A baba portál - Babanet.hu

Új privát üzeneted érkezett!

Társalgó főoldal » Várandósság » 2013 júniusi babavárók


Zuzmi!

Köszi!Már időközben utána néztem és megnyugodtam hogy élő terhességről van szó ezekszerint és a szikhólyag az a magzat vagy embrió kezdemény.
gtimi83
Győr
 
 


Sziasztok,

Jó pörgõs kis fórum lett, lassan már azt sem tudom, ki lett végül tényleg terhes.... :)... Andi, Timi, Zuzmi, Ether... jól számolok? Akkor elvileg 5en vagytok a kedvesemmel együtt...
Köszönöm a kérdéseket, nálunk (lekopogom), minden OK. Rosszullétek, pici görcsök vannak, de semmi egyéb. Jövõ szombaton megyünk a következõ UH-ra, addigra elvileg "betöltjük" a 8. hetet is... már nagyon várjuk, hogy elõször megláthassuk, meghallhassuk :)
ficere
Miskolc
 
 


Visszanéztem, volt még Tamara is, de õ egy ideje nem ír, remélem minden OK.
Ahogy látom, három párnak (minket is beleértve) is az elsõ babája lesz, nem semmi :) eddig úgy láttam, nem ez itt a jellemzõ. Mindenkinek maximális egészséget és teljes problémamentességet kívánok szívbõl!
ficere
Miskolc
 
 

 
 

Na, csináltam ilyen csúszkát, bár egyelőre nem látom :)

Szerk: na most már OK :)

Lilypie Pregnancy tickers
ficere
Miskolc
 
 


Sziasztok!

Ficere: nagyon szép a vonalzótok! Jó messze van még jövő hét szombat! Olyan lassan telik ilyenkor az idő, nem?

Ether: hogy vagy? Mi újság?
Nem nagyon értelek most már. Te láttad, h barnázol, vagy csak az orvos vette ezt észre vizsgálat közben? Szeded a C vitamint? Szerintem a Rutascorbin sem ártana!

Timi: laptetőd van, tehát minden rendben lesz, nem kell aggódnod!
Téged sem nagyon értelek. Azt mondták neked, h a terhesség ideje 5 hét. Akkor a vonalzódon miért vagy 6 hét 4 napos?

Többi kismami és leendő kismami hogy van?

Nekem mostanában ég a gyomrom, kívános vagyok, de ugyanakkor folyamatosan undort érzek. A szagokat, illatokat sem nagyon tudom elviselni.

Kép


Kép

Lilypie - Personal pictureLilypie Fourth Birthday tickers
andi565
Budaörs
 
 
 


Sziasztok!
Ficere! Szép a vonalzó! :)

Ez a 3. terhességem,de ez megint tök más mint az első kettő.
Most pl nagyon sokat járok pisilni. Másik 2 gyereknél csak később jelentkezett ez. A derekam majd leszakad. Hol az egyik,hol a másik petefészkem szúr.Ti hogy vagytok ezzel?Néha egy kis émelygés. Kajákat nem nagyon kívánom,sőt ha arra gondolok,hogy ennem kell rosszul vagyok. A savam én is érzem néha és furcsa módon a gyomrom is megfájdul olykor-olykor. Mell fájdalom már csillapodott kicsit,de néha azért felerősödik egy-egy pillanatra. Álmosság,fáradtság érzése viszont egész nap végigkísér.
De 2 kicsi mellett nem nagyon feküdhetek el. :)
Összességében ha így marad akkor nem fogok panaszkodni. :)
Többiek merre vagytok?

Kép
Kép
Kép
zuzmi
Ausztria
 
 


Zuzmi: ugyanezt érzem én is!
Múlt héten még nem kívántam a kajákat én sem, a 7. héten jött elő.
Szóval ez egy kibírható áldott állapot? Akkor hallgatok!

Kép


Kép

Lilypie - Personal pictureLilypie Fourth Birthday tickers
andi565
Budaörs
 
 
 


Köszi a dicséreteket, igyekeztem valami kis egyszerű de ízléses verziót kitalálni :)
Andi: igen, nagyon lassan megy az idő, bár én még csak rosszul sem vagyok, úgyhogy nekem könnyebb...

