Sziasztok!
Először is,
köszönöm Dia és Bévi az smst, illetve Évi a hiányolást.

Ne haragudjatok, de én olyan fáradt voltam, hogy szavak nincsenek rá, szinte egész nap aludtam.
Ircsi! Mi mind szeretünk Téged, csak én olyan korán még próbáltam bepótolni az éjszakai nemalvást! Olyan jó, hogy ennyi mindent kötögetsz Katusnak, biztos ezek lesznek a legkedvesebb játékai!
Bévi! Nagyon sajnálom a szemölcsöket!

De reméljük most már nem lesz semmi gond! Tessék pihenni, de komolyan!
Szilvás! Az én külső méhszájam is kinyílt, cervix 3100.
Na és akkor dokinál mi volt:
Elmondtam neki a panaszaimat sorra, erre ő megfogta a kezem, rámnézett, és azt mondta: Barbara maga ideges. (tisztára remegett a kezem) Nyugodjon meg, hiszen már révbe ért, feleségül vették. Ezen olyan jót mosolyogtunk a Tomival.

Aztán megvizsgált. Nincs hüvelygyulladásom, tehát nem ez okozza a keményedéseket, görcsöket. Magnéziumot felemelte 4x2-re, illetve felírta a Pipolphen-t, napi 2x 1/2-et. Emiatt nagyon sokat kell pihennem, mert azt mondta a doki, az a hatása, hogy aluszékonnyá, fáradttá tesz, hát igaza lett, tegnap egész délután aludtam.

Emiatt nem végezhetek fokozott koncentrációt igénylő tevékenységet. Ekkor mondtam neki, hogy erről esetleg írna-e leletet, kell az egyetemre. Megírta, az is rajta állt, hogy veszélyeztetett terhesség... Azt mondta, jó lenne, ha még 4 hetet kibírnánk egyben. (hozzáteszem, védőnő is ugyanezt mondta). Elmentünk uh-ra, közben látta rajtam szerintem, hogy feszült vagyok még mindig, és kedvesen elbeszélgettünk hármasban: doki, Tomi, én, meg elpoénkodtak a fiúk

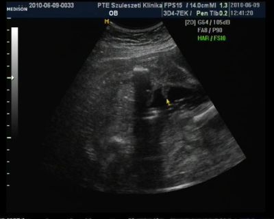
, aztán megnéztük a Törpöt. Készült róla egy nagyon jó kép, felteszem g-re.
BPD: 80,6 mm
THQ: 83 mm
becsült súly: 1750 g (jelzem, a doki megmondta a szórás: +/- 270 g, vagyis ennyire marha pontosak ezek a mérések!!!

)
vagyis tökéletesek vagyunk. Megint kortyolgatott a magzatvízből, és kiöltötte ránk a nyelvét, olyan édes volt.

Újabb fütyimutogatás megvolt, rugdosott közben szép nagyokat, na és jött a gond. A háton fekvéstől elnyomtam hátul egy idegem (szerintem) és éreztem, ahogy önt el a víz, esik le a vérnyomásom, sípol a fülem és mindjárt elájulok. Doki, Tomi egyszerre ijedt meg, hogy mi van, oldalra kellett fordulnom, hogy jobban legyek. Úgy folytattuk az uh-t. Veséi, tüdeje, gyomra rendben, áramlás rendben, magzatvíz átlagos, lepény mellsőfali, és még mindig koponyavégű fekvésben van a drágám, remélem ez így is marad most már tényleg. Hallgattunk szívhangot is, bár a rosszulléttől még kicsit sípolt a fülem. A doki megkérdezte, mennyit iszom, mondom másfél litert. Erre ő: tessék annál sokkal többet inni! Jelzem, nálam ez is rekord.

Tominak mondta, felügyeljen, úgyhogy most felügyelve vagyok és itatva.

Meg hogy a szüléshez kell kondi!! Ez okés, de ha ő szigorú ágynyugalomra ítél, akkor mégis mit csináljak, hogy legyen kondim?!

Nem merek tornázni.

Aztán visszamentünk a rendelőbe, útközben megbeszéltük, hogy júliusban és augusztus elején minden 2. nap ő ügyel, úgyhogy legjobb reményeink szerint összefutunk. Hát, remélem én is!!! Aztán mondta, hogy ez a súly tökéletes nekünk, és ha 2,95-3 kg lesz Bence, akkor minden szuper lesz, ennél nagyobb babához ugyanis mutatta milyen széles csípő kell, képzelje el mindenki. Legközelebb a 36. héten kell visszamenni, de bármi gondom van, csak hívjam fel, és előbb találkozunk!
Úgyhogy most Mg, Pipolphen, és szigorú fekvés. Remélem Bence ezt a 4 hetet tényleg még a pocimban akarja tölteni. De közben már felírtam, mennyi mindent kell csinálnunk, és az idő egyre jobban sürget, úgy érzem.
Kérdés: hogyan sterilizáljátok a mellszívót, cumisüveget? És még mit fertőtlenítetek?

És milyen felsőben fogtok szoptatni? Csomó buta buta kérdésem van...
