A baba portál - Babanet.hu

Új privát üzeneted érkezett!

Társalgó főoldal » Fogamzás » Babagyártásban 2006 a mi évünk volt, 2007 is ilyen sikeres lesz.


Sziasztok!!!

Sziszi,nagyon szorítunk és biztosan minden jól fog alakulni!!!!!!Puszi

Kata,ha megvolt az UH gyere gyorsan!!!!!!

Mindenkinek szép napot mára

Kép Kép
meli1118
 
 


Sziszi, nagyon drukkolok nektek, és úgy gondolom, jó kezekben leszel!! Ezek szerint még holnap megműt??? Akkor gyorsan túl leszel rajta!! Meddig kell bent maradnod utána a kórházban??

Már csak 5 óra, és megyek dokihoz uh-ra. De szeretnék már 5 órával, vagy inkább hattal öregebb lenni...

Nálunk most 20 fok van, kibírható. Nálatok milyen az idő???

Kép

Kép

Kata & Gege & Nórika :)
hoppá
 
 


Hoppá

Dehogy műt meg holnap, csak megvizsgálja ezt a szemét cisztát és elmondja minden jellemzőjét (mi van benne: vér cagy folyadék, milyen vastag a fala, hány részből áll...). Utána pedig 3 hetet mindenképp várni kell, mert a baba nem éli túl az altatást 12 hetes kor alatt. Utána minél nagyobb a baba, annál nagyobb az esélye...

Tehát ameddig lehet, Ő is várni akar.
Vendég
 

 
 

++++++++++++++++++++

Minden rendben lesz az UH-on.
Vigyáztál magadra, most hánytál is a napokban... Szerintem lesz már szívhang tutira. Már a 7. héten tartasz az utolsó menszi alapján. A babát is látni fogok. Olyan lesz, mint egy babszem :lol: .
Vendég
 


Sziasztok,

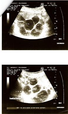
megjöttem a dokitól: "21 mm-es szabályos petezsák, benne embriócsomó (? :shock: :roll: ), szívműködés jelenleg még biztonsággal nem megítélhető." Szóval állítólag olyan a méhem, hogy se nem teljesen hátrahajló, se nem teljesen előrehajló, emiatt a hasi uh-n a beleimtől, hüvelyin a húgyhólyagomtól nem teljesen láthatók a dolgok... Szóval láttunk valami pulzáló valamit, a doki mutatta is, de elég homályos volt. Így azt mondta a doki, nem meri ráírni, hogy megfelelő szívhang, majd jövő héten újra megnézi... :?
Hát nem lettem sokkal nyugodtabb. A petezsákra méret alapján a gép azt dobta ki, hogy 6+3 hetes terhesség. A doki a papíromra azt írta:
Diagnózis: korai graviditas
vélemény: grav. s. 5-6.

Így még egy hét para... :(

Sziszi, akkor jó, hogy félreértettem, olvastam, hogy olyan 16 hetes korban műtik, ha kell az ilyen cisztákat! Kíváncsi vagyok, holnap mit mond a doki!!

Kép

Kép

Kata & Gege & Nórika :)
hoppá
 
 


Na mi van csajok?? Hol vagytok??

Csináltam vonalzót, babona ide, vagy oda. Ha emiatt nem lesz mégsem, akkor már régen rossz...

Kép

Kép

Kata & Gege & Nórika :)
hoppá
 
 


Szia Hoppá

azért ez nem olyan rossz hír, bár biztosan jobb lett volna, ha van szívhang. Nem próbálta dopplerrel meghallgatni, hamár nem látszott?
Hogy takarta el a hugyhólyag? Ilyen kicsi terhességnél ez furán hangzik. Nem megijesztésnek szánom, csak nem értem.
Szorítok, minden rendben lesz, nyugi.
Vendég
 


jó estét !

Kata
nyugi !!!!! jövő héten már szívhang is lesz !!!!!!!!
az a kis pulzáló valami a Te babád !!!! :D :D :D
csodaszép a vonalzód !!!!!!!
nagyon nagyon szorítunk Neked !!!!!
pihenj és kíméld magad !!!!!!!!!!!!!!!!!! a babó meg fogja hálálni !!!!!!!!!

Sziszi
Neked is nagyon drukkolunk !!!!!!!!!
még az is lehet, hogy eltűnik, felszívódik ez a rohadt ( bocsánat , de nagyon mérges vagyok minden cisztára ! )..... ciszta !!!

Gestomix szedése hat hónapig
vvviki
 
 


sziasztok!

Kata
nem lesz ott semmi gond, fiatalka még ez a babó :wink: :wink: :wink: szép vonalzót csináltál :wink: :wink: :wink: Kisfiú? Jöhet, úgyis egyenlőre a csajok vannak többségben :D :D :D
Sziszié is olyan kisfiút sejtető vonalzó :wink: :wink: :wink:

Na megyek fürdeni, de a jó hírre jönni kellett.

Jó éjszakát!

Adrika 1999.02.22
Kép
Kép
kis_plutó
 
 


többiek hol vagytok ???

Andi ?
Musz ?
Anna ?????

Gestomix szedése hat hónapig
vvviki
 
 


Szia Vvviki, itt vagyok, csak "szorító üzemmódban" :roll: és így nehéz írni :lol:

Hát Maus már nem ölkutya, hanem társasági kutya - fekszik ő, csak legyél vele - de ne úgy, hogy közben pakolgatsz, vagy igaz, hogy mellette vagy az ágyban, de olvasol... áááá, vele KELL beszélgetni és folyamatosan a szemébe nézni. Akkor ő is "beszélget". Apja szerint barokk körmondatokban :lol: , mert nem csak annyit mond, hogy eeee, hanem hogy eeeöööáááá :lol:

Kata, minden rendben, csak még túl korán leskelődtetek :D Átlagban 5-6 héttől van szívhang, ami azt jelenti, hogy vannak kivételek!
A doki meg azért nem merte leírni, mert alapban nem vállalnak fel semmit :evil:
Velem UH-k után aláírattattak egy nyilatkozatot, hogy tudomásul veszem, hogy ők a látottak alapján alkotják a véleményt, de attól még nem biztos, hogy minden rendben, csak nem látták.
Mire jó a 10,000 Ft-os magán UH... :evil:
Nagyon szép és különleges a vonalzód :D de akkor mér' rózsaszín? :shock: :shock: :shock: :lol:

Szisz, hess-hess ciszta!