Lilypie Pregnancy tickers
ficere
Miskolc
 
 


Sziasztok!

Ficere!

Én nem látom a vonalzótokat. :cry:

Zuzmi!

Én még nem tudom milyen ez a terhesség cici fájdalom elszineződés kezdődik aztán ma volt egy kis émelygés pisilni nem sürün járok és étvágyam se nagyon van.Az előzőt meg már leirtam nektek hogy az milyen volt.Lehet hogy most később jönnek a tünetek.Vagy nem lesznek.

Andi!

Hát mostmár magam sem tudom mennyi idős is vagyok.Az ultrahangon látottak alapján 5 hetesnek felelek meg.Majd átirom a legközelebbi ultrahang után amire nem tudom mikor megyek. :)

Igen nekem is nagyon nehezen megy az idő mostanság.
gtimi83
Győr
 
 


Sziasztok!
Andi! XD
Azért írtam,hogy ha így marad akkor nem panaszkodok,mert nekem az első terhességem nagyon rossz volt. Igaz ott 8. héten tudtam meg. Akkor lett pozi a teszt és másnaptól reggel, este kötelezően hányás. Egész nap hányinger,nagyon gyenge voltam.Alig bírtam felkelni. Csak a vajas kenyeret tudtam megenni sóval. Minden más kijött belőlem.Fogytam is 3 kilót akkor. Szerencsére ez a 12. héten elmúlt. Fiamnál nem volt semmi gond. Nála már nagyon korán tudtam,hogy terhes vagyok.Lehet furán hangzik,de együtt voltunk a férjemmel és másnap már tudtam,hogy terhes vagyok,mert úgy megszédültem,ahogy azt csak terhesség alatt lehet. Meg valahogy megéreztem. Aztán persze pozitív lett a teszt is hamarosan,de szerencsére nem volt se hányás,se hányinger.Semmi. Az meg azért volt rossz,mert mindig azt hittem valami baj van.Tök olyan volt mintha nem is lennék terhes. Már azt vártam,hogy nőjön meg végre a pocakom és rugdalózzon,mert akkor legalább tudtam,hogy minden ok. :) Fiamnál egyedül a gravidát hánytam ki,de azt lecseréltem az első 12 hétben elevitre és azt nem hánytam ki.Utána visszatértem a gravidára és már az is bent maradt.
Ficere, Andi!
Csak első terhességnél megy lassan az idő. Másodikat már észre sem vettem és eltelt.Sőt megmondom őszintén,hogy szülés után is olyan gyorsan telik az idő. Észre sem veszi az ember és már oviba mennek. :)

Kép
Kép
Kép
zuzmi
Ausztria
 
 


Timi!
Cici színeződés nálam is elkezdődött. Cici fájdalom már nem olyan vészes.Csak néha érzem kicsit jobban. Na de majd szülés után,amikor beindul a tejtermelés. :) Akkor aztán tud feszülni. Remélem ez a kismanóm is ügyesen fog szopizni és akkor hamar beáll a kereslet-kínálat. Szeretném őt is sokáig szopiztatni,mint a testvéreit.
:)

Kép
Kép
Kép
zuzmi
Ausztria
 
 


Timi! Amúgy szerintem mi is egy héttel fiatalabbak vagyunk,mert tudom,hogy később volt pé-m. Úgyhogy szerintem nálunk is módosítva lesz majd az időpont ha elmegyünk uh-ra. Én is mosta mensi alapján csináltam mega vonalzót,de nagyjából egyidős terhesek lehetünk.:)

Kép
Kép
Kép
zuzmi
Ausztria
 
 


Sziasztok!

Zuzmi

Az jó mert végre egy idős velünk valaki. :D Hát azt én is remélem hogy ez a baba szopizik majd mert Matyi utálta nagyon hamar le is tett róla.Az előző terhességem azaz az első nekem is olyan volt mint neked.Hányás hányás hátán.Fújj!Én most a gravidát szedem de még semmi gond vele eddig.Mondjuk csak 6 hétig szedem már a 12 hétig.

Bocs csajok hogy nem jöttem de mindig van valami holnap is egész nap meló van.

