Annyi most a hsz, nem győzök pislogni
Kubu,
légyszi magadra venni a Dédinek szóló jókívánságokat! És még egyszer bocsi az elírásért
2010.04.08 17:37
2010.04.08 18:30
Kubu, gyönyörű a kiscsaj!!!!!!!
Vikus, hajrá május 11!!!! Idősürgető
Mieza szerintem nincs semmiféle probléma veled, ez tök normális szerintem.
Én is annak amikor valaki babás lett közülünk vagy hasonlóan sokat küszködő párnak végre sikerült általában elsírom, elsírtam magam az örömtől.
szavadon foglak!!![quote]m írta:ég anyóst is bevállalnám ))
Judit, megy a babaragacs!
pozitív tesztet akarok látni
Vaya gratula az ikertestvérednek, nem is tudtam, hogy ikrek vagytok!!
Andika, nekem is volt már régebben ilyen panaszom és hiába használtam Canesten combit, vagy hiába írt fel a régi dokim Kliont, nekem nem volt valami jó. Még, volt, hogy a rákszűrésem sem lett jó, ….… egészen addig, míg K ügynököm fel nem írt CANDIBENE-ratiopharm nevű hüvelytablettát, hát az valami csúcs, mindent rendbetett, azóta tök szuper minden. Baciűző
Ancsika hatalmas drukkok a holnapi UH-hoz!!!!! Gyönyörű petezsákot fog mutatni Sz ügynök!!!!!
Csucsu, barátnődnek is megy a varázslat a sikeres beültihez
. Csucsukám nagyon köszönöm a laptetőt, használt!!!
Szia Hófehérke,
üdv itt. Hát az első konzultációig 1 hónap kb a várólista, mert Vikus is május 11-re kapott időpontot, de utána nem kell várni, leletek után megy a dolog az útján. Hát inkább délelőtti időpontok vannak, én legalábbis mindig reggel mentem. Lányok? Gyors babásodást csiribúúú
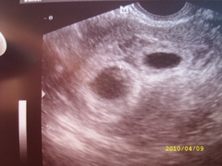
Megjöttünk az UH-ról K ügynöktől! 7 hetesek vagyunk.

. Könycsepp kicsordult, 2010.04.08 18:33
2010.04.08 18:45
2010.04.08 18:56
2010.04.08 19:28
2010.04.08 20:21
2010.04.08 21:19
2010.04.09 07:22
2010.04.09 08:05
2010.04.09 08:08
2010.04.09 08:41
2010.04.09 09:25
2010.04.09 09:38
2010.04.09 09:51
2010.04.09 10:13
2010.04.09 10:17
2010.04.09 10:22
2010.04.09 10:39
2010.04.09 11:50
2010.04.09 12:30

2010.04.09 13:23
2010.04.09 13:30
2010.04.09 14:58

2010.04.09 15:23
2010.04.09 16:12
2010.04.09 16:50
2010.04.09 16:59
2010.04.09 18:31
2010.04.09 19:17


| X EZT MÁR OLVASTAD? |
|
![]() |
|