A baba portál - Babanet.hu

Új privát üzeneted érkezett!

Társalgó főoldal » Szülészetek, kórházak » "Budai Meddõségi Centrumba járunk"


Vicky!

Remélem holnap jó híreket fogsz kapni :D Addig egy kis HCG növelő+++++++++++++++++++++++

Vasikáé!
Hát ez jó, volt akkorát nevettem.... :D :D Már csak a kismamira hallgat....nem semmi csajszi :D

Trix!
Nagyon jók ezek a képek, jó hogy felteszed őket, legalább látja az ember, hogy igenis sikerülhet

Böbe!
Most éppen nem a szurkálós, hanem körömrágós időszakban vagyok. Jövő hét csütörtökön lesz eredmény. Ti is hamarosan túlvagytok már a vizsgálatokon és akkor kezdhettek, gondolom már várod.

Dita!
Azon a képen még egy amatőr számára is világosan látszik, hogy kislány lesz :D :D :D

Zoe!
Ti mikor vághattok bele az érdemi dolgokba? Ez a kivizsgálás sok időbe kerül?

Képzeljétek, tünetek megint u.a. mint eddig, mellfeszülés 1000-el, majd eredményhirdetés előtt pontosan egy héttel abbamarad. A remény hal meg utoljára, csak nem tetszik, hogy megint ugyanaz a forgatókönyv. :cry:

"A szépség mindenütt ott van, nem rajta múlik, hogy nem látjuk meg."
(Rodin)
rony77
 
 


Vicky:
fájdalommentes gyógyulást kívánok.

Rony:
Te meg ne programozd be magadnak a rossz forgatókönyvet, irgum-burgum! Minden rendben lesz és kész! Ha neheztelsz rám emiatt :) kérek egy interkontinentális fenékberúgást :lol: :lol: :lol:
Addig is csak pozitívan!

Vasikáé:
Mikor veszed be az uccsó fog.gátlót?
sajt@
 
 


Cö-cö! Most vettem észre, enyém volt a laptetű! :)
Életem első laptetűje :lol:

Remélem egy-másfél hónap és én is megkezdhetem a stimut. Már nagyon várom, bár a ti sikereteknek is nagyon örülök, jó tudni, hogy van miért küzdeni.
sajt@
 
 

 
 

Sziasztok!

Vasikáé, és aki még nem látta:

A "lombikosok" 10 parancsolata:

1. A kezelés alatt nem olvasgatunk internetet, „szakirodalmat", semmit, ami a lombikkal, meddőséggel kapcsolatos! Csak felesleges agyalásra ad okot.

2. A stimuláció alatt pontosan követjük az orvos utasításait, ha nem értünk valamit, rákérdezünk, és feltétel nélkül megbízol abban, amit az orvos mond, akármivel beszélték tele a fejed a fórumokon, a váróban, mert lehet, hogy Neked ez az első lombikod, de neki már a több ezredik, tudja, hogy mit csinál!

3. A stimu idején nem figyeljük a testünk minden rezdülését, hogy feszít-e a hasam vagy nem, van-e hányingerem vagy nincs, szédülök-e vagy nem, fáj-e a fejem vagy nem. Akár érzel valamit akár nem, abból nem lehet semmilyen következtetést levonni a tüszők éréséről. Erre való a vérvétel és az ultrahang.

4. Nem aggódunk az érő tüszők mennyisége, a nyh-a vastagsága miatt, és legfőképp nem foglalkozunk azzal, hogy a másiknak milyenek az eredményei. Ez nem verseny!

5. A punkciókor nem foglalkozunk azzal, hogy a többieknek hány sejtje lett. Egy gyerekhez elég egyetlen női és egyetlen hímivarsejt is. Ez nem verseny!

6. A beültetéskor nem foglalkozunk azzal, hogy a többiek hány sejtesen kapták vissza az embrió(ka)t, és milyen vastag volt a méhnyálkahártyájuk! Ez nem verseny!

7. A beültetés után nem keresünk tüneteket! Ha keresel, találsz is, és akkor az a baj, ha meg még sem találsz, akkor az a baj. A premenstruációs tünetek egyébként tökéletesen megegyeznek a koraterhességi tünetekkel, a megtapadást amúgy sem lehet érezni.

8. Az Utrogestan vagy más progeszetron tartalmú készítmény használatát akkor se hagyd abba a beültetés után, ha esetleg vérzés jelentkezik. A vérzés önmagában nem jelenti azt, hogy nem sikerült, viszont progeszteronhiány miatt megszakadhat az elindult terhesség.

9. A vérvételkor nem beszélgetsz a többiekkel arról, hogy ki mit érez, és milyen tünetei vannak, a hetes pontban már részletezett okok miatt.

10. Akárhányadik lombiknak futsz neki, nem latolgatod a statisztikai esélyeket a sikerre, ez nem matematika, hanem biológia!