Többiek merre jártok?Tünetek?
gtimi83
Győr
 
 


Fááááááj a bimbiiiiiiiim! :lol: :lol:
gtimi83
Győr
 
 


Timi!
bimbiiii :lol: :lol:
Nekem most nem annyira. :)
Gravida még bennem is bennem maradt eddig. Aztán majd meglátjuk. :roll:
Nekem ma a hasam alja húzódott kicsit. Végre legalább érzek valamit. :) már tök para vagyok. Olyan mintha nem is lennék terhes,mert olyan ritkán érzek valamit. A legjellemzőbb tünet az álmosság,meg a petefészek szúrka. Eddig több tünetem volt. Már alig várom a dokit,hogy megnyugtasson minden ok. De csak jövő héten megyek szerda vagy csütörtök.
Kihez jársz dokihoz Győrben? Írhatod privibe is. Persze csak ha akarod! :)
Többiek? Merre vagytok? Valaki nem tesztel mostanában?
Írjatok!

Kép
Kép
Kép
zuzmi
Ausztria
 
 


Zuzmi!

A Dr Fekete Zoltánhoz járok!Majd leirom bővebben holnap!
gtimi83
Győr
 
 


Ok! :) Csak kíváncsi voltam. Én a Nagy Zoltán doktorhoz jártam az első kettővel. Szívem szerint most is ott szülnék,de ez bonyolult lenne. :(

Kép
Kép
Kép
zuzmi
Ausztria
 
 


Sziasztok!

Zuzmi!

Szóval én annó a Bodai Károlyt fogadtam meg hozzá is jártam becsülettel 9 hónapig magánban.2 hónappal a szülés előtt mondta hogy mire én kivagyok irva ő akkor megy nyaralni szóval nem lesz itthon.A végén kiderült hogy túlhordom MAtyit szóval átadott a Fekete dokihoz aznap mikor betöltöttem a 40.hetet igy 9 nap voltam a Fekete betege de szinte kinyalta a valagunkat pedig nem volt fogadott.A vajúdás alatt mivel inditani kellett napi többször jött vizsgálni kb óránként hogy mizu kivéve mikor nem volt ott aztán mikor úgy alakult hogy sürgősségi császár fél órán bellül ott volt és a mütét alatt végig beszélgetett viccelődött velem szóval hamar eltelt a mütét.A szülés után az osztályon napi 2 alkalommal megjelent.Minden alkalommal kezébe vette Matyit és nagyon kedves volt mindig mosolygott.Mai napig is sokat segit ha megyek hozzá mindig felvidit.Szóval lehet hogy én vagyok a kivétel de mindig örömmel megyek a dokimhoz. :D Fiatal jóképü szóval jobb nem is lehetne.Most is nála szeretnék szülni de most nem járok magánba hanem sztk-ra.
gtimi83
Győr
 
 


Sziasztok csajok és ficere!
Bocsi, hogy így eltüntem...
andi, igazából pont azért mentem dokihoz, mert barnáztam, amit a vizsgálatkor ő is megállapított. szerencsére ez néhány nap múlva el is múlt. tényleg hat a gyógyszer.
nem szedek mást, csak a femibiont, meg a duphastont, és a többi vitamint próbálom gyümölccsel, meg zöldséggel bevinni.
legalább is próbáltam, ugyanis mostanában nem kívánok szinte semmit, és folyamatosan fáj a gyomrom. már jó pár napja nem tudok megenni semmi egészségeset, csak zsíros szénhidrátbombákat. még jó, hogy most fogytam 10 kilót...
zuzmi, képzeld én pont úgy vagyok, mint te a 2. terhességednél. semmi tünet, és folyamatosan aggódom, hogy valami baj van, és alig várom, hogy elkezdjen nőni a hasam, vagy menjek a dokihoz ultrahangra, ahol láthatom, vagy akár már hallhatom is.
amúgy a mensi szerint 6 hetes és 4 napos vagyok.
ja és még mindig tesztelek néhány naponta, mert a pozitív megnyugtat.
Remélem mindenki jól van, és jól telt a hosszú hétvége!
timi, ha én találnék egy ilyen dokit, akiről te írsz, biztos nem mennék máshoz... :)
ficere, jó lett a vonalzó! nálam is csak úgy vánszorognak a napok. lassan telik nagyon...
jövő hét kedden megyek dokihoz. akkor leszek 7 hetes és 3 napos. remélem már látni fog mindent, amit kell. és esetleg..., talán hallhatunk is valamit...
Üdv mindenkinek: Bogi
ether
Cegléd
 
