy
 
 


Share boldog 2. hófordulót Máténak. :) Kicsit azért már belerázódtatok? :)

Kép


Zuzmó anyu hát Jázmin is 3 hónapos lett. Sok boldogságot nektek. :)

Kép

chesti
 
 


Csajok!

Nincs vmi jó tanácsotok?Minden visszaköszön,ha csak egy korty narancslét iszom,az is. :?
lukrécia
 
 


Jucicuki!
Mi az a PIC?
Még nem néztem utána semminek.
Lukrécia!
Sajnálom a hányingereket!
Vendég
 


Sziasztok!!!


Lukrécia!
Figyi én is ebben a cipőben járogatok!! Nekem bevált egy pocakos napló ajánlása, már amennyire!
Vegyél hámozott magvakat! Én a szotyira esküszöm, és reggel az éjjeliszekrényről veszem el, és elrágok jópár szemet, ez rendbe hozott valamelyest!
Nekem a szotyi vált be, de jó bármilyen olajos magvas dolog!! próba szerencse!

Szilvi bariném jol kipihented magad remélem, és jól vagytok, különben megyünk a Krisztivel!! Megtalálunk ám!!! :D :D

Cupp nektek!!!

Kép
tini75
 
 


Mindenkinek nagyon köszönöm az infokat. Fehérvár egyre szimpatikusabb doki szempontjából. Fodrásszal még várok, szoli meg annyira nem fontos. Gondolkodjanak csak miért is vagyok annyira sápadt :lol: Majd pár hónap múlva rájönnek, (remélem)
Vendég
 


Benszi!

PIC=perinatális intenzív centrum

Tulajdonképpen egy koraszülött intenzív, speciális orvosokkal és felszerelésekkel.

Puszi!

Judit

jucicuki
 
 


Sziasztok! Nem volt esetleg valaki ilyen anya-magzat kapcsolattréningen? Én szeretnék menni, de mivel nem ismerek senkit, aki ilyenre járt volna, nem tudom kihez lehet menni, aki megfizethető, szimpatikus nő és szívesebben mennék csoportba, mint egyedül, ha egyáltalán van ilyen. Ha tudtok valamit írjatok!Köszi!
gombahölgy
 
 


Sziasztok!
Gyors bekukk! Máté kiütötte magát ebben a rémes időben, így van pár percem.

Chesti, még nem az igazi. Mire úgy érzem, na, kezdünk belerázódni, mindig történik valami. :wink:
Nagyon szépen köszönjük a köszöntést.
Kicsit utólag: Isten éltesse a 6 hós Nikit!!!

Továbbra is szopi + táp megy. Jó étvágya van a fiamnak, már 5,11 kg! :shock: Hosszra is nő, mint a gomba, eső után, a 62-es rucikat is kezdi kinőni.
Nappal nehezen alszik el, de még igényli a pihenést. Kaja után 15-30 perc nézelődés, gagyarászás, és utána jön a nyűgi. Általában a cici válik be altatóként, de néha igényelné, hogy a köv. etetésig úgy szundikáljon, hogy a cici igény szerint ki és be vándoroljon a pofikájába!! :roll: Na, ez fárasztó, főleg úgy, hogy, ha már nem csordogál a tejecske, akkor beidegesedik, és csak kínlódik rajta.
Ilyenkor próbálkozok cumival - nem sok sikerrel, és lelkiismeretfurdalásom van
Ami kis időm van, a házimunkával telik, igyekszem behozni a lemaradásomat.
Egyébként zabálnivaló a kisember!! Mosolyog teli szájjal, próbál nevetni, hangoskodik. Apát és anyát egyértelműen felismeri, és örömmel üdvözli. :lol:
Mostanában kezdi felfedezni a játékokat. Ideje bővíteni a készletet.
A kiságyban nem hajlandó aludni, sem napközben tartózkodni. :shock: Így jártunk! Velünk alszik, de már kezdeném átszoktatni, és ilyenkor is mindig közbejön valami. Extra hasfájós nap - ami szerencsére igen ritka mostanában!!!, vagy most a 2 hós oltás. Ettől belázasodott, a szokásosnál is anyásabb, bújósabb lett. Nincs szívem száműzni. Aztán majd lehet, hogy fél év múlva sem sikerül átszokatni, és szidom magam, hogy miért nem voltam keményebb most.

Taliról: a júniusi időponthoz még nem tudok hozzászólni. Maradnék függőben!

Szívből gratulálok az új kismamáknak! Életetek legcsodálatosabb időszaka lesz a sok aggódás ellenére is! Én még most is vágyódom néha a pocakra! :roll:

Zsókuci, mi a helyzet a kutyuskával? Szereti a kertet? Nagyon édi pofa!

Lucia, a két kis gézengúz visszatalált már a cicire?? Mátét is nagyon féltem, mert egyre lustább cicizéskor. Szívesen elidőzik rajta, de már látszik, hogy nem táplálékforrásnak tekinti! :cry: Nem vagyok fejésben ügyes, félek, hogy nem fogjuk sokáig húzni.

Most lépek, mert itt a vihar. Kapcsoljuk ki a gépet!