Puszi

Lilypie Pregnancy tickers
heni77
 
 


Még egy cikket találtam, ha valaki próbálta, esetleg, bár gondolom ezt a dokik nem szeretik, ha magánakciókba kezdünk, szóljon hozzá légyszi:

Az Aspirin terhességi rátát növelő hatásáról

Az Aspirin hatóanyagát képező acetilszalicilsavat 1897-ben szintetizálták. A gyógyszer a �napi� rutin terápiában, mint gyulladásgátló, fájdalomcsillapító és lázcsökkentő szer alkalmazott. Az acetilszalicilsavnak a prosztaglandinok (a szervezet szinte valamennyi életfontos működésében szerepet játszó anyag) szintézisében játszott szerepének felfedezése után, a 70-es évek elején felismerték a véralvadásra gyakorolt hatását is. Így nem véletlen, hogy ettől a pillanattól kezdve előszeretettel alkalmazták (és alkalmazzák ma is) a szív- és keringési rendszer megbetegedéseinek kezelésében is.

A szülészeti hasznosíthatóságát régóta ismerjük: növeli az újszülött súlyát azokban az esetekben, amikor a magzat elmaradt fejlődése (un. méhen belüli retardáció) a lepény csökkent keringése következtében jön létre. Tudott dolog az is, hogy használata kimutathatóan csökkenti az ismétlődő vetélések gyakoriságát is.

Egy közelmúltban megjelent tanulmányban arról adnak hírt, hogy kis dózisú Aspirint a lombikbébi program során alkalmazták és azt találták, hogy közel kétszeresére növekedtek a teherbeesés esélyei az acetilszalicilsavval is kezelt csoportban. A fejfájás elleni gyógyszer azonnal komoly �főtörést� is okozott: vajon véletlen-e a hatás, milyen lépéseken keresztül képes segíteni a gyógyszer az embriók beágyazódásai arányát, hogyan képes csökkenteni a korai veszteséget?

Miután a keringésben betöltött jótékony szerepe közismert volt, erről az oldaláról volt kézenfekvő a kérdést megközelíteni. A petefészek gyógyszeres kezelése, a petefészek stimuláció számos tüsző (follikulus) érését segíti elő, ami a petefészken belül csak új erek létrejöttével valósulhat meg, magának a petefészek keringésének is jelentős mértékben fokozódni kell a többszörös tüszőérés optimális létrejöttéhez. Ezzel párhuzamosan a méhnyálkahártya is fejlődésnek indul, vastagszik, és alkalmassá válik a megtermékenyített petesejt, a préembrió befogadására. A kutatók megvizsgáltak az említett szervek vérellátását és megállapították, hogy az Aspirinnel kezelt csoportban fokozódott a méh, a méhnyálkahártya és a petefészek keringése. Mindez lehetővé tette, hogy a kezelések hatására több tüsző érjen meg, így szignifikásan több petesejtet szívhassanak le a follikulusok ultrahangvezérelt punkciója során. Az már logikusan következik az előbbiekből, hogy így több préembrió fejlődését lehetett megindítani, a visszaültetés előtt nagyobb volt a választási lehetőség, a létszámfeletti embriók mélyhűtve tárolásával és későbbi ciklusokban történő felhasználásával pedig az un. kumulatív terhességi rátát lehetett tovább javítani. Áramlásvizsgálatokkal azt is meg lehetett mérni, hogy a méhnyálkahártya alatt futó piciny artériák és vénák keringése is fokozódott, ami a megtermékenyített petesejtek beágyazódásának egyértelműen elősegíti.

A keringés fokozásán kívül számos, egyéb jótékony hatást is tulajdonítnak az Aspirinnek. A bevezetőben említett prosztaglandinok szintézisének gátlásán keresztül csökkenti a méhösszehúzódások számát, így az embrió-visszaültetések utáni kilökődések valószínűségét is csökkenti. Miután a prosztaglandinok a lokális gyulladásos reakció mediálásában is komoly szereppel bírnak, ennek meggátlása a beágyazódási rátát szignifikánsan növelheti.

Nem lenne okos dolog azonban azt hinnünk, hogy a válogatás nélküli Aspirin terápia minden meddő házaspár gyermekhez jutását megoldja, itt a panácea. Számos tanulmánynak kell még elkészülni, hogy a hatás minden részletét tisztázni lehessen. Azt mindenestre megállapíthatjuk, hogy autoimmun megbetegedésekkel szövődött meddőségekben, ismétlődő vetélésekkel terhelt gyermektelenségek esetén, illetve azon pároknál, ahol családi anamnézisként trombózissal szövődött megbetegedések fordulnak elő, a megfelelő ideig és dózisban alkalmazott acetilszalicilsav terápia jótékony hatású lehet a meddőség elleni kezelésben, a terhesség létrejöttében.

Nem semmi, szóval ha fejfájás van, akkor csakis aszpirinnel csajok :lol: :lol: :lol: :lol:

Lilypie Pregnancy tickers
heni77
 
 


Hú Heni!
Akkor mi most az összes létező parancsolatot megszegtük!
Ezt még én sem ismertem (bár nem vagyok lombikos).
sajt@
 
 


Én is épp azon gondolkodtam, mikor olvastam, hogy ebből itt egyet sem sikerült betartani. :lol:

Kakti

KépKép

KépKép
kakti
 
 


Amúgy most figyelem:
a mamanetes vonalzó sem mozdul! Nézzétek meg lécci, hogy nektek jól mennek-e a napok!