 


Ether!
örülök,hogy minden rendben veletek!
Megmondom őszintén ez a 3. terhességem is kezd olyan lenni,mint a 2. Alig van már tünetem és megint idegeskedek,hogy minden ok-e.
Azzal nyugtatom magam,hogy ha elment volna a baba,akkor annak is lennének jelei(görcs vagy vérzés),de semmi ilyesmi nincs. Vagy van olyan is,hogy nincs jele,ha elmegy a baba? Jó persze azért van néha terhes tünetem,de olyan kevésszer,hogy ideges vagyok.Alig várom az uh-t, de csak jövő héten megyek.
utálom ezt az első időszakot. Én is úgy vagyok mint te,hogy alig várom,hogy megnőjön a pocakom és érezzem,hogy rugdos. :)
Gtimi!
Nem ismerem a dokidat,de örülök,hogy végül jó kezekben kötöttél ki.
Én a Nagy Zoltánhoz jártam magánba mindkét gyerekkel és nála is szültem mindkettőt és ha tehetném a 3.-at is nála szülném. Egyszerűen szuper! Vicces,kedves és mindig megnyugtató a jelenléte. A kislányomat én is nyáron szültem és ő pont akkor ment nyaralni,mikorra ki voltam írva.Vagyis előtte 1 héttel,de megnyugtatott,hogy ne aggódjak,mert csak a Balcsira megy és ő onnan hamar hazaér,ha szülök. Képes lett volna hazajönni a nyaralásából,mert én épp szülök. Aztán nem kellett félbeszakítanom a nyaralását,mert már hazaért mire én mentem szülni. :) Nagyon emberséges és nem pénzéhes. Nem szabja meg,hogy mennyit adj egy szülésnél,mint egyes dokik. Az első szülésem nagyon hosszú volt, a második meg császár lett,mert leesett a szívhangja a picinek és kiderült azért,mert duplán rajta volt a zsinór a nyakán. Szülés után ő is minden nap bejött a szobámba,hogy megnézzen minden rendben van-e. Mai napig ha megyek hozzá megkérdezi,hogy a gyerekekkel minden rendben van-e. Sokan nem szeretik,mert nagyon alapos és elvárja,hogy amit mondd azt be is tartsák a kismamák és ha valaki nem azt csinálja amit mondd,akkor keményen és őszintén megmondja a véleményét. De ezeket a dolgokat csakis a kismamák érdekében mondja,csak a gyengébb lelkűek nem bírják elviselni az igazságot. :)
Na megint hosszú lettem! Bocsi

Kép
Kép
Kép
zuzmi
Ausztria
 
 


Sziasztok!

Zuzmi!

Én meg a Nagy Zolit nem ismerem vagyis a név ismerős de arcot nem tudok hozzá kapcsolni. :oops:

Én is úgy vagyok mint ti csajok szerintem 2 hét múlva ránézetak a pocaklakóra hogy rendbe van e mensi szerint már elmúltam 7 hetes de amúgy holnap lesz a baba 6 hetes szóval nem tudom mikor kéne jönnie a tüneteknek és igy aggódom én is kicsit.Olyan messze van még a december.

Ether

Örülök hogy jöttél és hogy jól vagytok.Igazából én sem kivánok semmit.De tegnap este a Grapefruit járt az agyamban szóval ma vadászok magamnak valahol de csak a piroshúsút szeretem ha nem lesz inkább nem eszek. :D Ha találkoznál a Feketével szerintem te is kész lennél tőle. :lol: :oops:

Többiek hol vagytok?Andi hogy vagy?
gtimi83
Győr
 
 


Sziasztok!

Kértem időpontot a dokihoz hogy nézzünk rá a babóra de csak November 9-re kaptam időpontot. :cry: Olyan soká van még.2 hét!
gtimi83
Győr
 
 


Viszont találtam piros húsú grapefruitot!Behütöm és este megsajnálom és jól meg is eszem. :lol:
gtimi83
Győr
 
 


Helló csajok!