Beus, igen tudom, már aktuális. Ezért kérdeztem rá Andinál a sufnira :wink: :lol:

Gabi, én már 3 hónapja nem főztem :oops: Nemhogy sokat nem, semmit sem. "Tálrajáró" vagyok az anyunál :oops: :lol:

Meli, akkor nálunk hiba csúszott a genetikába :shock: Majd megkérdezem Cz. Endrét :lol:
Én is szeretek csavarogni, a boltokat pedig egyenesen imádom. A lányom viszont a boltban ordít a legjobban...

A német barátnőm lepett meg egy doboznyi ajándékkal, tegnap hozta a posta, tele ajándékkal a mausomnak. Nagy meglepetés és öröm volt.
Az esőerdei forgót rögtön bevetettük :D
Kép

Musz

KépKép
muszkuru
 
 


Musz
akkor már értem, hogy miért mondta a legjobb barátnőm annak idején, hogy a párja már a tánctudását is bevetette, csak hogy az ő kis rosszcsontjuk egy pillanatra elfoglalja magát :shock:
látom Maust lefoglalta a forgó !! :D :D

én mindig azt hittem hogy unokatesóm kéthónapos kislánya mélyen alszik az anyja kezében miután kb. 80 km-t gyalogolt vele a szobában, de amikor a hátsója a kiságyát érintette ( az anyja szerette volna egy kicsit ha az ölkutyusa a saját ágyát is használja ) akkora ordítást csapott le, hogy már a gyerekvédelmisektől rettegtünk :lol:

egyre több barátnőm kérdezgeti, hogy mikor adhatják már oda nekem a babaruháikat
mondtam viccesen, hogy gyereket is adjanak hozzá :shock:
mentségükre szóljon, hogy nagyon kevesen tudnak a projektünkről

Gestomix szedése hat hónapig
vvviki
 
 


Ez a hatodik érzékük :shock:
A múltkor az anyu kezében volt és szunyókált, és csak KIMONDTUK, hogy nem próbálod meg letenni a KISÁGYBA, hát olyan ordítás lett :shock: :lol: :lol: :lol:

Apa is énekelt már a mausnak ( :!: apa NEM tud énekelni. én a kapcsolatunk elején megkértem, ha 5 km-es körzetben vagyok, ne énekeljen - eddig betartotta :lol: )

Ha babaruhákat ajánlgatnak, fogadd el!!!
Láttad az árakat a boltokban :!: :?: :wink: :lol:
Gyereket viszont ne kérjél hozzá, mert először elég lesz a tied is (néha még sok is :oops: ) :lol:

Musz

KépKép
muszkuru
 
 


Én életem első 3 hónapját végigordítottam mármint az éjszakákat, mivel hasfájós voltam
szegény dédim ringatott, anyum meg aludt

Gestomix szedése hat hónapig
vvviki
 
 


az egyik barátnőm túrkálóban vett egy csomó babaruhát még a terhessége előtt és most jött rá, milyen jól tette
ahogy ő szokta mondani, egy háromhetes babát nem izgat a dolog, hogy ő most kétezer vagy kétszáz forintos bodyt pakol tele... :lol:

Gestomix szedése hat hónapig
vvviki
 
 


Hello,

Sziszi, a doki előre mondta, hogy nem 100%, hogy látjuk már a szívhangot (mert annyira nem jó a gépe), dopplere pedig sajna nincs :? , hogy meghallgathassuk. Valami pulzálót mindhárman láttunk, apa is.
Jövő héten kiderül. Azért írtam, hogy nem nyugodtam meg. Bár ettől függetlenül csináltam vonalzót.
A méhem helyzetét meg így magyarázta, hogy egyik oldalról a beleim, a másikról meg a hólyagom zavarnak be. Még ki is kellett mennem pisilni, hátha úgy jobban látjuk. Én sem örültm, hogy k ikellmagyarázni, miért nem láthatjuk jól... De egy lebeg a szemem előtt, hogy ha baj van, akkor azt el kellene mondania. És az uh után mondta, hogy akkor jövő héten uh, aztán mehetek a kiskönyvemért a nővédelmi központba, aztán utána havonta kontroll. Meglátjuk...
Te kislányt, vagy kisfiút szeretnél???

Plutó, Musz, én kisfiút érzek. (ha egyáltalán lesz babánk...) De ettől függetlenül a szívemben az első számú hely egy kislányé (apánál is). De ha fiú lesz, akkor is elhozzuk :lol: :wink: Egy a lényeg, EGÉSZSÉGES legyen, a többi nem számít.


Musz, látom a forgó meghozta a hatásását, Mauska nem sírt, hanem játszott.

Kép

Kép

Kata & Gege & Nórika :)
hoppá
 
 


Hoppá

Én kislányt szerettem volna úgy másfél évvel ezelőtt. A sok keserűség azonban már teljesen mindeggyé tette, hogy mi lesz. Annyit szenvedünk ezért a babáért, hogy egyben bízunk már csak: Ő lesz az erősebb, nem a ciszta és szeretne velünk maradni egésységesen.

Tominak már megmondtuk, mert sokszor elég durván játszik, muszály volt. Annyira várja, nagyon remélem, hogy nem kell neki rossz hírrel szolgálni. Ezért is maradtam itthon mától 4 napig főleg fekszem, mert az utró-t levittem 2x1-re. Muszály. Remélem nem lesz baj.
Vendég
 


Gabi

Az én vonalzón direkt semleges: lila és zöld bugyis a baba :lol:
Mi a sorsra bízzuk.
Vendég
 


Sziasztok!!!!