Kakti

KépKép

KépKép
kakti
 
 


sziasztok!


Na lassan ideértem én is.
Meg volt az uh. 12mm-es petezsákunk van :lol: De van mellette v.mi alvadt vér.... :?: azt mondta Tanár úr lehet a beágyazódástól, Vagy ezt csak én agyaltam :oops: esetleg a másik embrió akart ott v.mit.....???

Nem voltak ma sokan mégis sokat vártam míg bejutottam.

Legközelebb azt mondta Tanár úr "nyúl" után menjek, de ha nem bírom ki addig mehetek előtte is:)

Most megyek ledőlök. Ja útközben még róka koma is meglátogatott :o


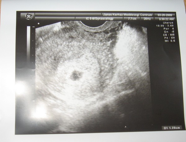
És a kistesó első sztárfotója
Kép :lol:

Kép

Kép

Enikő
áfonyácska
 
 


GRATULÁLOK! :)

Kakti

KépKép

KépKép
kakti
 
 


Vasikáé: sajnálom, hogy nem találtad meg Zsuzsát! Nagyon aranyosakat írtál. A simit átadtam a picúroknak!!!! Most egy kicsit jobban vagyok, de rengeteget pihenek is.
Kívánom, hogy jövőhéten minden rendben legyen a CIRIS-ben és megkezdjétek a stimut. Drukkolok Nektek nagyon!!!!!!!!!!!!! :D :D :D

Áfonyácska: Gratulálok, szép nagy petezsák!!!! A lényeg, hogy ott van a Babóca! Első sztárfotó a KISTESÓRÓL!!! Remélem a véralvadék gyorsan felszívódik majd!!!! Pihenj sokat és vigyázz magatokra! :) :)

Sajt@: nemsokára Te is ilyen UH-képekkel örvendeztetsz majd meg minket!!!! Majd meglátod!!! :D :D :D

Kép

puszi Trix
trix78
 
 


Heni, köszönöm szépen. Egyébként én már hallottam az aszpirinről és most írtam pirvit annak a csajnak aki írta hogy ő csak aszpirin portektet szedett és neki a háromból három lett. Tehát, van benne valami.

sajt@, április 14-én hagyom abba, illetve akkor szedem be az utolsót. Erre számolok még öt napot mire megjön, az akkor = 19-e. Valószínűleg akkor kezdjük a stimut.

Áfonyácska: GRATULA!!!!!!!!!!!

Zsuzsa

Kép
vasikáé
Székesfehérvár
 
 


Csajszikák köszi a bíztatást :)

Áfonyácska:
Csodaszépek vagytok! Ilyenkor mindíg meghatódom, jó látni :)

Vasikáé:
Az pikk-pakk elrepül és akkor senki sem állíthatja meg a gépezetet! :lol:
sajt@
 
 


Sziasztok!

Vasikáé, írtam neked privit.Ha tényleg hatásos, akkor miért nem ajánlják vajon nekünk is????

Csajok erről valaki?

Puszi

Lilypie Pregnancy tickers
heni77
 
 


http://www.pirulapatika.hu/210103145/betegtajekoztato/aspirin_protect_100_mg_gyomornedv_ellenallo_bevont_tabletta

Hát lányok... Én annyira nem akarnám ezt az Aspirin cuccot szedni. A fenti linken olvasható a teljes betegtájékoztató.

Kakti

KépKép

KépKép
kakti
 
 


KAKTI
Enyém sem mozdult .........le is cseréltem! :roll:

HENI
A Kaáli protokolljában benne van az aspirin protekt.
Két inszemes ciklusban én is szedtem.

Miss Bogyó nekem is tetszik, sztem ez lesz a neve egy darabig! :lol:

TRIX
Sajnálom a rosszulléteket, remélem nem fog sokáig tartani.

ÁFONYÁCSKA
Nagyon édi a kistesó! 1,20 ? Olyan érdekes hogy ilyen kis pici sejtből milyen nagy lovak leszünk! :lol: :lol: :lol:
Nem hematómát mondott? Sztem a másik baba is elindulhatott és még nem szívódott fel teljesen. Nem lesz belőle baj, ne izgulj.

dita75
 
 


Nem Dita Nem hematómát mondott, de kitudja mire gondolt, a papírra is alvadt vért írt.
Hát én is azt gondoltam hogy elindult a másik tesó is, de nem tudom....Anna ugye ikernek indult aztán az egyik felszívódott, de ott volt petezsák és abban egy kis vér meg a hormonszintem is az egekbe volt akkor. Mindegy is a lényeg, hogy szívódjon fel szépen.
Húú te megint nem sokára mész uh-ra :D én se bírom ki szerintem 2 hétnél tovább.....