Zuzmi, képzeld, nekem is pont ilyen gondolataim vannak, mint neked. Ha gond lenne, annak lenne tünete. Ha elmenne a baba, akkor azt vérzés kísérné. Na ez az, ami valamelyest megnyugtat.

Gtimi, jó étvágyat a grapefruithoz! Én ma melegszenyát csinálok vacsira.
magam se értem, de megkívántam.

Andi mizu???

Ficere gondolom már nagyon izgultok! holnap után UH. majd hozd a híreket!
én már nagyon várom a keddet...

Üdv mindenkinek: Bogi
ether
Cegléd
 
 


Sziasztok!

Visszamentem dolgozni és kicsit el vagyok havazva.
Szombaton utazunk Prágába, nem tudtam már lemondani. Szerintetek nagy hülyeséget csináltam. A dokim elengedett, de mindenki csak ilyezget, hogy így veszítem el a babát. Szerintetek?Sört biztos nem iszom, nagy sétákat nem teszem.Az úton lassan megyünk.

Hol dolgozik ez a Fekete doki?

Kép


Kép

Lilypie - Personal pictureLilypie Fourth Birthday tickers
andi565
Budaörs
 
 
 


Sziasztok!

Andi!

Ugyan már én igaz később de voltam hévizen is mikor Matyival terhes voltam.Nem lett semmi baja neki.Ha vigyázol és nem erölteted meg magad akkor semmi baj nem lesz.Pihenj sokat és jó utat.

A Fekete doki győri itt rendel. :wink:
gtimi83
Győr
 
 


Kellett nekem aggódni!Az előbb megérkezett hozzám Róka koma hánytam is egy jót! :? És ahogy érzem még fogok is párszor.
gtimi83
Győr
 
 


Timi! Sajnálom! :(
Amúgy most nekem is kicsit rosszabb a gyomrom. Lehet én is követlek majd pár nap múlva. Lányomnál is csak 8. héten kezdődött a hányás,de akkor aztán rendesen.

Kép
Kép
Kép
zuzmi
Ausztria
 
 


Sziasztok!
Andi szerintem ne aggódj, nem lesz a babának semmi baja. Ami neked jó, az neki is jó! Vigyázz magadra és jó utat nektek!
Timi jobbulást, vagy kitartást neked. néhány hét múlva könnyebb lesz. Próbálj sokat pihenni.
zuzmi jobbulást a te gyomrodnak is.
Nekem ma sikerült egész nap pihenni, de holnaptól kemény hét vár, ugyanis megérkezik párom 8 évese az őszi szünetre. Hát ő nem hagyja magát, minden percét le kell kötni...
Üdv mindenkinek: Bogi
ether
Cegléd
 
 


Ether!
köszi! Végül engem még nem látogatott meg a róka koma. :)
Neked pedig jó szórakozást az őszi szünetre! :)

Kép
Kép
Kép
zuzmi
Ausztria
 
 


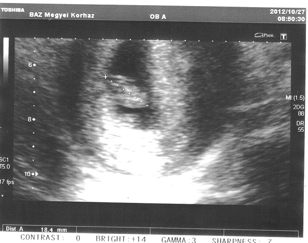
Üdv mindenkinek

A mai eredmény:) : Kép 8 hetes UH

Minden ok, 18 mm, pulzus 140/perc, a korának éppen megfelelő méretű legényke/leányka :)
Nagyon boldogok vagyunk! Mindenkinek hasonlókat kívánunk!

Lilypie Pregnancy tickers
ficere
Miskolc
 
 


Ficere!
Hát ez szuper!! Gratulálok! :)

Kép
Kép
Kép
zuzmi
Ausztria
 
 


Köszi szépen :)

Timi neked is :)
A hozzászólást 1 alkalommal szerkesztették, utoljára ficere 2012.10.27 22:07-kor.

Lilypie Pregnancy tickers
ficere
Miskolc
 
 


Sziasztok!

Ficere!

Csecse babátok van! :D
gtimi83
Győr
 
 


Sziasztok!

Örömmel jelentem hogy csak hányingerem van a hányás óta nem volt több.Igy nehéz enni de legalább tudok csak kevesebbet.Holnap megyek védőnőhöz.

