A baba portál - Babanet.hu

Új privát üzeneted érkezett!

Társalgó főoldal » Fogamzás » 2011 pocakosai és babásai


majga! jajjj de cuki:))))

KépKép
dike
 
 


Csupa jóóóóóóó hír! Ez az Csajok!

Cham, hatalmas pusszantás arra az okos fejecskédre!!!!!!!!!! Gratulálok!!!!!!!!!!!!!!!!!!!!!

Majga, nagyon cuki az kis babócátok!!!!!!!!!!!!!

Dike, örülök, hogy minden rendben! A kilókkal ne foglalkozz, inkább örülj annak, hogy kismami vagy és élvezz ki minden pillanatot! Nem fogod elhinni amit mondok, de szülés után pár nappal már arra sem emlékszel, hogy milyen volt a nagypocis lét...

Kép

Kép
csillagvirág14
 
 


Az az érzésem,igazi kis hiperaktív örökmozgó lesz(mint az anyja,meg a bátyusai)....úgy ugrált meg rugdosódott az ultrahang alatt,hogy tátva maradt anyunak meg az asszisztensnek is a szája:D

Járt Neki keze lába,mintha muszáj lenne:D


Lassan talán elkezdek én is belefolyni a beszélgetésekbe,ha nem bánjátok....

Egy biztos,babavárás alatt nem szabad foglalkozni a kilókkal!!!!!én 30!!! kilót híztam mind kettő fiammal...és fél éven belül mind eltűnt!!!!55 kg a versenysúlyom:D

KépKépKépKép
Kép
majga
Dabas
 
 

 
 

dike: nincs azzal a súllyal semmi gond :) szép formás kismama vagy a képek alapján ;)

és a mozgás... mostmár elvileg napok kérdése 17 hetesen, nem? szóval, bármikor beköszönhet neked a lurkó :) és majd szólj, kíváncsi vagyok.

milla: GRATTUUUULLLÁLOKK!!! mondtam én, hogy meglesz ;)

majga: nagggyon cukker :) érdekes, mert ezen az uh tök szépen látszik a baba formája, mona amit berakott azon én nem láttam mit kell nézni :oops: :oops:

Kép
selyem
Pécs
 
 


Nekem mindig mákom van...mindig ilyen kis cuki profilképet kaptam róluk,és apa mindig a pénztárcájában hordta az UH fotót:D
Persze hogy ez is már ott van...meg facebookon...meg kb már mindenhol:D

Ez egy igazi kis hiperaktív minimanó....úgy rúgkapált,mint az istennyila...de rendes gyerek volt...hagyta,hogy megmérjék és csak aztán kezdett ugra-bugrálni :lol:

KépKépKépKép
Kép
majga
Dabas
 
 


Sziasztok!

Bogi, ne keseredj el, annyian drukkolunk neked, hogy muszáj sikerülnie. És fog is, tudom, ez nem is kérdés!!!

Rita, én azt hittem, ilyet csak a fiúk csinálnak, de ezek szerint nem. :lol:

selyem, én amikor dokihoz, illetve védőnőhöz, valamint boltba mentem, mindig normálisan felöltöztem, nagy pocival is, a hajamra itthon is igyekeztem adni, szóval ez szerintem nem tipikus, hogy mindenki elhagyja magát.

cham, gratula a vizsgához! Amit írtál, full gáááááááááááááz!
Ha nem haragszol, megcáfollak, Lexire többek között a pco szindróma miatt vártunk sokat, de nekem mindig volt pé-m, illetve mensim.
Akartam is írni, hogy szerintem nagyon vékony vagy!

dike, hamarosan fogod, nyugi!

Majga, Mona, gratula a picikhez!

Csillag, ez jó hír volt, örülök! :D

Kép

Kép

Kép

Kép

Kép
beze
Szekszárd
 
 
 
 
 
 


Sziasztok!!!!!!

Cham drukkolok hogy a mostani vizsga SIKERÜLJÖN!!!!!!!!!!

Virág szuper hogy eltűnt az a sérv!!!!!!!
nem is fog vissza menni!!!!!!
én tegnap láttam egy loola babakocsit mindössze 19.000ft-ért.....azt hittem a guta megüt...de most akor se veszek babakocsit majd ha jön a baba!!!!