Kép

Kép

Enikő
áfonyácska
 
 


Sziasztok!

Trix köszi az üdvözlést. Gratulálok a babócákhoz :lol: Hogy szeretnéd? Egy fiú, egy lány? :D

Áfonyácska nagyon édes a kislányod abban a kalapban a képen :lol: :lol: Nektek mennyi idő után jött össze a kistesó? Annácskát is itt hozták össze nektek a BMC-ben?

Nekünk ápr. 29-re van az első konzira időpontunk. Sajnos most van az üresben várakozás ideje :( Már nagyon várom. Kíváncsi vagyok mik lesznek a benyomásaim.

Lányok az orvost választani kell, vagy mindenki kerül vkihez?

Kép
Kép
nyanya77
 
 


Nyanya:
szerintem lehet választani az elején. Azért nem tudom biztosra, mert engem név szerint egy bizonyos dokihoz küldött a saját nőgyógyim, v.színűleg ismerték egymást. Sajna ő már külföldön segíti a gyerkőcre várókat, így átkerültem a Szűcs dokihoz, de nekem ő is szimpatikus. Sok dolgom még nem volt vele, a többiek jobban ismerik.
sajt@
 
 


Nyanya!

Dokit választhatsz, annó nekem is nevesítette a nődokim a beutalón.

Igen Anna is Bmc-s baba 4 inszem után első lombik-ból lett. a kistesó pedig az akkor maradt fagyos embrióból!!

Remélem neked is jó benyomásaid lesznek!



Na nem is mondtam...reggel mikor mentünk útközben meglátogatott róka koma brrrrr a legnagyobb pesti forgalomba, még jó hogy előtudtam kapni hirtelen egy zacsit :oops: :roll: Haza felé nem is mertem enni csak nyeltem nagyokat meg se mertem mozdulni mert nagyon sz..ul éreztem magam..

Kép

Kép

Enikő
áfonyácska
 
 


Áfonyácska:
lassacskán majdcsak elmúlnak ezek a rossz napok. Az előző gyönyörűségeddel is volt róka koma?
sajt@
 
 


Sziasztok!

Én is túlvagyok a 3. inszemen.

Áfonyácska! Szerintem Benneteket láttalak. Mi is ott voltunk a férjemmel. Nagyon tüneményes a kislányod! Na és persze a sztárfotó is!!! Remélem hamar a nyomdokaidba lépek.
szöszi1977
 
 


Szöszi:
Gratula, remélem nem vagy nagyon vacakul.
Pihenj sokat! :)
sajt@
 
 


Szöszi!

Sok sikert nektek! Mennek a ragacsok++++++++ Remélem még ma randiznak:)

Lehet, hogy minket láttatok, bár volt ott egy másik kislány is, de ő nyugisabb volt. Anna nagyon pörgött :lol: Nem hozzátok ment oda ismerkedni a papírtáska tetszett neki nagyon??

Sajt!
Hú hát ez most említésre se méltó ahhoz képest ami Annával volt mondhatnám, hogy kibéreltem 15 hétre aWc-t :x mondjuk vele is csak akkor hánytam mikor kocsikázni kellett.

Kép

Kép

Enikő
áfonyácska
 
 


SZÖSZI
Hát akkor drukk a nagy találkozáshoz! ++++++++++++++++++++

ÁFONYÁCSKA
Hát én az előző terhességemből nem éreztem meg semmit, és most is csak az első napokban volt az a borsómizériám. Azóta vigyázok hogy mit eszem, kerülöm a hüvelyeseket, semmi tünetem nincs a cicifájáson kívül.
Sajnálom hogy másokat így megvisel.
Én a helyedben már jövő héten mennék. Engem is 6+2 hívtak vissza!
Egy másik BMC-s lánynak ikrei voltak és 6+0 már mindkét baba szívcső pulzálása látszott.

NYANYA
Nekem többen azt a dokit javasolták amelyik elment tavaly dec-ben.
Nézegettem itt a lányok statisztikáját és a BMC-ben a fényképeket, és végül Szűcs doki mellett döntöttem. Valahogy éreztem hogy W. dokival vmi nem ok. Nem tudtam megmagyarázni mit éreztem, nekem vannak ilyen ráérzéseim, és igazam volt mert rá másfél hónapra megpattant külföldre. Azóta van egy új dokinéni is. Nagyon fiatal, de nagyon aranyos és ezek szerint szerencsés a keze is, mert neki köszönhetem a babámat, ugyanis a Szűcs doki pont akkor ment szabira amior nekem a beavatkozások voltak!
Bárkit választasz jó kezekben leszel!

dita75
 
 


Csajok fel a fejjel! Majdcsak jobban leszel Áfonyácska, azt mondják minden terhesség más. Én még nem tudom, de ki fogom deríteni! :))

Pusza mindenkinek, beveszem az esti gyogyikat, attól koki leszek és hamar elalszom.
sajt@
 
 


áfonyácska: Gratulálok a tesóbabához.

szöszi: Akkor most pihi és babaragacs. Drukkolok+++++++++++++++++++++++++++++++++++++++++++++++++++

Köszönöm a drukkokat és a jókívánságokat. Ma már jól vagyok, már nem fáj a fogam. Ez a fogfájás csak arra volt jó, hogy elterelje a figyelmemet a tesztelésről. De holnap már meg kéne próbálnom nem elfelejteni üvegbe pislantani reggel.
vicky79
Budapest III. kerület
 
 


Sajt@!