Zuzmi!

Te hogy vagy?
gtimi83
Győr
 
 


Gtimi!
Örülök,hogy már nem hánytál! :)
Én még nem hánytam,de egyre többször kap el a hányinger bizonyos szagokra.
Emellett rohadt álmos vagyok egész nap. Meg többször megszédülök. Biztos megint alacsony a vérnyomásom,de a szokásos kávémat meg nem kívánom. Pedig a fiamnál a védőnő javaslatára megittam minden reggel egy tejeskávét.mert marha alacsony volt a vérnyomásom akkor is. Lányok én olyan lusta vagyok. komolyan nehezemre esik még megfőzni is. :oops:
De muszáj a gyerekek miatt! Alig várom hogy leteljen az első 12. hét. Utána jobb lesz.
Még van egy furcsa tünetem. Olyan fura bugyborékolást vagy bizsergést érzek a hasam aljában. Nem egyfolytában,csak néha. Tegnap kezdődött.Nektek nincs ilyen? Fura,mert egyik terhességemnél sem volt ilyen tünetem. :) Hiába, mindig tanul valamit az ember! :D

Kép
Kép
Kép
zuzmi
Ausztria
 
 


Sziasztok!

Zuzmi!

Engem is eléggé kerülget a hányinger.Remélem hányni nem fogok.Bár fogytam már 2 kilót mivel nem tudok olyan sokat enni egyszerre.Napi 1 tejes kávét én is megiszok mert az még nem árt sőt akinek alacsony a vérnyomása annak kell is.

Ma voltam a védőnőnél megkaptam a kiskönyvet is minden rendben volt.Pisi hibátlan vérnyomás 100/60 súly ruhástól csizmástól 87kg de amúgy ruha nélkül 85 itthon mérve. :P
gtimi83
Győr
 
 


Gtimi!
Látom a vérnyomásod miatt neked is kell a kávé. Nekem is mindig 100/70 volt terhesen. Most nem tudom mennyi,mert nincs mérőm és itt védőnő sincs aki megmérje. Dokihoz is sajnos csak jövő héten tudok menni,mert közbeszól az ünnep. Szerdán tudtam volna menni,de haza kell mennünk Győrbe. Úgyhogy le vagyok törve,mert még mindig nem tudom meg minden okés-e odabent.
Sajnos a súlyommal én bajban vagyok. Van rajtam jó pár kiló felesleg és most indulok a legmagasabb súllyal a terhességeim közül. :(

Kép
Kép
Kép
zuzmi
Ausztria
 
 


Sziasztok!
ficere gratulálok a babához!!! már szép nagy!
én holnap megyek dokihoz. akkor lesz 7 hetes és 3 napos. hát eléggé aggódom és izgulok, hogy mit mond a doki...
zuzmi ne törődj most a súlyoddal! majd ráérsz még emiatt aggódni, most a baba az első.
én épp túl vagyok egy két hónapos fogyiprogramon, keményen diétáztam és még keményebben edzettem, majdnem minden felesleget sikerült leadnom, és most meg látom, hogyan rakódik vissza :(
de tudjátok mit? nem érdekel, mert egy másik igazi nagy álmom miatt adom fel és ennél jobb nem is történhetett volna!!!
gtimi remélm elkerül róka koma. figyelj, hogy sokszor egyél keveset és soha ne legyen üres a gyomrod. ez talán segít. ezt nekem anyukám mondogatja folyton... :)
ether
Cegléd
 
 


Ether!
Persze,nekem is mindig a gyerekek az elsők és nem a saját külsőm,csak sajnos nekem az első terhesség előtt felborult a hormonháztartásom a fogamzásgátló miatt és akkor én 2 hónap alatt híztam 12 kilót. A lányom is 1 év után sikerült,mire rendeződött a ciklusom és sajnos erre a 12 kilóra jött utána első terhességnél 11 kg, másodiknál 14. Igaz ami terhességgel jött rám az le is ment utána,de az a fránya 12 plusz még mindig itt van és mellé még most kaptam a hormonos spiráltól 7 plusz kilót. Úgyhogy már elegem van a sok túlsúlyból. És a legnagyobb bajom az,hogy én nagyon alacsony vagyok( 154 cm) és most 70 kiló amire tuti jön a terhességgel minimum 10kg. És sajnos tudom,hogy milyen nehéz lesz nekem a végén cipelni azt a nagy súlytöbbletet.
Úgyhogy csak ezért aggódom a súlyom miatt. :(