Kata,ne aggódj,biztosan minden OK ott benn,mi sem láttunk még szívhangot a 6.héten,aztán a 9-en mentünk újra és akkor már 2mm-es volt!!!!!!Egészen biztosan jól van a kicsikéd,nekünk még pulzálás sem volt,csak egy petezsák,amiben a doki látott valami kis árnyékot....aztán most meg itt cibálgatja a mellem....ma nagyon nyűgi nap van,nem voltunk kinn sétálni sem tegnap sem ma az időjárás miatt...hát meg is érzi szegénykém!!!!!

Ági,de jó Mauskának,egész nap szóval van tartva!!!!Ő napközben mennyit alszik????Dénes egyre kevesebbet!!!!!!Szerencsére az éjjelek még mindig jók,csak nappal van fenn gyakarabban!!!!De nappal a kiságyába betenni!!!!!Üvölt,mint a sakál!!!!!!Csak éjjel van el benne...


Gabi,jól vagytok???Mostanában ritkán jössz!!!!!

Viki,a babaruhához csak annyit,hogy nincs az a mennyyiség,ami elég lenne,pláne egy nyári,izzadós gyereknek....a nagy hőségben napi 5x min.átöltöztettem!!!!Ráadásul kaptunk ajándékba egy csomag DM sajátmárkás pelust...hát az nekünk abszolút nem jött be!!!!!A gyerek állandóan nyakig pisis volt,akkor is előtte fél órája cseréletm pelust!!!!!Nekünk csak a Pampers vált be eddig,a Huggissal is így jártunk....

Többiek!!
Jöhetnétek ám kicsit gyakrabban!!!!!!

Puszi mindenkinek

Kép Kép
meli1118
 
 


sziasztok!

Hát nálunk nagyon ócska a net. Hajnalban játszott a lányom, gondoltam végre írok, hát nem volt hová :evil: :evil: :evil: ez volt hajnal 3-kor, valamikor 11 óra után néztem, hogy végre van :? :? ugye én reggel vagyok szabadabb.

Mamen
Emesének boldog névnapot!!
Kép
Musz
jópofa a játék :lol: :lol: nekem is imádja Eszterke ha beszélnek hozzá, na de mi sokat énekelünk is neki Adrikával :wink: :wink: :wink:

Meli
nekem az új fajta Rossmannos pelus nem jön be, piros tőle a feneke. Pemperssel pedig pisis lesz :roll: :roll: éjjelre pedig most az van. Betankoltam 2 cs. tesco-s pelussal, hát remélem jó lesz :twisted: :twisted:

Vvviki
bizony kell ruha. én külön mosom a pici ruhájait, és egész adagot, hát most nyáron egy hétig gyüjtögetünk, mire ki is vasalom őket elég üres a szekrénye :shock: :shock: pedig lányra megy a szoknya is, poló+rövidnaci, v. body+rövidnaci és napozó is, szóval több a lehetőség, mint fiúra, de kell :wink: :wink: :wink:

Sziszi
igazad van teljesen, mindegy kisfiú v. kislány :D :D :D egészséges legyen és időre szülessen :wink: :wink: :wink:

Málna már nyaralni van? nekem a dátumok mostanában összefolynak :oops: :oops:

Na most ennyi voltam, de rakok friss képet :wink:
Kép
Kép

Adrika 1999.02.22
Kép
Kép
kis_plutó
 
 


Sziasztok!

Kata,Anyusziszi!
Nagyon szorítok nektek :!: :!: +++++++++++++
Pár hónap múlva áldott jó gyereketek fog születni,kárpótlásul amiért most nagy izgalomban tart benneteket :D :)

Muszkuru!
Azért biztos fog javulni a helyzet,hiszen Mauska lányból van,és én még olyan lánnyal nem találkoztam aki nem szeret vásárolni,nézelődni,csavarogni :D

Meli!
Jó,hogy Dénes ilyen jó fiú.A ruhás dolog ismerős :)

Kis_Plutó!
Esztike milyen ügyesen ki tudja nyomni magát,szép formás nagy baba :P

Bea!
Hogy telnek a napjaitok hármasban?

Viki!
A szoptatással kapcsolatos sztori engem is érdekelne

Mókuska!
Remélem lánykád meggyógyult,és Dani nem kapta el.
A Horvátországi meleg egyenlőre nem zavar minket,mert mi majd szeptemberben megyünk.

Málna!
Gratulálok a vizsgádhoz :!: Már biztos izgalomban vagytok a nyaralás miatt :)

Zsizsik!
Kitartást a munkához.Holt töltitek majd a megérdemelt pihenést?
Bükk jó lehetett :D

Candi!
Szerintem túl sokat dolgozol,ami figyelemelterelésnek nem rossz,de más szempontból nem biztos,hogy szerencsés.

Mamen!
EMESÉNEK BOLDOG NÉVNAPOT!Mi volt az ajándék?
Hogy telnek a napjaitok?

Vvviki!
Ti hova mentek nyaralni?

Régen voltam,mert Gerda elég nyügi volt mostanság.Tegnapra pedig be is lázasodott,először a fogára gyanakodtam,de ma reggelre ismét lázas lett,úgyhogy elmentünk dokihoz.Igazából a torka piros egy picit,de lehet,hogy nem is ez okozza a lázat,hanem úgy nevezett 3 napos láz,majd kiderül,ha szombatra bepöttyösödik.Enni azért eszik szerencsére.
Múlt héten voltunk a kórházba is vese kontrollon,sajna a pyelon tágulatunk még mindig 12mm-es :x ,bár még mindig jobb,mintha nőtt volna :(

KépKép
takido
 
 


néhány friss képet én is dobok :D
Kép
Kép
Kép

KépKép
takido
 
 


hellóó !

gyors bekukk !!!