Neked holnap kell menni dokihoz vagy ma voltál? Adott már valami jó gyogyit rá? Én a helyedben már tiszta ideg lettem volna hogy mi van. Jobban vagy már?

Szöszi!
Azon gondolkodtam miközben olvastalak, hogy nem semmi ahogy megy az idő. Emlékszem amikor még az első előtt izgultál, most meg már a 3.-ikon is túl vagy. Küldök babaragacsot+++++++++++++++++

Akire!
Az a zsákos ragasztó jó cucc, attól tuti odaragad a baby. :D :D Amúgy merre kószálsz?

Vevikk!
Annyira, de annyira éreztem 100%-osan hogy sikerülni fog Neked. Ne kérdezd miért, magam sem tudom, csak belső megérzés. :D


Vicky!
Mindjárt itt a péntek............majd jelentkezz++++++++++++++++++++++++++++++

"A szépség mindenütt ott van, nem rajta múlik, hogy nem látjuk meg."
(Rodin)
rony77
 
 


Lányok!
Mindenkinek köszi a drukkokat! Akire zsákos ragasztója Nekem is jól jönne! De már nem is kell, mert úgyis sikerült.

Áfonyácska!

Szerintem benneteket láttunk. Rózsaszín fölsőben volt Anna? A férjed meg öltönyben? Kár, hogy nem tudtam, hogy ma mentek, akkor egyből rájöttem volna, hogy Te vagy. Már csak Annácska képéről. Mi a Tv. mellett ültünk.

Rony! Neked is mennek a drukkok! Remélem, hogy Neked is ez lesz az utolsó köröd. Egyébként tényleg nagyon rohan az idő. És mindig figyelni kell valamire, vagy a szurikra vagy a kúpozásra vagy pedig az eredményre várunk.
szöszi1977
 
 


DITA!

Ha jól olvastam az előbb az algopírinről beszélgettetek, szóval azt kifejezetten tudom hogy lehet szedni terhességben mivel nekem a kisfiammal /amikor vele voltam terhes /6 hetes terhesen amikor terhességi vészes hányásom volt azt adtak vagyis ALGOPYRINT! / többek között / infúzión keresztül !
3 napig feküdtem az ágyon infúzióval a kezemben /az István Kórházban / mert reggeltől esti hánytam megállás nélkül, még a sima vizet is kihánytam !!!!! Ezért gyorsan bementünk akkor este a kórházba és mivel már nagyon fájt a fejem is adtak gyorsan algopirynt is az infúzióba + a többi szükséges cuccot hogy ne száradjak ki.
Szóval az algopyrintől semmi baja nem lesz a babának!

KAKTI!

Mindenképp írj hétfőn volt mit mondott a doki hogy mi a gond nálatok amiért nem jön a baba, majd én is megírom kedden. Te is Szűcshöz mész?

NANYA!

Ne búsulj az üres járattól, mi is megszívtuk a várakozással mert pont influenzás lettem a 20.napi vérvétel napján, így lőttek az egész hónapnak és mindent újból kellett csinálnunk, tiszta pipa voltam, de utólag mégis hamar elment a 2 hónap és most már itt állunk a rajtkövön :) ! Mármint hogy kedden megtudjuk mi a baj kész az összes lehetünk és belevághatunk a lecsóba!
Hidd el január 27.-én még én sem gondoltam hogy egyszer már itt fogunk tartani amikor a kezünkbe nyomták a beutalókat, de utólag belegondolva tök gyorsan haladt az egész, ha majd benne vagy meglátod!
csézjang
 
 


Na csajok bocsi de mennem kell, STING puszillak téged is meg a többi babára váró lánykát, aludjatok jól, álmodjatok szépeket! Pusz! Jó éjt!
csézjang
 
 


Sziasztok!
Én is itt vagyok, csak tegnap sehogysem tudtam bejelentkezni, pedig mindenképpen írni akartam Szöszinek és Vicky-nek drukkot!

Szóval Szöszi, remélem mostmár tényleg randiznak a srácok odabennt! csináltak inszem előtt UH-ot?

Vicky!
Nagyon nagyon drukkolok mára, remélem nem felejtettél el üvegbe pisilni reggel! (én is ezen paráztam, hogy a teszt napján, nehogy megszokásból pisiljek a WC-be)
Remélem hamar végzel (bár péntek van :cry: ), mivel a holnapi munkanap miatt csak nem lesznek annyian, mint szoktak!
JELENTKEZZZZZZZZ......, amint tudsz, mert tűkön ülök.