Sok puszi mindenkinek!
Kép
share
 
 


Sziasztok!

Előzetesen minden Anyukának és Kismamának Boldog Anyák Napját! :D

Puszi mindenkinek!
süni76
 
 


Süni
Köszönjük szépen,nagyon aranyos vagy!Kívánom,hogy jövőre már Te is mint Anyuka éld meg ezt a gyönyörű napot :wink: !

Mindenkinek szép estét és további jó hétvégét kívánok!

Lippa

lippa
 
 


Süni de aranyos vagy :) Teljesen meghatódtam :) Szívből kívánom Én is ahogy Lippa, hogy jövőre már Te is megélhesd. :)

Tegnap elsírtam magam, Tóth Vera énekelte az úgy szeretném meghálálni-t. Még a férjem is bekönnyesedet, átkaroltuk egymást, most már Én is anya vagyok, még mindig hihetetlen. :)

Mi is boldog anyuka napot kívánunk. :)

Kép

chesti
 
 


halihó!!!

NAGYON BOLDOG ANYÁK NAPJÁT MINDEN KEDVES TOPIKLAKÓNAK!
tettem fel új képeket a babaszobás albumomba. Tegnap készültek ballagáson, az egyiken életem párja is rajtavan.
Kicsit "csalós" a kép, majd vonjatok le gondolatban legalább egy centit, ugyanis a képet azután csináltuk, hogy megzabáltam legalább 1 kg grillázstortát :D :lol:

Na megyek, én is lepuszilom enyém anyukám!

lanett
 
 


Sziasztok,

Lexi,
Örülök, hogy minden rendben volt az UH-n. :D:D Megértem a Wiegandt dokival kapcsolatos érzéseidet, én is nagyon kedvelem, szerintem nagyon jó orvos, és remek ember is :D
Látom, már sokan válaszoltak a hajfestés-szolis kérdésben. Véleményem szerint hajfestés oké, csak jól szellőző helyiségben, szolizni meg nem…

Tini,
Rókakoma van még? Hát, nem kellemes, de naná, hogy örülni kell neki :wink:

Taptau,
Kitartás a szétbombázott lakáshoz :D Várunk vissza, ha kész :wink:

Chesti,
Most néztem meg a kádas videót… Hát egy kis tündérlánykád van, az tuti :D:D:D:D Nagyon kis husi :D

Benszi,
Hogy vagytok? Remélem sokat pihizel!

Angyalka,
Gratulálok a pocaklakódhoz!
Segíteni sajnos nem tudok…

Lanett,
Na, hát akkor már marad meglepi, hogy Réka vagy Zsombi lakik odabent? :wink: Izgiiiii….
Megnéztem a képeket, nagyon csini kismami vagy, és jóóó nagy már a pocid :) A babakocsi is nagyon jó.

Gomba,
Csodásak a képek… :D

Rozus,
De jó, hogy jelentkeztél! :D Verus gyönyörű (még mindig :D ), és jó nagy lány már Ő is :D

Szilvi,
Gratulálok a lányaidhoz! :D Jó olvasni, hogy lombik után spontán… ez annyira fantasztikus…

Bibike,
Örülök, hogy jelentkeztél, és hogy minden rendben van Veletek! Fantasztikusak a képek!!! :D:D

Csibe,
Köszi a helyzetjelentést… kitartás :D

Lukrécia drága,

Remélem már jobban vagy…

Share,
De jó hallani felőletek is! :D Jó nagy már Máté! Puszillak.

Mindenkinek további szép napot.

Puszi.

Kép

Kép
zsókuci
 
 


Zsókuci!
Igyekszem pihenni!Amúgy minden ok,mert semmi hányinger csak néha pocikeményedés!A durva az amikor már a gyomor tájéka is bedagad és bekeményedik!Az fáj és feszít.

Mindenkinek Boldog Anyák Napját!
Timcsi!
Pihizek!Neked poci feszítés?Drukkolok a holnapi UH-ra!
Vendég
 


Sziasztok!

Lanett mekkora pocid van :) Nagyon helyesek vagytok,megnéztem a képeket :)

Share, azért valamennyire kezd realizálódni a helyzet.
Én azt tanácsolom, néha hagyd a francba a házimunkát! Mikor Máté alszik foglalkozz csak magaddal. Ezt csak azért mondom, mert egy idő után ki fogsz készülni. Nekem a babanet, vagy klipp készítés kikapcsolódás. :)

Gomba ez a magzat-anya kapcsolat tréning jól hangzik, de sajna nem tudok segíteni. Neten nem írnak róla?

Hát az Én jányom nagyot fejlődött megint. :)
Miközben mosogattam beleraktam a hordozójába ami nem tetszett neki, adta a figyelmeztető hangot, mikor arra lettem figyelmes mennyire csendben van a gyerek... :) Megfordultam és ezt látom: :)

Kép

Utánna játszószőnyegen :) és hintáztatja magát. :)

Kép Kép

Na megyek is hív a csaj :)

chesti
 
 


Jó reggel Lányok/Fiúk!