Gabi
Esztike tündéri kiscsaj !!! már ügyesen tartja a fejét !!
ma reggel voltam túrkálni meló előtt és találtam egy gyönyörű rugdalózót, 200 forintért !!!

Dóri
Gerda is tündéri !
nyaralni nem megyünk, néhány napos wellness lesz a program majd július végén

Gestomix szedése hat hónapig
vvviki
 
 


Sziasztok!

Nem olvastam vissza, úgyhogy bocsi mindenkitől, de nem tudok mindenre reagálni.

A lényeg:
Hoppá

GRATULÁLOK!!
És nyugi, minden rendben lesz!!!Csak ne idegeskedj!!!

Sziszi

Szorítok nektek nagyon. Tudom nehéz, de próbálj meg nem gondolni semmi rosszra, biztos minden rendben lesz!!
Mit mondott az orvos?

Lányok mindenkinek köszönöm a gartaulációkat, és hogy szorítottatok nekem!! Kép
Egy kis pontosításra szorul a vizsgám.Többen államviszgához szorítottak :D Nagyon köszönöm, hogy kinéztétek belőlem :lol: :lol: , de ez nem államvizsga volt, hanem szakvizsga.
Igaz, hogy felsőfokú képesítést adott, és a szolnoki főiskola által akkreditált képzés volt, de messze vagyok még az államviszgától.De ami késik, az nem jön időben :lol: :lol: Szóval az még odébb van, de azért köszi.

Megpróbálok még este benézni, de nem igérem.Még vasalok, meg pakolok.Máté itthon van már, igaz a héten nem is bolt bölcsiben mert gennyes torokgyulladása volt :evil: , de már rendbe jött.
Ha nem jönnék már, akkor mindenkit puszilok, kismamik, és mamik vigyázzatok magatokra és a gyerekekre!!
14.-én jövünk haza, kisebb kitérővel de még igyis emberi időben, ha lesz fejem akkor jelentkezem!
Kép

málna2162
 
 


Jó reggelt!
Egy kis jókedv ebben a rossz időben :D

Kérdések:

- Ha egy hupikék törpikét fojtogatok, milyen színe lesz?

- Hogy kerülnek a "fűre lépni tilos" táblák a gyep közepére?

- Az analfabétáknak ugyanúgy ízlik a betűtésztával készült leves?

- Mit csinált az ember épp akkor, mikor felfedezte, hogy a tehenek tejet adnak?

- Ha a kínaiak az esküvő alatt rizst szórnak, akkor a mexikóiak kaktuszt dobálnak?

- Miért olyan hosszú az a szó, hogy "megrövidebbitendö"?

- Hogyan vesszük észre, hogy a láthatatlan tinta kifogyott a tollból?

- Miért nem ütötte agyon Noé a két szúnyogot?

- Ha a nyúlláb szerencsét hoz, akkor a nyúlnak is szerencséje volt?

- A vajaskenyér mindig a megkent oldalára esik, a macska mindig a talpára esik. Mi történik, ha a macska hátára vajat kenünk?

- A Lipton dolgozói is tarthatnak kávészünetet?

- Miért nem mennek össze a juhok esőben?

- Ha ma nulla fok van és holnap kétszer olyan hideg várható, hány fok lesz holnap?

- Miért kell a koporsó fedelét odaszögezni?

- Mit számolnak a bárányok, ha nem tudnak elaludni?

- Az olívaolaj olívabogyóból készül, a napraforgóolaj napraforgómagból készül. Miből készül a babyolaj?

- Ha egy jármű fénysebességgel halad, mi történik, ha bekapcsoljuk a fényszórót?

- Ha az ember a majom továbbfejlesztett változata, akkor miért vannak még mindig majmok?

- Ha egy taxis hátramenetben visz haza, akkor neki kell fizetnie?

- Kapnak a súlyos égési sérülésben elhunytak kedvezményt a hamvasztásnál?

KépKép
takido
 
 


Sziasztok,

rendesen haldoklik ez az egész....
Azért még próbálkozom, bár kezd elmenni a kedvem az üres topiktól.

A cisztám a CLOSTYBEGIT mellékhatása!!! Mivel nem adtak tüszőrepi szurit, így a jólfejlett tüsző nem repedt meg, hanem nőtt a terhességgel együtt.

A jobb petefészekből indul ki és mint egy óriási lufi úgy nő. Mindenképp műtét vagy leszívás vár rám 2-3 hét múlva.
A jó, hogy nem méhen belül van, nagyobbak az esélyek.
A baba jól van növekszik szépen.
Vendég
 


Anyusziszi!

Örülök,hogy a babád jól van,és nagyon szorítok,hogy minden rendben legyen,és gond nélkül el tudják távolítani a cisztát.Mikor döl el,hogy leszívás,vagy műtét?
Hogyhogy nem kaptál tüszőrepesztő szurit?

KépKép
takido
 
 


Málna,
örülök, hogy jelentkeztél, nagyon jó nyaralást nektek!! Tudod, nyaralás, pihi, no stressz, és :roll: ... a várva várt.... :wink:

Sziszi, nem semmi a Closty mellékhatása... Minden rendben lesz 2-3 hét múlva, aztán már csak rossz emlék lesz. Laparoszkópiás műtét lesz?? És különben kidomborodik (szóval érzed) a cisztánál a hasad??


Takido, nagyon édes Gerda baba. Tesót terveztek??? :lol: A vesetágulattal kell valamit tenni? Megműteni, vagy ilyesmi? (Bocs, ha hülyeséget kérdezek :oops: )

Plutó, Esztike is most született, aztán már felemeli magát...
Érdekes ez a külön mosás. Lányok! Mindenki külön mossa a babaruhákat?? A kolléganőm is így mossa, azért kérdezem.