Áfonyácska!
Nagyon nagy gratula a kistesóhoz, nagyon hasonlít Annára :lol:

Rony!
Hogy vagy? Érzel valamit?

Kép
akire79
 
 


Ja azt el is felejtettem, hogy nekem mozog a Mamanet-es vonalzóm, nem tudom nektek (Dita,Kakti) mi lehetett a gond!

Kép
akire79
 
 


Sziasztok, csajok!

Akire, majd fel tennéd a táblát egyszer, mert már annyira nem tudom hogy kinek mikor mije van, hogy már fáj. Tudni akarom, mert én is szorítani akarok mindenkinek. Előre is köszönöm.

Zsuzsa

Kép
vasikáé
Székesfehérvár
 
 


Sziasztok!
Lehetne jövő hét szerdán táblázni? Úgy szeretném ha láthatnám a kis szívecskét Miss Bogyó mellett :lol: :lol: :lol:

Addigra lehet hogy többeknél kiderül a baba. (Vicky, Rony..... stb.)

CSÉZJANG
Igen tudom, hogy az algopirin megengedett ezért is mondtam Vickynek inkább azt kellett volna bevenni. Nekem a beülti óta már kétszer is kellett használnom.
Amúgy homeos vagy gyógynövényes szereket használok a megfázásra.
Éjjel annyira köhögtem, hogy alig aludtam valamit. Annyit rázkódott a pocakom is tőle, hogy már azon voltam kiköhögöm szegénykémet. :roll:

AKIRE
Neked mikor lesz a köv. inszem?

RONY
Legkésőbb kedd-szerda körül nem csinálsz egy tesztet? Tűkön ülök!

VICKY +++++++++++++++++++++++++++
Drukk a nagy találkozáshoz!

dita75
 
 


Táblát rakok majd fel, csak én is meg akartam várni, hogy több pozitív tesztet is be tudjak írni!
Amúgy én is kezdek lemaradni, mert csak otthon tudom csinálni a táblát és ezen a héten alig volt időm gép közelébe kerülni.

Dita!
Én már a tábliban megelőlegeztem Neked a kis szivecskét!
Amúgy én úgy számolom, hogy jövő hét szerda-csütörtök környékén lesz az inszem. Hétfőn megyek 10. napi UH-ra, akkor kiderül.
Addig meg lelkesen fogyasztom a méhpempőt, vörösbort és Merionalt :lol:

Ne felejtsétek el, holnap MUNKANAP van :cry: :cry: :cry:
És vasárnap hajnalban át kell állítani az órát 2-ről 3-ra :cry: :cry: :cry: (nem elég, hogy csak 1 napot pihizünk otthon, még az is rövidebb egy órával)

Kép
akire79
 
 


AKIRE
A munkanapot tudtam bár engem nem érint. Az óraátállítást viszont nem! :shock:

Komolyan mondom hogy mindig az a rossz ami épp van. Eddig azokat irigyeltem akik otthon lehetnek és nyugiban várják a babájukat. Most meg szétunom itthon az agyam és inkább mennék vissza melózni, de hát nem lehet.

Hülyét kapok novemberig az tuti. Olyan messze van még.
Este 6 körül már rátapadok az ablakra alig várom apát hogy hazajöjjön, hogy végre valami emberi szót halljak. Arról nem beszélve, hogy fekszem-és ülök aztán megint fekszem, megint ülök. Igy is nagydarab vagyok, mi lesz majd később? Tanulom a kreszt, de hát az sem köt le egész napra.

De jó lenne ha szerdán inszeminálódnál! :lol: Akkor megint talizhatnánk.
De gondolom 12cn -en ennek még nem sok az esélye, vagy igen? Hamar érik a petid?

Jajj nagyon cuki vagy hogy már betetted a szivecskét.
Nagyon várom már a szerdát, hogy megint láthassam őkelmét!
Ilyen lassan még sosem ment az idő. Úgy érzem már több hete voltam utoljára pedig csak két napja. :roll:

dita75
 
 


sziasztok

megjöttem, ma is sokan voltak 8:30-kor az utcán voltunk kint, ehhez képest 1 óra múlva már kint is voltam. kb: 6 an voltunk fent, Kanyó dr volt ma a Szűcs doki asszisztense.... 3 embernek sem sikerült akik előttem voltak, nagyon sajnáltam őket :( ellég rossz volt látni őket.

nekem sincsenek jó híreim, NINCS domináns tüszőm 2 doboz Merional után most még 4 napig 1,5 inj. kedden újabb UH.
még jó hogy én nem dolgozok hanem itthon vagyok szabin a GYES után, biztosan nem engednének el.....

találkoztam egy lánnyal szegénynek 5 sikertelen inszem után most lesz a 6. mind a ketten rendben vannak nincs semmi baj velük, mégis 2006-óta járnak a BMC-be. szoríthattok neki is.

kismamik pihenjetek , vigyázni a babócákra !

mindenkinek jó 7végét :)

Kép


Kép

Kép
lukacsne
Fót
 
 
 
 
 


Akire!
Munkanapot ne is említsd, úgy döntöttem szombaton pihenni fogok. Annyira szép az idő, inkább kimenne a szabadba az ember legszívesebben.