Majga cukker a bébid!!!!!!!!!!!!!!!:):):):)
én nagyon örülök ha többet jössz:):)

Dike szuper hogy minden rendben!!!!!:)

Kép
Kép
Kép
Kép
nitacska007
Halásztelek
 
 


Sziasztok!

Későn értünk haza, majd tesómmal skype, vacsi, visszaolvasás, és most értem a végére!

Bogárka! Nekem van Korolen-em is, meg King-Kong. A kettőt együtt kellett szednem. Szóval, küldöm mindkettőt. Ja, és egy egészen fontos dolgot el is felejtettem. Amikor én voltam ezen az előadáson, találkoztam azzal a tanácsadóval, volt ott egy másik csaj is. Aki 41éves, és ugyanúgy babát szeretett volna. Neki volt előtte pár hónappal egy vetélése. Neki ugyanezeket a cseppeket ajánlotta a fickó. Na, Ő is csak 3hétig szedte őket, és most annyi idős kismami mint Kati, szóval, csak pár nap van köztünk! Talán ez is ad egy kis erőt Neked.

Cham! Nagyon szuper, hogy sikerült, gratula. Akkor most még mennyi van? Fiúk hogy vannak? Sajnálom a hányást! :(

Rita! Zalán baba biztosan szót fogad és megvárja azt a két hetet! :wink:

Csillag! Jaj, de szuper, hogy eltűnt az a fránya sérv! Örülök, hogy elvitték a kocsit!

Mona! Nagyon szuper méretek, az enyém is hasonló volt ennyi idősen!

Dike, drága! Szerintem napok kérdése, és érezni fogod. Én 18 hetet betöltöttem, amikor éreztem, de rögtön annyira, hogy odatettem a kezemet és szó szerint megbökte!

Majga! Tényleg szerencsés vagy, ez egy szupi fotó, és szupi gyerek! :lol:

Selyem! Én is mindig kiöltözöm, amikor dokihoz megyünk, de ha a városba megyek, akkor is. Egyébként, azt én is tapasztaltam, amit Te írtál, bár nem kórházban vagy dokinál, hanem inkább akkor, amikor már megvan a picur. Én mondtam, hogy nem szeretnék szabadidő ruhás babakocsit toló anyuka lenni.

Na, és akkor most mi! Babónk 2kg, és egy tündér. Képzeljétek, kérni szerettem volna képet, de annyira beledugta a buksiját a lepénybe, hogy sehogy nem sikerült jól lekapni. Pedig annyira rendes volt a doki, nem fogjátok elhinni, de még 4D-re is átkapcsolt, hátha úgy jobb a látvány. Annyiból mindenképpen jó volt, hogy láttuk, hogy kerek buksija van, és olyan kis husi, jaj, össze vissza tudnám csókolgatni. Abból amennyit láttunk belőle, úgy néz ki, hogy apukájára fog hasonlítani, aminek én nagyon örülök.
Aztán elmentünk vásárolni. Majdnem vettem magamnak egy vastag tavaszra való kardigánt, amit olyan átmeneti kabátként lehetne használni, én nagyon szeretem az ilyeneket. Nagyon olcsó volt, de sajnos egy helyen annyira ki volt húzódva a szála, hogy nem hoztam el.
Majd megvettük a laminált padlót, nagyon szép. Meg megkaptam a ruhaszárítót, amit szerettem volna még babó születése előtt. Eddig mindenhol nagyon drágáért láttam, erre ma az Obiban csak 5ezer volt. Annyira örülök neki, ja, és persze kisírtam magamnak egy szobanövényt, amilyet a múltkor ki kellett dobnom, mert nem élte túl az építkezést!
pedi
Kalocsa
 
 


beze: örülök, hogy eltűnt a sérve a picinek :) azért ez nagy megkönnyebbülés lehet neked..


csajszik, fokhagymás vörösboros nyuszipecsenye volt a kaja párolt rizzsel... szerintem finom, de nem eszem nyúlhúst, a drága icipici nyulam miatt.. akiről még nem is meséltem.

francis (frenszísz :) ) a neve és 2 éves csajszi törpenyúl :)

Kép a nyúl :)

Kép papáméknál az udvaron

Kép az utolsó alom, amit szült :) ééédikkk

Kép picit nagyobbak :)

Kép kis szürke

Kép

Kép
selyem
Pécs
 
 


Így nem mutat sokat, de ilyen a padló:
http://www.lorincparkett.hu/zoom?x=lami ... ductimage1
Majd, ha kész lesz a szoba úgy is megmutatom.