Kép

Kép

Kata & Gege & Nórika :)
hoppá
 
 


Sziszi

Örülök, hogy a helyzethez képest minden rendben van veletek!Meglátod nem lesz semmi baj.
Éreztél valamit ami utalhat cisztára?pl.hasfájás, görcsök.
Az első clostys hónapban én sem kaptam repesztőt, mert megrepedt magától, a múlt hónapban ebben nem vagyok boztos. Két napja fáj a hasam, felvagyok fúvodva(nem vészes, de ahhoz képest, hogy alig eszem, meg hasazok ezerrel, eléggé látszik), kezdek gyanakodni arra, hogy a múlt hónapban nem repedt meg, azért is tolódott ki a pé-m, ami lehet, hogy nem is volt igazán.
18.-a körül kell megjönnie, ha megjön akkor megyek orvoshoz.
Sajnos a clostynak lehet ilyen mellékhatása :?

málna2162
 
 


Szokás szerint csak kutyafuttában :oops:

Szisz, ez csak nálad mellékhatás, vagy tipikus? Ha igen, akkor miért nem gondoltak rá? :shock:

Kata, én is külön mosom. Gabihoz hasonlóan gyűjtögetem őket, aztán amikor összegyűlik egy adag, irány a mosógép. Más mosóport is használok, és szerintem szebbek maradnak, mintha a mieinkkel mosnám.
Viszont babaruhából nem válogatom külön a fehéret és a színeset. Különben kb havonta jönne össze egy adag...

Dóri, lehet, hogy a boltutálatot az apjától örökölte, és az én génjeim túl gyengék voltak, és elnyomták őket apáéi a boltfüggőségért vívott harcban :lol:
Gerdának lázmentességet kívánok!

Málna, nagyon jó nyaralást kívánok! (Ne vasalj annyit, nyaralni gyűrött gúnyában is lehet :wink: :lol: )

Vvviki, 200 forintos rugit még a Tacskó sem tud prezentálni :D :wink:
(De most 70%-os leértékelés van itt nálunk, azért elugrom, hátha akad valami :roll: )

Gabi, mit énekeltek Esztikének?
Én csak a "száraz tónak nedves partján"-t tudom, és ez nem tipikus gyerekdal :oops:
De azért Maus szereti, amikor jön a refrén, hogy "biciklizik az egér" mindig nevet :lol:

Na megyek a Tacskóba :D

Musz

KépKép
muszkuru
 
 


Sziasztok!

A szomszédból jöttem át egy pillanatra. :)

Sziszi :)
Mutatok Neked valamit. A 11 hetes uh-n annyi ciszta volt a hasanban, hogy nem találták meg a babát, csak hosszú küzdelem árán.
Kép
A 14. héten mentem kontrollra, teljesen felszívódott az összes!!!!
Azóta 11 éves a fiam. :D
Nyugi, minden rendben lesz! Kép
Vendég
 


Gyugyi :lol: ,

Sziszi nevében is köszönjük a bíztatást! Ezért szeretem a babanetet!! :wink: :lol:

Többiek!
Ne hagyjuk már kihalni a mi kis topicunkat!!! :evil: :twisted: :!: :shock: Gyertek már!!!

Kép

Kép

Kata & Gege & Nórika :)
hoppá
 
 


Gyugyi!
Reméljük sikerült kicsit megnyugtatnod Anyusziszit :)

Málna!
Hányadik napon tartasz? Remélem a nyaralásra esik a pé.d,és 4-be jöttök haza :D
Remélem a pocak dolgot nem ciszta okozza nálad is.Lehet,csak a szervezeted küzd a kockás has ellen :)

Hoppá!
Mindenképp szeretnénk tesót,de azért nem a közeljövőben,ha 2 és fél év múlva születne,az jó lenne :)
A pyelon tágulattal egyenlőre nem csinálnak semmit,3 havonta kell/et/ menni UH-ra+havonta kell ellenőrizni a vizeletét,ill.ismeretlen eredetű láz esetén orvoshoz kell fordulni.Most azért drukkolunk,hogy októberben,kontrollkor kisebb legyen.Ha akkor sem változik,akkor további vizsgálatok,de ezekről még annyira nem mertem érdeklődni,bízom benne,hogy nem lesz rá szükség.
Mi is külön mossuk Gerda ruháit,bár néha 1-1sötétebb darab odakerül a miénk közé.
Tüneteid?Róka koma?

Muszkuru!
Majd a fiaddal jársz vásárolni :D Már ha terveztek kistesót Mauskának.
Sajna a lázmentesség nem jött össze,ma is szükség volt a nurofenre :cry: Remélem holnapra már jobban leszünk,a láz mellé természetesen nyügösség is társul.

Többiek merre vagytok? Bea,Candi,Nektarin,Viki stb....

KépKép
takido
 
 


Én sem haltam meg, nyár van, munka van stb, nem sok kedvem van a gép előtt ücsörögni. Azért bele bele olvasgatok a soraitokba.
Sziszi: minden rendben lesz, erős ez a babus!
Sajna minden peteérés serkentő bogyónak lehet ilyen mellékhatásam ezért kéne rendesen végigkísérni uh-al minden gyógyszeres ciklust.
Az viszon jó hír, hogy a babák szépen leküzdik ezt / illetve a terhesség /.
Kata: gratula mégegyszer. Nem hüvelyi uh-al néztek? Vagy csak megint valamit félreolvastam?
Málna: naggyon jó nyaralást és szép időt nektek.
Bea, Musz: áll még a sufni, felhívásra meg nem mondok semmit, csak sunnyogok, mert egyszerűen nincs időm. De nem felejtek
Dóri: Gerda nagyon édes kiscsaj, az már jó hír, hogy nem nőtt a tágulat, innentől majd visszafelé fog fejlődni. Köszönjük a vicceket, a vajas macskán nagyot vigyorogtam, de nem próbálom ki.
Gabi: milyen szépen tartja magát Eszti, Adri élvezi a szabadságot?
No most megint rohanok, még igyekszem előfordulni.