Köszi az érdeklődést :oops: Képzeljétek, tegnap olyan görcsölések voltak a petefészkem táján, mint amikor a tüszőrepi után szokott fájni. Na még ilyen sem volt soha. Lehet reménykedni?
A lombikosok 10 parancsolatánál megönnyebbülten sóhajtottam egyet, mert ez lombikosokra vonatkozik és nem inszemesekre, úgyhogy akkor én még agyalhatok ilyeneken :lol: :lol: :lol: :lol: :lol:

"A szépség mindenütt ott van, nem rajta múlik, hogy nem látjuk meg."
(Rodin)
rony77
 
 


[quote="dita75"]
írta:
dita75
De jó lenne ha szerdán inszeminálódnál! :lol: Akkor megint talizhatnánk.


Akire!
Szerintem meg csütörtökön inszeminálódjál, mert akkor meg Velem talizhatnál. 8)

"A szépség mindenütt ott van, nem rajta múlik, hogy nem látjuk meg."
(Rodin)
rony77
 
 


Bekukkantottam, hogy mi ujsi????

Látom Vicky még nem irt:( NAGYON SZORITOK!!!!! Jajj olyan jó lenne ha sikerülne neki. Vele már személyesen taliztam a BMC-ben,
olyan aranyos lány!!!!

RONY NAGYON SZORITOK NEKED IS!!!!!! Tudom milyen nehéz a
tesztig a várakozás, bár én sosem jutottam a végére, mert
teszt előtt mindig meglátogatott a piri:(

Lukácsné remélem azért növögetnek azok a tüszők mostmár!!
Sajnálom azt a lányt akit irtál, ez olyan szemétség, hogy
nincs semmi gond egyikőjüknél sem, aztán mégsem jön a
baba!!

Dita megértelek, én is egyedük vagyok itthon egész nap.
Olyan rossz, hogy senkihez nem tud az ember szólni
Jó lesz a babakukucs:)

Akire nagyon erős lány vagy!! Örülök, hogy előre nézel, és
remélem megjutalmaz az élet hamarosan egy drága babával!!

Hétfőn már megyek melózni, a nőgyogyim szerint másfél
hét pihenés elég a küret után. Hát igen fizikailag elég, de
lelkileg nem tudom mikor fogok teljesen felépülni.. Olyan
ür van bennem, hiányzik a babám:(

Vasikáé remélem te is hamarosan beállsz a babások táborába!
babu69
 
 


Babu!
Nagyon sajnálom, hogy nem maradt Veled a babó :cry: :cry: Pedig Ti is már elég régóta küzdötök ezzel a babaprojecttel és amikor végre sikerül, akkor meg ez van :cry: :cry: Gondolom ez sokkal rosszabb, mint amikor csak szimplán nem sikerül :cry: Nagyon nehéz lehet ez lelkileg. Nagyon sok erőt kívánok Neked ehhez, hogy fel tudd dolgozni ezt az élményt. Nagy ölelést küldök

"A szépség mindenütt ott van, nem rajta múlik, hogy nem látjuk meg."
(Rodin)
rony77
 
 


Sajnos megint nem sikerült. :( És megint maradt cisztám, most egy 5! cm-es. Megint egy hónap pihi. Legközelebb megpróbáljuk a merional helyett a puregont. Jó drága lesz, de mindegy. Mondta a doki, hogy legszivesebben lombikra küldene, de az én eredményeim alapján nem tud. Most behívta a páromat sp. vizsgálatra, hátha kevés lesz. Hát neki aztán igazán nem szokott rossz lenni az eredménye. Úgyhogy nem tudom, mi lesz. Júniusban szerettünk volna nyaralni menni, de amíg nem tudjuk, hogy inszem vagy lombik, addig nem akarok kifizetni semmi ilyet. Még így sem tudom, hogyha lombikozunk, akkor miből fogom kifizetni. Eléggé le vagyok törve, mert most nagyon jó előérzeteim voltak. A bmc-ben egyébként már el is kezdett megjönni, úghogy legalább ez nem gond. Most megyek enni, majd még jövök és visszaolvasok.
A hozzászólást 1 alkalommal szerkesztették, utoljára vicky79 2009.03.27 14:14-kor.
vicky79
Budapest III. kerület
 
 


babu: Sajnálom a babát, remélem még azért lesz másik. Köszi, hogy szorítottál értem. Legközelebb megszolgálom.
vicky79
Budapest III. kerület
 
 


Oh, Istenem!! Sajnálom! :cry:
Babu, és most mit csináltok? Mentek tovább? Gondolom most pihentek. Remélem nem adod fel.

Vicky, én annyira bíztam benne...., elmondani nem tudom mennyire sajnálom. Tudom, most tele lesz a padlásod ehhez hasonló szavakkal, de legalább tudod hogy sokan állnak melletted. Mikor mész legközelebb?