Ez pedig a ruhaszárító, csak az enyém 4emeletes.
http://www.praktikerwebshop.hu/termekek ... ?id=119131
pedi
Kalocsa
 
 



Virag, orulok, hogy minden rendben Gergocivel! Szupersag!Valamit meg akartam Neked de elfelejtettem. grrrr!! Igen, en is erzem, hogy minden okes lesz!:):)

Majga, nagyon szep a Babatok! Van mar esetleg neve? :wink: :D Tok cuki! :D :D

Pedi, koszi szepen elore is! :D Apajara hasonlit? O meg majd azt mondja, Anyajara!:):) Rendes volt az uhus, hogy rakapcsolt 4Dre!:) Ma jol vagy, nem faj sehol?

Dike, sztem is jol nezel ki. Csini kismami vagy! Es helyes! Osszessegeben jol nezel ki!

Beze, koszi a drukkot!

Dike, ja, meg eszembe jutott, hogy a multkor nem irtam Neked, hogy voltam en mar orvosi kivizsgalason otthon es azt mondtak semmi bajom. Csak mert ugy erzem felelotlennek tartasz es elitelsz, hogy nem teszek meg eleget, csak sirok. Ez nem egeszen igy van. Illetve de sirok, de tul vagyok mar herce-hurcakon. Ha nem jol erzem akkor elnezest de amikor olvastalak igy ereztem abbol amiket irtal.
Vendég
 


Selyem, cuki a nyuszi! Edes nagyon. Apukamnak is vannak nyulai otthon csak hazi nyulak! Tenyeszti. Van amikor sok elpusztul jarvanyban, betegek lesznek es kesz....Az egyiket, aki a legoregebb Vendelnek hivja!! hihihi

Pedi, nekem tetszik a laminalt! Es jo aron is vettetek!
Vendég
 


igen,van nevünk:D

Lacika vagy Esztike a kis drága:D

KépKépKépKép
Kép
majga
Dabas
 
 


Bogárka! Igen, az előbb azt el is felejtettem, hogy nagyon nagyon jót aludtam, és ma sem fáj semmim! :lol: Annyi, hogy nagyon elfáradtam, de nem fáj semmi, és ez a lényeg!

Selyem! Én kimondottan a babuci ruháinak vettem ezt a szárítót, meg azért, mert kevés helyet foglal. Amúgy nekem van egy hiper-szuper szárítóm, amit imádok. Nagyon cuki a nyulad!

Majga! Az Eszter név nekem is nagyon tetszik!

Hú, de útálom ezeket a H1N1-es rémhíreket! :evil:
pedi
Kalocsa
 
 


Engem ma elzavart oltásra a doktor bácsi...még a kiskönyvembe is beírta!!!!!

KépKépKépKép
Kép
majga
Dabas
 
 


sziasztok!

mennyit írtatok, de nagyon helyes!!!!

csillag: nagyon örülök, hogy gergőci sérve szépen elbújt. reméljük többet nem fog ijesztgetni.
bence még mindig használja a bilit?
a babakocsihoz gratulálok! néztél már valami szupit?

magja: nagyon szép kép a picikéről. nemét nem láttátok ezek szerint. akkor sztem kiscsaj, mert ilyen jó géppel már szokták 12 hetes körül látni. úgyhogy drukkolok nagyon!

dike: nem is látszanak a kilóid. és tényleg csillagnak igaza van, amin ti/te átmentél örülj, hogy szépen növöget a picifiad, ne pedig a kilókkal foglalkozz!!!! most nem leszúrni akartalak, de tényleg nem vagy kövér!!!

dr.cham: szívből gratulálok a sikeres vizsgádhoz! úgy látszik, hogy egy jó, egy rossz. hányás a rossz, amit sajnálok-de nagyon.