Úgy keltem, hogy mekkorát aludtam, aztán fél nyolc volt :lol:
Ma megyünk a védő nénihez, remélem nem híztam sokat :oops:
Bár tegnap meglátogattuk nagypapámat és azt mondta, hogy sovány vagyok.
Aztán átmentünk az apai nagymamámhoz, aki szerint szintén sovány vagyok, de magasabb is lettem :wink: tiszta jó napom volt :D
Holnap meg Szabolcs utca...megy a para rendesen.
Annyira szeretném, ha azt mondanák, hogy minden rendben van :?
És akkor már "csak" a kardiológusnál kell izgulni.
Talán megtudom holnap azt is, hogy milyen néven szólíthatjuk Gombóckákat :wink: remélem személyesen megmondják, ha már megvan az eredmény és nem kell megvárni, amíg kipostázgatják...

Szép napot Mindenkinek!

Puszi!

Judit

jucicuki
 
 


Chesti!

Meg kell zabálni a kiscsajt :lol: :lol: :lol:

Judit

jucicuki
 
 


Boldog Anyák napját minden Topiclakónak!!!

Tegnap én is vittem Drága Kis Feleségemnek egy csokrot, hogy a Tündérkénk kért meg, hogy vegyem meg!!! Potyogtak a könnyek!

Szombat hiszti, nyűgi napot tartottunk!!

Kimaradt két alvás nappal, helyette hiszti-hiszti, sírás!!!

Elég nehezen viselem!! Többi apuka hogy viseli a hisztis napokat???

Tegnap viszont minta gyerkőc volt!! Camponában vásárolgattunk, mindenhol ugrottak az eladók, hogy milyen édes stb... Nagyon élveztük!!!!

Jó volt anyával elmenni és nézelődni, sétálni, vásárolgatni (DM, könyvesbolt, játékbolt). Még egy kávé is belefért!!! Nagyon jó nap volt!!

Takonykór elfeleljtve, Mindketten jól vannak!! Holnap teszek fel fotókat!!!

Millió puszi!!!

:)
mot
 
 


Chesti nagyon szép és ügyes Nagylányod van már :D !A képek alapján,szerintem már nem sokára mászni fog :wink: !

Juci nagyon szorítok holnapra!Szerintem ha tudják az eredményt biztos,hogy megmondják a nemüket és nem kell a postázásra várni!

Tini nagyon várunk,hogy mi volt az UH-n :wink: !

Benszi,Lukrécia Ti mikor mentek?

Én már lassan kezdek kétségbe esni,hogy Tündérkéim sose fognak beszélni rendesen :cry: .Persze egy-két szót már mondanak,meg a maguk kis nyelvén egymással nagyon jól elbeszélgetnek,csak már én is annyira de annyira szeretném érteni :roll: .

Mindenkinek puszi

Lippa

lippa
 
 


Chesti!
Ez a jány nagyon huncut!A szeme sem áll jól!!!! :lol: Gyönyörű!!!!!
Juci!
Szorítunk a holnapi vizsgálathoz,de minden rendben lesz!
Lippa!
Nemsokára be sem fog állni a kicsi szájuk majd meglátod!
14.-én megyek UH-ra.Az utolsó lesz a BMC-ben,utána a saját dokimhoz!Holnap is megyek a BMC-be receptért,de beszélek is a dokival,mert éjjel volt egy kis rózsaszínezés pisi után törlésnél./bocsi a részletességért/Lehet,hogy akkor fog UH-ni.Remélem nem,mert az uram nem tud eljönni és már nagyon szeretné őket látni élőben!
Vendég
 


Lippa ikres barinőm gyerekei februárban múltak 2 évesek és nem sok szót mondanak még. Autó, apuci, baba kb ilyeneket. Lehet hogy hülyeség, de szerintem ez azért van, mert ők totálisan jól elkommunikálgatnak egymással, és nem érzik sürgetősnek, hogy más is megértse őket. :) :lol: persze ez csak az Én agyszüleményem. :)

Juci szorítok holnapra. Bár ilyenkor azért még elég jól eldugdossák a dolgaikat, Lanett lassan szül, de még most sem tudja. :)

Mot várunk a képekkel! :)

chesti
 
 


Benszi remélem így lesz :D !Ne aggódj,ha esetleg le is marad a férjed az UH-ról,lesz még rá alkalom bőven :wink: .Egyébként ejnye-bejnye bizti nem pihentél eleget :twisted: !Vigyázz ám Magatokra!

Chesti megnyugodtam egy kicsit attól amit írtál,egyébként ezt már én is hallottam,olvastam,hogy az ikrek később kezdenek el beszélni!Előbb-utóbb csak elkezdik :roll: :D .

Lippa

lippa
 
 


Lippa!
Pont a tegnapi napot nyomtam végig ágyban!Nem ijedtem meg mert lehet hogy a szervezetem emlékezik a menstruációra?Állítólag akkor is vérezhetek.márc11-én volt meg utoljára!
Holnap kiderül!Nem szabad idegeskedni az a lényeg!
Vendég
 

Vissza: Szülészetek, kórházak

Jegyzetfüzet:

 

X
EZT MÁR OLVASTAD?