Andi
candi
 
 


itt vagyok, itt vagyok !

nemrég keveredtem haza a melóból
most főzzük a holnapi ebédet, mert hajnalban indulunk pecázni és jó lesz, ha meleg kaja vár minket itthon !

Gyugyi
köszi a biztatást Sziszinek !
én a topik nélkül már tutira megzizisedtem volna ! :oops:

Gestomix szedése hat hónapig
vvviki
 
 


Candi, de jó téged is "látni"! :lol:
Hüvelyi és hasi uh-val is néztek. Meglátjuk jövő héten, mi lesz...

Tüneteim: a cickóim rendületlenül nőnek és fájnak, róka koma utoljára tegnap látogatott meg a családjával :lol: ... és skat émelygek. Sokat vagyok álmos.
Eddig is kívánós voltam, de most erősebben, pl. az előbb jöttem rá, hogy ennék tejfölös karfiollevest. felszaladtam a mélyhűtőhöz, megcsináltam, 2 tányéron már túl vagyok. :wink: Fincsi volt.

Na, megyek ki virágokat öntözünk apával.

Pussz

Kép

Kép

Kata & Gege & Nórika :)
hoppá
 
 


Dóri
az nagyon jó, hogy nem nőtt a tágulat !!

Kata
pihenj és lustizz !!!!!!!!!
és nyugi !!! ott a trónörökös a pocakodban !!!!

Málna
jó pihenést és pé-t !!! :wink: :wink:

Gestomix szedése hat hónapig
vvviki
 
 


sziasztok!

Hoppá
én néha kívánóssággal úgy jártam, hogy mire készen lett, addigra nem is esett olyan jól :shock: :shock: :shock:
Tüneteid tökéletesek :wink: :wink: :wink: jövőhéten, kapsz hozzájuk egy sztárfotót a picikédről :D :D :D

Sziszi
értem akkor most már Neked miért a ciszta :roll: gondolom nekem anno a hosszú ciklusoktól volt :shock: :shock: :shock:

Takidó
Gerda rendeteget változott, már milyen nagy lány lett. Olyan csini a fülbevalóval :wink: :wink: :wink: A tágulat Adrinak 9 hónapos korában múlt el :wink: :wink: :wink: mi sem kaptunk rá semmilyen kezelést :D

Musz
én is készülök hétfőn a TEscoba, meg Gyöngyösön van 1 nagyon jó kínai. Gyerekeknek be akarok vásárolni a suli és ovikezdésre ruhából. Agusztusban elég lesz a tanszer és a tankönyv :roll: :roll: apu lesz a bébicsősz a 2 nagyra, mert nekik nincs türelmük a vásárláshos, max. ha csak a játékok között lődörgünk :shock: :shock: :shock: :shock:
Te találtál valamit?

Málna
jó pihenést nektek!!!!!

kisgyerekes anyukák, nektek, hogy viselik a picik ezt a szeles időt? Nekem olyan rövideket aludt napközben :shock: :shock: Ráadásul a terasznál tovább ma sem vittem, de ott is jól lehetett érezni a szelet :shock: :shock:

Jó éjszakát mindenkinek!!!

Adrika 1999.02.22
Kép
Kép
kis_plutó
 
 


Musz
az ének is eszembe jutoott ám :oops: kicsit később... :roll:
Na én legtöbbször az Erdő szélén házikót szoktam énekelni.
Viszont a netről töltött le a párom egy cd. amin ovis énekek vannak gyermekeim imádják mind :D :D
Ne izgulj, ha nem gyerekdal...párom kedvence a Vettem a kutyámnak egy szájkosarat c. nótácska. Adrika 3 évesen úgy fújta, hogy... :lol: :lol:

Adrika 1999.02.22
Kép
Kép
kis_plutó
 
 


Gabi
apukám a Sárgát virágzik a tök című híres - hírhedt magyar slágert tanította meg nekem és a húgomnak, én voltam négyéves, húgom kettő
ja, és minden rokon előtt produkáltuk magunkat ezzel a dallal :lol: :lol: :lol: :lol: :lol: :lol:
anyukám meg zavartan mosolygott, ugyan honnan tanulták a lányok :lol: :lol:

Gestomix szedése hat hónapig
vvviki
 
 


Sziasztok!!Itt vagyok ám!!Nézegetlek titeket,csak nincs időm nagyon irogatni!!!!
ANYUKÁM MÉG NEM MENT EL!!!Majd 29.-én!!!!!!!
Ádika az előbb pottyant le az ágyról.................!Szegénykém hüppögött is egy kicsit!! :evil:
Volt már ilyen!Meg olyan is,hogy álmában esett le az ágyról! :x
Szóval!Gyorsan telnek a napok!A fiacskám MÁR 9 kg!!!!
És lassan 7 hónapos!!
Nagyon édes!Szépen fejlődik!Kezével már adja az ötösöket! :lol:
A kerekecske dombocskára már előre KACAG!! :D
Pál Kata Péterre kel fel reggel (10:00kor) :oops:
Nagyon szépen kúszik a földön!Már húzogatja magát fel!Lassan már áll a baba!
Más nem jut igy hirtelen eszembe!
Kata!!Ott van a babóka!!Jövőhéten már megnyugszol!!De azért addig se idegeskedj!! :wink: Minden a legnagyobb rendben! :wink: :wink:
Candi!!Hogy vagy??Mi újság van veled??
Dóri!Gerda meggyógyult már??
Plútó!Eszti tényleg szépen tartja a bubukáját!
Mókuska!!Veled mizu??
Muszkuru!Komolyan mondom mióta nem láttam a mauzkádat nagyot nőtt!! :shock: Játszószőnyeg.......hát.........megirigyelte a kis puniska! :wink:
Anyusziszi!!Nyugi!!Gyugyi remélem megnyugtatott!!Tessék a terhesség alatt nem idegeskedni!!!!!!!!!! :D
Vviki!Veled mi újság??
Málna!Mikor mentek nyaralni???
Azthiszem ennyi voltam mára!!
Jó éjt mindenkinek!!