nita: hamarosan veszel te egy babakocsit.

bogár: sűrűn szedegessed a cseppeket, amiket küld neked pedi. érzem, hogy jó lesz!!! dolgozni mész? tudsz már valamit a következő időszakról?

pedi: örülök és vártalak a hírekkel!!!! ezek szerint már az én bogim is két kiló körül van. hihetetlen!!! nekem nem mér súlyt a dokim. nem tudja a gépe. tegnap pedig elfelejtettem mondani, meg ő sem arra fókuszált, csak rákukkantott, nem is méregetett.
gyönyörű a padló. ez megy a gyerekszobába? nekünk is ilyen világos van ott.
ja!!! tegnap én is ilyen szárítót vettem az obiban. helyhiány miatt, mert a mosókonyhában van egy olyan, amit selyem rakott fel, de még egy nem fér el és a pici babaruhák és a fehérneműk elférnek ezen is.
vasárnap mentek vásárolni?

selyem: nagyon szépek a nyuszók. azok a picikék!!!! hát őrület!!!

mi lassan teljesen készen vagyunk és már csak a gyerek kell. ma megvettem a légzésfigyelőt is. azt hiszem ilyen van csillagnak és bezének is.
http://brendon.hu/Products/ViewDetails/ ... e&store=32

és vettem egy játszószőnyeget is, amivel mi már játszottunk legalább fél órát.
http://brendon.hu/Products/ViewDetails/ ... e&store=32
ezen van egy olyan külön is használható zenélő egység, ami akkor zenél, amikor a baba megüti, vagy megrúgja, vagy lehet folyamatos zenélésre állítani.

trampli, vagy nem trampli: én is persze felöltözök csinire, amikor dokihoz megyek, meg itthon is mindig meg vagyok fésülködve, meg kozmetikushoz járok, meg hasonlók, de én simán elmegyek melegítőben a városba és babkocsit is fogok melegítőben tologatni. és a mai melegítők már nem tramplik, viszont sokkal kényelmesebbek nekem.

Kép

Kép
@ka(ti)
 
 


Pedi olyan jó volt olvasni a soraidat:))
alig várom hogy én is mesélhessek ilyeneket:)de hát az még odébb van:)
szupi a ruhaszárítód..anyuméknak is ilyen van már szerintem több mint 10 éve..nagyon jó....

Selyem nagyon édes a nyuszi!!!!!!!!!!:)

Kép
Kép
Kép
Kép
nitacska007
Halásztelek
 
 


Sziasztok!

Nah itt vagyok....visszaolvastam gyorsan!

Majga üdv köztünk, én tegnap voltam 12 hét + 5 napos :)
Gratulálok Neked, tényleg nagyon szépen látszik a Babád!
Nálunk valószínűleg az volt a gond, hogy nem valami jó az uh, legalábbis szerintem, meg nem is adnak képet, hanem telóval csináltuk!

Bogárka nagyon sajnálom, de fel a fejjel! Soha nem szabad feladni! Remélem a cseppek segítenek majd Neked!

Selyem én PCOS vagyok, vagy voltam!? Nem is tudom! Amikor abbahagytam a fogigátlót, soha nem akart megjönni csak gyógyszerrel, csináltak uh-t, kiderült cisztám van...erre fogamzásgátlót írtak fel, hogy jó lesz ez, amíg nem akarunk Babát, aztán endokrinológushoz mentem, és ő segített nekem! Nézesd meg magad egy másik dokival! Ne kenődj el!

Cham gratulálok a vizsgádhoz! Nagyon ügyes Csajszi vagy!

Nah és akkor......tegnapi nap nagyon jól indult, api reggel nem ment dolgozni, hogy mehessünk együtt majd a dokihoz....reggeliztünk együtt, már idejét nem tudom mikor volt ilyen, hogy mi ketten leültünk az asztalhoz reggelizni.....
Aztán jött az öreglány a hülyeségeivel, és annyira összevesztünk, hogy a férjem állt már közénk, majdnem nekem jött.....
Most ott tartunk, hogy valószínűleg megy az otthonba, nagyon remélem, mert én ezt már nagyon nem bírom...elegem van belőle...és nem hiszem hogy a stressz annyira jót tenne nekünk!