Olyan rossz, nem is tudom mit mondjak. Annyi minden van ilyenkor az ember lelkében.... :cry:

Zsuzsa

Kép
vasikáé
Székesfehérvár
 
 


Dita, muszáj lesz valahogyan fel találnod magad. Kézimunkázni nem tudsz? Tanulj meg kötni és kötögess miss bogyónak valamit. Vagy varrj neki egy takarót. Vagy keress valami játékot a neten ami le köt. Látogasd anyudat gyakrabban. Hát, én nem szoktam unatkozni, mert mire rendbe teszem a lakást szép lassan és ugyan ilyen tempóval meg főzök, a fórumot el olvasom, már lassan este van.
Én kitartást javaslok neked. Tudom, te pörgősebb lehetsz mint én, de próbálkoznod kell valamivel lekötni magad.
Hú, belepofáztam? :oops: Bocsi, csak segíteni akarok. :wink:

Zsuzsa

Kép
vasikáé
Székesfehérvár
 
 


vasikáé: Köszönöm, azért jól esik, amit írsz. Nem nagyon tudom, hogy mikor is megyek legközelebb. Most 27 napig szedem az orgamertilt és amikor megjön, akkor a 2.cn-en visszamegyek. Azt hiszem, minden olyan gyorsan történt. Addig meg apa vizsgálata elkészül és kiderül, hogy inszem lesz-e vagy lombik.
vicky79
Budapest III. kerület
 
 


BABU
Én valamennyire beletudom élni magamat a helyzetedbe. Kicsit el is szégyelltem magam, hogy mit picsogok itt az apró-cseprő dolgaimmal, hányan de hányan cserélnének velem. :oops: Őszintén kívánom hogy mihamarabb válasszon ki benneteket még egy kicsi lélek aki erősebb és kívánok sok-sok boldogságot nektek.

LUKACSNE
Sajnálom, hogy nem hat a merional, talán neked is ütősebb szerre lenne szükséged, mint pl. a Gonal F. Sajnos elég drága cucc, de a legmakacsabb tüszőket is megnöveli.
Hát a story ismerős. Mi is így voltunk a párommal. Két egészséges ember, neki már van egy fia, nekem is volt spontán terhességem és tessék nem akar jönni a babó. Igaz a végefelé már nem nagyon hittem az inszemben.
Aztán elküldött a Szűcs doki a hysterora ahol kiderült, hogy frankón feleslegesen inszemeztünk mert egy gyulladás (valszeg férjemnél talált baci) elzárta mindkét petevezetőmet. Hát azt hittem felrobbanok, igaz a méhem szép volt, akadálya nem volt a lombiknak, hisz oda petevezető nem kell, de belegondoltam mennyi elvesztegetett hónap és pénz.
Remélem annak a párosnak ha nem sikerül a 6, sem összejön az első lombikjuk, és vége a kálváriának.

RONY
Hát akár inszemesekre is vonatkozhat.
Az a baj hogy ebben nagyon nem lehet tapasztalatot cserélni mert mindenki teste másképp működik és maguk a terhességek is mások. Én az elsőnél semmit nem éreztem, a mostani babónál meg elég rendesen fájnak a cicijeim. Amúgy más tünetem nem igazán lépett fel eddig, de jó is igy.
Remélem a tiéd babás tünet. :wink:
Bízom benne hgoy végre vki megmenti az inszem becsületét hogy úgy mondjam.

VICKY
Őszintén sajnálom, hogy megint nem sikerült, nem tudok okosat mondani annak ellenére hogy mindezen én is átmentem. Csak annyit hogy előre....
Ölelés és buksisimi.

VASIKÁÉ
Hát én is ezt csinálom, de hát mindennap nem lehet takarítani meg főzni meg hát ez nem elégít ki igazán, megélni sem lehet belőle.
Már egyszer elkezdtem tanulni a kreszt most folytatom. Igaz vizsgázni majd még jó sokára fogok, most nem akarom magam ilyesmivel stresszelni, meg hát most Bogyóra kell gyűjteni nem a jogsira.
Csak gondoltam addig is jól begyakorlom a kérdéseket ha már odakerülök ne úgy nézzek a tesztre mint bornyú az újkapura.

Látogatnám én anyut meg a rokonságot de 150 km-re laknak sajnos.
Anyósék laknak közelebb hozzánk, de köszönöm inkább akkor itthon unatkozom. Nem rosszindulatúak csak lukat beszélnek a hasamba és még a végén ki-be járkál majd a lukon Miss Bogyó! :lol: :lol: :lol:

dita75
 
 


Ki kéri a laptetűűűűűűűűűűűűűűt?

Átruháznám!

dita75
 
 


Még azt elfelejtettem, hogy majdnem összevesztünk itt Akirén Ronyval.
Kiváncsi vagyok, hogy melyikünk győz! :lol: 8)

dita75
 
 

Vissza: Szülészetek, kórházak

Jegyzetfüzet:

 

X
EZT MÁR OLVASTAD?