Kép
bea27
 
 


Jó reggelt!
Na visszatér a rend és én vagyok az első ismét :lol: :lol: :lol:

Bea
hú Ádi jó kis súlyban van, elég lehet tartani :shock:
Elkezdtétek már a hozzátáplálást? Ha igen miket eszik már a nagylegény?

Dóri
és Ti? Gerda is kap már valamit?
Én először úgy gondoltam, hogy majd nyári alma és őszibarack szezonban elkezdem, de az már elkezdődött, és Eszteri még picike, úgyhogy majd őszib.-ot kap üvegeset később :roll:
Mindenképp az 5 hónapos kor szeretném megvárni :D Tejcsi van bőven, úgyhogy .......ráérünk :D

Hoppá
látom itt vagy :shock: :shock:
Hogy vagy ma reggel? Kis vuk költött? Étvágyad az van azért?

Nektarin
megint jön a nagy meleg-gondolom ez az átmeneti hűvösebb kellemesebb volt a számodra :roll: :roll:
Vizesedéssel, hogy állsz?

Mókuskáék még anyuéknál vannak :wink: :wink: élvezik az udvaros ház örömeit :lol: :lol: :lol:
A gyerekek már meggyógyultak neki.

Vvviki
igen találóak ezek az énekek. Mit ne mondjak én se díjaztam amikor anyuéknál azt a rész énekelte, hogy " az anyósom szájára rá tetetem......." ugye büszkén mesélte is, hogy az apja tanította :roll:
Pedig a páromnak szuper anyósa van :wink: :wink: :wink:

Na mindenkinek szép napot

Adrika 1999.02.22
Kép
Kép
kis_plutó
 
 


Jó reggelt,

igen, Gabi, itt voltam már régóta, 6-kor ébredtem :twisted: , apa ment a tesómékhoz építkezni, ma falaznak. Mi is megyünk majd később anyával, hugimmal meg az unokaöcsémmal (anyáéknál aludt). Tegnap sütöttem szórós túróst, de ma néztem, hogy kissé barnás egy-két helyen :oops: , megnéztem a sütőport, március 31-ig volt jó :? . Úgyhogy a többit kidobom, mert tizesével szoktam venni, és még van pár darab. Azért ettem a sütiből, nem olyan rossz :lol: Tegnap a karfiolleves mellett még főztem kukoricát, igaz, csak 4 db fél csövet. Még tavaly fagyasztottam le, hogy milyen jó lesz majd egy hideg téli napon főtt kukorit enni.. Még van belőle pár csomag :? Ez Murphy törvénye, ha nem tettem volna el, tuti kívántam volna párszor, de így a francnak sem kellett. :?

Hát, én a gyerekdalokkal bajban leszek, nem sokra emlékszem, de majd belejövök. Egytől tudok csak hülyét kapni, anyukám a húgomnak is, és a Rolinak is a csicseriborsót énekelte mindeig altatáskor. Hát én azt úúúúúútálom!!! És tök idegesít!!!

Tegnap és (még) ma sem találkoztam rókakomáékkal. Nem is hiányzik. De a hűtőt kinyitni, az egy rémálom!! Mindig öklendezek tőle. Az előbb reggeliztem az ágyikómban :oops: , de felkelni nem merek, mert érzem, hogy kijönne... így tentikézek és netezek.

Na abbahagyom, túl sok leszek :oops: . Ma nem sokat leszek, max este. Puszillak benneteket és mindenkinek kellemes pihit kívánok!

Tali lesz valamikor :shock: ???

Kép

Kép

Kata & Gege & Nórika :)
hoppá
 
 


Jajj,

Kép


Nektarin, nagyon boldog 30. szülinapot kívánok 3 nappal ezelőttre!!!!!!

Kép

Kép

Kata & Gege & Nórika :)
hoppá
 
 


Nektarin!
Én is csatlakoznék Hoppához,BOLDOG SZÜLETÉSNAPOT!

Hoppá!
Ki tud már a jó hírről?
Tegnap mi is ettünk főtt kukoricát,isteni volt :)

Bea!
Jó,hogy jelentkeztél :D Ádi nagyon ügyes fiúcska :)
Úgy néz ki,Gerda javulgat,legalábbis ma reggel már nem volt láza(kopp-kopp-kopp)

Kis Plútó!
Mi is 5 hónaposan kezdtük gyümölcsökkel(alma,őszibarack,sárgabarack,banán,meggy)ettünk rebarbarát is
2 hétre rá jöttek a főzelékek krumpli,répa,borsó,cukkini,paradicsomos krumpli.Vagyis szép lassan eszegetünk egyre több félét :D Mellette persze marad a szopi.Jó,hogy van sok tejcid :)
Adrikának mekkora volt a tágulata?

éxdfrrrőá-ezt Gerda írta :P

Hát ezek az apukák milyen dalokat tanítanak :lol: akor majd nem lepődök meg,ha Gerda tankcsapdát fog énekelni :)

Candi!
Közeleg a pé.remélem azért nem vagytok túl fáradtak :wink:
a vajas macskával úgyis a láb az erősebb,de azért inkább ne próbáld ki.

KépKép
takido
 
 


Anyusziszi!
Látod beindultunk,jó lenne ha te is jelentkeznél :!:

Meli!
Remélem nem Dénes"romlott" el :)

KépKép
takido
 
 


Sziasztok!!!!

Nem volt net nálunk ebben a szeles időben,meg hát a fiacskám is kicsit többet igényel már,most,hogy nem csak eszik-alszik!!!!Szegénykémet kiborította ez a szeles idő,nem vittem ki sétálni 2 napig,hát alig aludt valamit napközben,max.2,5 órát!!!!!Aztán tegnap kenguruztunk és ma babakocsiztunk,úgyhogy már újra a régi,de látszik rajta,hogy zavarja a rossz idő!!!!