Babuka nemét nem láttuk, megint elég érdekesen feküdt, én igazából nem is láttam uh-n, csak a képen, nagyon sokan voltak, és csak egy gépen csinálják az uh-t, sajnos nincs elég idő a gyönyörködésre, nah de majd a 4D-n!

Kép
Kép

Moncsi
monalux
 
 


dike: ég annyit akartam írni, hogy én 17+1 voltam, amikor buborékozást éreztem először, majd 18+1, amikor bejelentkezett egyszer hason fekve bogi. és azóta nincs megállás!!! szóval még ne aggódj. az egyik barátnőm, akinek kisfia született nemrég, ő csak a 20.héten érezte meg először. a fiúk lustibbak.

Kép

Kép
@ka(ti)
 
 


Bogi! neeeem, én nem emlékeztem, h téged már rendesen kivizsgáltak. én csak azért hiszek ebben a laparban, mert nekem sem derült volna soha ki a bajom, ha nem vállalom be, és a mai napig próbálkoznék! ne haragudj, ha megbántottalak drááága!!!csak én is nagyon szeretném h minél hamarabb összejöjjön nektek a baba! de az a lényeg h már sínen vagy!!!!!!!hajrá relax,no stressz,természetgyógyász:)

KépKép
dike
 
 


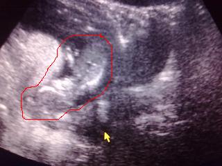
Dike bekarikáztam neked a Babát! Jah és az is lehet, hogy azért látszik "csak" ennyire, mert hájas vagyok :(

Kép

Kép
Kép

Moncsi
monalux
 
 


kati: nagyon aranyos a babaszőnyeg :)
mondjuk én tuti nem veszek majd ilyen dolgokat meg neki..

mona: nemhiszem, hogy a "háj" befolyásolná ezt. csak rosszul feküdt :) de így hogy mutatod mit kell nézni,már látom nagyjából :D

Kép
selyem
Pécs
 
 


mona drága! nem én nem láttam:)

KépKép
dike
 
 


[quote]] írta:kati: nagyon aranyos a babaszőnyeg :)
mondjuk én tuti nem veszek majd ilyen dolgokat meg neki..


miért?

Kép

Kép
@ka(ti)
 
 


Dike, nem, nem, nincs semmi gond Cicam csak ereztem en, hogy olyan kis hitetlenke vagy velem es multkor elfelejtettem irni, hogy voltam mar dokkernal. Csak mar regen, regebben es mivel ezert nem mehetek haza majd mindig + hallottam, hogy itt tok ingyen megvizsgalnak ha 6 honapig nem esel teherbe. Apaval mentunk es csa. Sajna van ez a gond de nem baj, legalabb mar tudjuk. A hormonjaim azok jok, ennek mondjuk orulok ammm!!!:):) Azt sajnalom, ohgy nem mentem korabban de most is teljesen veletlenul tudtam meg, ohgy van ez az ingyen vizsgalat. Ha tudom, mar regen elmentem volna ide is.

Virag, lakasrol majd teszek fel fotot de meg olyan semmilyen. Ures. Hadakozunk az agency-vel mert a landlord nem engedi meg, hogy a falra barmit is tegyunk. SE kepet, se semmmmmit. Igy meg...tiszta gaaaz! Es olyan edes kepeim vannak a konyhaba is, nappaliba is, haloba is ha engedne a hulye landlord!grrr! :twisted:

Mona, nyanya jol kiboritott! Utom meg! :wink: :D Unatkozik! Uuuunaaaaatkoooooziiiiik! ES a nyakatokon log, idegesit es bedohanyzik! Sajnalom, hogy ezeken kell atesned! Nem erdemled! De Ferjed elintezi ne aggodj! Ne is nezz mar hatra meg arra sem mi volt ma! Hamarosan nyugtotok, nyugtod lesz es jupppppiiiiii!!!!! :D :D Meg tudod: salalaaaa!! :D

KatocamCicam! Az a legzesfigyi tok joooomaaaa`!
A jatszo is edes! Szep! Bogis! Katis! Ferjedes, illik hozzatok!:) Jokat vettel!:):):)
Az igazsag az, hogy egy olyan szerelesben, mint amiben Eva Longoria futni jar a Szulcsifelcsiben, en is tologatnek siman babat kocsiban! :lol: :lol: :lol: Viccen kivul. Szabadido es szabadido kozott is van kulonbseg. Es ha az ember apolt, mindegy miben van. Ha pedig nem apolt, Dolce&Gabbanat is magara aggathat akkor is randa lesz! Es ez nem a kilok fuggvenye. Sztem.
Vendég
 


bogárkám, annyira köszi a megerősítést a melegítős dologban. amint megszületik a babád, rögtön küldöm neked a játszószőnyeget!!!! olyan bogis és te is az vagy!!!hihihihi

Kép

Kép
@ka(ti)
 
 


Dike ezer bocsi, csak olyan sokat írtatok, hogy mire a végére értem, már elfelejtettem, vagyis azt hittem.....tényleg bocsika, zizi az agyam....

Kép
Kép

Moncsi
monalux
 
 


kati, igen, ilyen van nekünk is. A csomagolás még nincs kész, ne haragudj, nincs itthon anyag. :oops:
Babakocsit én is általában melegítőben tolom, csak itt a környéken, ha messzebbre megyek, akkor persze felöltözöm rendesen. Pocakosan általában felvettem a kismamanacimat, meg egy felsőt, vagy pulcsit, védőnőhöz, illetve dokihoz kiöltöztem, igyekeztem a szép felsőimet felvenni, már amelyik rám jött. :roll:

Pedi, gratula a szép eredményekhez!

Mona, a stresszre tényleg nagyon nincs szükséged!

"Drága" anyósom is alakított tegnap:kint dolgozik Ausztriában, férjem rendszeresen hívja, ő pedig az osztrák mobilján remekül elcseveg a mi költségünkre. :evil: Tegnap közli, hogy a férjem írasson fel a gyerekorvosunkkal tápszert Marci nevére, mert kell a nővére kiskutyáinak. Ez NORMÁLIS??????????

Kép

Kép

Kép

Kép

Kép
beze
Szekszárd
 
 
 
 
 
 


beze: ne idegesítsd magad, majd szólsz! majd egyben utalok, ha jó úgy.
bocsi, de jót röhögtem a táp a kiskutyának storyn!!! :lol: :lol: :lol: :lol:

Kép

Kép
@ka(ti)
 
 


kati, persze, hogy jó!
Hát én nem találtam viccesnek, de örülök, hogy te igen. :wink:

Kép

Kép

Kép

Kép

Kép
beze
Szekszárd
 
 
 
 
 
 


Beze, imadlak, de tenyleg! Tundermokus vagy de en ezen a tapos dolgon nagyon jot rohogtem! Mi tobb meg mindig extazisban vagyok! :lol: :lol: :lol: Igazabol a vege tetszett amit irtal, hogy EZ NORMALIS? Szinte hallom ahogyan mondod!! Normalis, Margit??-asszem Besenyo csaladban volt ez anno: maga, noooormaaaaliiiiiiiis????? Es ez most itt, utott!! :lol: :lol: Viccen kivul: ez no ez ez ez mar a jo izles hatarait surolja! Egy masik dimenzioban el!! Mi a Te anyossssod egy foldonkivuli???
Egyebkent amikor olvastalak akkor azt hittem az lesz a vege, hogy kell az akarki gyerekenek es amikor a kiskutyakat elolvastam, haat, keszvoootam!! :lol: :lol: :lol:
Vendég
 


Kati, koszke a szonyeget! :D :D Majd visszakuldom ha jon a 2. gyerkocod! Vagyis meg hamarabb! Vagyis nem tudom! Attol fugg mikor jon Neked a 2. es nekem az elso! :lol: :lol:
Ez a melegitos dolog meg tenyleg olyan, hogy egy vagany, csajos melegitoben siman kimegyek az utcara. Sot, dobok fel egy baseball satyit is es valami dogos nagyobbacska fulbevalot es felkenek egy szajfenyt oszt hali!:):) A fene fog oltozkodni csak azert mer kitolom, nem a kifutora viszem, azt meghagyom Longorianak! :lol: :lol: :lol:
Vendég
 