Mi a Bóbitát szeretjük,már a pocakban énekeltem neki minden nap és azóta is!!!Meg a nagy kedvenc még a Vuk,a Fürge róka lábakra mindig megmozgatom a pelenkázón a kis lábait és ő nevetve rugdal utána!!!!Nagyon szeret meztelenkedni!!!!

Én azért is mosom külön a ruháit,mert nem használok hozzá öblítőt,mert állítólag allergiát okozhat!!!!De nekünk igen hamar összejön egy adag :?

Mi is vettünk néhány nagyon jó és occsó holmit neki a tecsóban,és még a minősége is jó!!!!

Amúgy Kata,a gyereknek tök mindegy lesz,hogy mit énekelsz neki,csak csináld!!!Apa pl.saját költeményeivel áll ki és Deni nagyon élvezi....pl.:NA micsinált ma ez a kis rosszaság lálálá...úgyhogy te is belejössz gyorsan!!!!


Jaj,lányok,Dénes kedden kapja meg a 2 hós oltását...hát izgulok!!!!Nektek nem lázasodtak be a bébik????És még ráadásként beadatom a kullancs ellenit is!!!Azt mondta a dokinőnk,hogy nagyon ajánlja,mert most 5 kullancsból 4 fertőzött Pest megyében állítólag :? :? Remélem nem jönnek ki a drágámon a mellékhatások...


Na mennem kell,mert csörgött a sütőm,kész a hal ebédre!!!!!A fiam is hamarosan megéhezik....ha lesz időm,még bekukkantok!!!!

Mindenkinek szép napot,a nyaralóknak jó időt,a vitorlázóknak meg további jó szelet :evil: :evil: :evil: :evil:

Kép Kép
meli1118
 
 


hellóó !

most értünk haza pecából, reggel nagyon korán keltünk, kettő után, nagyon jó színünk lett és egy-két hal is horogra akadt :D

alig tudom már nyitvatartani a szememet :oops:

Meli
látod, kilenc hónapja meglátogatott Vuk néhányszor, most meg énekelni is lehet már róla :lol:
szeret meztelenkedni Dénes ? hm, akkor belevaló pasas lesz ! :wink: :D

Gestomix szedése hat hónapig
vvviki
 
 


Hello csajok,

csak egy percre jövök, mert amikor nemrég hazaértünk a tesóméktól a falazásról, apa azt mondta, rázza a hideg. Megfürdött, aztán vacogva befeküdt az ágyba, megmértük a lázát: 39.1 :shock: Napszúrást kapott, a feje fáj és tiszta vörös, baseball sapi sem volt rajta, pedig kellett volna. Késő bánat. Most hűtőfürdőzött, borogatom, itatom, leengedett redőnnyel fekszik a hálóban. És ilyenkor olyan kis "jaj, de beteg vagyok, gyere ápoljál" érzés uralkodik el rajta, úgyhogy megyek. Majd holnap jövök.

Pussz

Kép

Kép

Kata & Gege & Nórika :)
hoppá
 
 


Jo Reggelt!!!

Egy picit eltüntem ismét, kicsit besűrűsödtek a napok mostanában.

Hoppá,
Remélem már jobban van a párod, igyon sok sok folyadékot.
Nagyon meleg van itt mostanság :?

Sziszi,
Sajnalom a cisztas dolgot, de ne aggodj, minden rendben lesz :!:
Mikor olvastam hogy a Closty mellekhatasa, rogton eszembe jutott hogy en is szedtem nehany honapig (kb. 4) de soha nem kaptam tüszőrepit :shock: . A dokim nem is mondta hogy kell....ha mondta volna, Londonba eljártam volna UHra, de meg sem említette :x
Vegül is azért hagytam abba a Clostyt mert a szabályos menzeszeimet kitolta 4 - 5 napos késésekkel.

Az a cisztas UV nagyon durva :shock: De minden jó ha jó a vége :P

Musz,
Maus gyönyörű baba, nagyon szép szemei vannak, meg lehet zabálni :)

Gabi,
Nem semmi a kiscsajszi hogy kitolja magát :!:
Nemsokára azon veszed észre magad hogy elkezd járni :wink:
Hihetetlen hogy telik az idő...
Most nyári szünetbe hogy birod a 3 gyerkőccel :?:

Én tegnap meglátogattam a barátnőmet akinek egy gyönyörű 7 hetes kislánya van és enyhén szolva egy picit kétségbe estem. A gyerek folyamatosan sírt amíg ott voltam és mi meg csak ültünk és találgattuk hogy miért....csak akkor hallgatott el amikor cicire rakta, de akkor is csak addig amig a szájaba volt. Persze 5 percen belül elaludt a cicin, de ha kihúzta felébredt és nem tetszett neki. Baratnőm felhívta az anyjat, a párjat, tőlem ( :?: :!: ) kérdezte hogy mit csináljon....és állítólag aznap nem volt speckó, ez már így megy egy ideje...
A végen eldöntöttük hogy levisszük sétálni a gyereket (durva széles időbe), mert babakocsiba jól tud aludni és ahogy berakta a babakocsiba azonnal elaludt :P Ott aludt az előszobába, felöltöztetve, útra készen majdnem 2 órat :D

Bea,
Hogy birod cipelni az Ádit :?:
Olyan kis vigyori, vaskos baba :D

Bocs hogy most nem irok mindenkinek

Rólam néhany szót, aztán megyek Anyummal függöny karnist nézni :)
Balatoni járat egész jó volt, van egy kis transzfer busz Budapest és Sármellek között, úgyhogy ha bárki olcsó repjegyek akar, ajanlom a Ryanairs-t.
Hétfőn megyek dokihoz, gondolom csak megbeszéljuk a teendőket mert pénteken megjött és biztos nem fog megvizsgálni.
Párom csütörtökön jön, már nagyon hiányzik :oops:

Kép
icus
 
 

Vissza: Fogamzás

Jegyzetfüzet:

 

X
EZT MÁR OLVASTAD?