Beze, en meg mindig itt nevettem az iment, a konnyem is kicsordult! Felolvastam Apjuknak aki szinten levegot sem kapott es csak ennyit mondott: aszta qrva!(pedig soha nem beszel csunyan) De tenyleg, ez milyen gondolatmenet????(marmint anyosod es novere)
Vendég
 


Bogi, én is téged, de szerintem ezt úgyis tudod. :D
Most hogy mondod, a Besenyő család eszembe se jutott, de ahogy olvastam a soraid, én is röhögtem. Köszönöm! :lol:

Kép

Kép

Kép

Kép

Kép
beze
Szekszárd
 
 
 
 
 
 


Beze:SZIVESEN!! :D :D :D :D
Vendég
 


Csajok, én s csatlakozom ahhoz a táborhoz, hogy lehet babakocsit tolni normális melegítőben. Én is szoktam itt a faluban (mondjuk bent Győrben nem...) Van szuper melcsim meg baromi kényelmes Nike Air cipellőm egy jó sportos kabáttal. Én ezekben szoktam elmenni a játszótérre Bencével meg a boltba.

Kati, igen, nekünk is ilyen légzésfigyunk van. Teljes mértékben elégedett vagyok vele, remélem nektek is jó lesz! A játszószőnyeg is szuper!
Azt az állításodat cáfolom, hogy a kisfiúk később mozdulnak meg a pocakban, én ugyanis a 15. héten éreztem Bencét, Gergőt meg már a 14. héten is!

Pedi, nekem is van ilyen ruhaszárítóm és én is azt tudom mondani, hogy max babaruhát vagy fehérneműt lehet rajta szárítani, ja meg a textilpelusoknak is jó. Felnőtt rucikra azért nem vélt be, mert túl közel vannak a "hálók" egymáshoz és az "emeletek" is. Egyszerűen összeérnek rajta a ruhák... Úgyhogy nálunk is az a helyzet, hogy a másik fajtán száradnak a mi ruháink, ezen pedig a gyerekeké.
Nagyon tetszik a laminált padlótok.
Nagyon örülök, hogy ma jól vagy, igazán Rád fért már egy ilyen nap!

Mona, az öreglánynak ez az otthonba menése már tuti, vagy csak a veszekedés miatt mondta? Annyira sajnállak amiatt, hogy ilyen körülmények között kell élnetek... én már bediliztem volna...

Nita, fogsz Te még babakocsikat keresgélni, tudom! :wink:

Dike, nyugi a mozgás miatt! Most már tényleg csak napok kérdése és érezni fogod!

Selyem, cukker a nyuszikád!

Kép

Kép
csillagvirág14
 
 


Mona sajnálom hogy ilyeneket csinál a banya......jobb is ha otthonba megy ..ott aszt bosszant akit csak akar!!!!!!!

nem vagy hájas!!!!!!!!!!!!!!max csak testes:):)
mint én:):)

Beze én olyan tápot küldenék én anyósodnak ki hogy azt megemlegetné!!!!!!!!

Kép
Kép
Kép
Kép
nitacska007
Halásztelek
 
 


Beze, Bogi, én is jót röhögtem! Köszi Nektek! :lol: :lol: :lol: :lol:

Kép

Kép
csillagvirág14
 
 


Virág, úgy néz ki, hogy az Anyósom, Apósom jövő héten megy beszélni egy ismerőssel, hogy segítsenek bejuttatni otthonba! Egy kicsit már én is be voltam dilizve, valószínűleg ezért is jött ki tegnap minden belőlem, ma már sokkal jobban éreztem magam lelkileg!
Nagyon örülök, hogy Gergő jól van, és "elmúlt" a "sérv"!

Kép
Kép

Moncsi
monalux
 
 


Virág, úgy néz ki, hogy az Anyósom, Apósom jövő héten megy beszélni egy ismerőssel, hogy segítsenek bejuttatni otthonba! Egy kicsit már én is be voltam dilizve, valószínűleg ezért is jött ki tegnap minden belőlem, ma már sokkal jobban éreztem magam lelkileg!
Nagyon örülök, hogy Gergő jól van, és "elmúlt" a "sérv"!

Kép
Kép

Moncsi
monalux
 
 


Nita tényleg elég hájas a pocim....régebben ha híztam mindenhova jött fel...viszont az elmúlt években inkább a hasamra jött fel, azt hiszem ez is pcos tünet...

Kép
Kép

Moncsi
monalux
 
 


Viragommmm, Csocsikazlak!! Hogy vagy? Gergoci alszik? BencUr alszik? Apaja kottazik, alszik, TVzik, eszik-iszik?:) Milyen napod volt ma? Faradt vagy, ugye egy cseppet? 2 gyerek mellett Teged sem tudlak kovetni, hogy lehet igy birni. Multkor is este 11 kor meg teregettel! :shock: :shock: :shock: :shock: Most olvastam, ohgy Zumbazni akarsz! Ugye csak karbantartani akarsz? Olyan vekonnnnka vagy, hogy lassan mar ugy kell keresni, hogy hol van Viraaaaaag!??! :D Nagyon jol nezel ki tenyleg. Tudom Te erzed meg ilyenkor mondjuk, hogy de itt plottyed, meg ott. Es stb. Szoval jo tornazast! :wink: :D
Vendég
 


Nita, Te sem vagy semmi! :lol: :lol: :lol: Rajtad is jo nevettem! El tudom kepzelni milyen tapot kuldenel?hihihihi
Vendég
 


Mona, jól tetted, hogy kiengedted a gőzt! Jobb így, ha nem mardos belül sok felgyülemlett düh és mérgelődés!
Anyósodéknak mennek a drukkok, hogy sikerüljön minél hamarabb eltüntetni a nyanyát!

Kép

Kép
csillagvirág14
 
 


Mona, ne mondj mar ilyet, hogy hajas a hasad azert nem jo a foto! Legy szi! Ez nem igaz! Ha nem is a legjobb a kepminoseg semmikepp sem ezert! Olyan kis edes csajszi vagy, ne gondolj ilyeneket magadrol!Puszikallak, Te, KISMAMI!! :D :D MEGHOZZA 13. HETES!! :D :D :D
Vendég
 


VIRAG, mielobb eltuntetni a nyanyat es minel messzebb!! :lol: :lol: Hogy ki se tudjon szokni!! :lol:
Vendég
 


Mona, az elozo Nekes is szolt!:):):)
Vendég
 


Bogárkám annyira aranyos vagy! Tényleg nagyon megérdemelnéd már, hogy kopogtasson a gólya! Puszillak Drága!

Megyek pihizni, mert éjjel csak 6 órát aludtam, és az nekem édes kevés....

Jó éjt mindenkinek!

Jó, hogy vagytok! Pusszantás!

Kép
Kép

Moncsi
monalux
 
 


Cső Bogi!!!!!! Nem vagyok ám én most olyan vékony... úgy érzem, hogy egy nagy s@ggből állok oszt ennyi... 8) Lenne mit alakítani rajtam. (Épp ma gondoltam rá, hogy poénból dobok Nektek egy pocifotót, mert az legalább még kinéz valahogy, legalább is ha állok. Ha leülök, akkor összenyomódik a kinyúlt bőröm és gáááááááááááz... ezt persze minden egyes szoptatáskor "megcsodálhatom" magamon amikor felhúzom a pólómat. :lol: )

Ma fáradt vagyok, az igaz, de csak azért, mert kétszer kellett mennem a kórházba Gergővel. Odamentünk 10 után, erre kiderült, hogy a dokink műtőben volt kb 1-ig. Ezért elmentem Anyuékhoz. Majd vissza a kórházba, ahol mondták, hogy még legalább másfél órán át műt a doki... Ennyit nem tudtam volna várni a szoptatás miatt, így egy másik dokker nézte meg Gergőcit.
Valahogy akkor fáradok el jobban, ha el kell mennem itthonról, babakocsit kell pakolnom ki és be az autóba stb...) Az itthoni munka nem fárasztó.

And U?????? Mi jót csinyátá ma?

Kép

Kép
csillagvirág14
 
 

Vissza: Fogamzás

Jegyzetfüzet:

 

X
EZT MÁR OLVASTAD?