Kép
Kép
Kép
zuzmi
Ausztria
 
 


Egy dolog biztos, soha többé nem kérek semmilyen hormontartalmú fogamzásgátló módszerből!!!!! :evil:

Kép
Kép
Kép
zuzmi
Ausztria
 
 


Van egy jó hírem is! Jövő héten szerdán megyek a dokihoz 9:50-re! :D

Kép
Kép
Kép
zuzmi
Ausztria
 
 


Ether: mi volt a dokinál? Nagyon várom a híreket!

Ficere: hatalmas gratula nektek a szép fejlődéshez és a szívhanghoz!

Timi, Zuzmi: hogy álltok a hányingerrel?

Mi megjöttünk Prágából. Imásom ezt a várost, kár lett volna kihagyni!
Sokat gyalogoltunk, havazott és hideg volt. Remélem nem ártottam a babának.
Holnap este megyek uh-ra. Nagyon izgulok megint.

Kép


Kép

Lilypie - Personal pictureLilypie Fourth Birthday tickers
andi565
Budaörs
 
 
 


Andi!
Általában délután van hányingerem,de leginkább a szagokra jön elő! Most éppen a savammal küzdök! :( Nemrég ettem és nagyon rossz lett a gyomrom,meg érzem a savamat is a torkomban. :(
Tüneteim alapján azt mondanám megint fiam lesz,de a megérzésem meg azt súgja,hogy kislány! :) Kíváncsi leszek! :)

Kép
Kép
Kép
zuzmi
Ausztria
 
 


Andi!
Egyébként te hogy vagy? Hogy viseled? Vannak rosszulléteid? Írd ám meg mi volt az uh-n. :)

Kép
Kép
Kép
zuzmi
Ausztria
 
 


Zuzmi: nekem ma megint hányingerem és savam van. Prágában nyoma nem volt ezeknek a tüneteknek, ott csak a hasam fájt. A szagokra én is nagyon érzékeny vagyok, sok mindentől undorodom.

Mi a különbség a lány és a fiú okozta tünetek között?

Kép


Kép

Lilypie - Personal pictureLilypie Fourth Birthday tickers
andi565
Budaörs
 
 
 


Sziasztok!

Andi!
Örülök hogy jól érezted magad.Ugye hogy megérte elmenni?A levegő meg a séta az csak jót tesz.Semmi baj nem lesz.Jól is érezted magad szóval az csak jó.Ha a mama boldog a baba is az. :D Valószinü azért került el a hányinger mert le voltál foglalva mással.Én azt veszem észre magamon ha van kivel beszélgetnem meg lefoglal valami akkor jobban vagyok.Ha nincs mit csinálnom az csak rossz.

Zuzmi!

Hát ez a szar hogy milyen nehéz a vége de nekünk ugye az eleje se leányálom.Én most úgy érzem hogy kislány lesz a babunk.Ha tévedtem hát ez van.

Az én hányingerem megvan.Folyamatossan kell legyen valami a gyomromban mert különben jn a róka.Egyre rosszabb lesz és még csak 2 nap múlva töltöm a 7 hetet.Az jó ha mész dokihoz.Én jövő hét pénteken megyek majd.Olyan soká van még.

Ether!

Rendben vollt minden?Gyere a hirekkel.
gtimi83
Győr
 
 


Andi!
Ez csak az én feltételezésem,hogy fiú vagy lány. :) Én úgy vettem észre magamon és a környezetemben is,hogy aki fiút várt annak semmi baja nem volt a terhesség elején, aki meg lányt,az hányt,ragyás lett a bőre,gyenge volt nagyon.
Nálam bejött eddig és talán több igazság van benne,mint abban,hogy kinek milyen formájú a hasa. :) Az szerintem hülyeség,mert pl. nekem mindkettővel csúcsos hasam volt.Ez szerintem alkati dolog. :) De mondom ez csak az én feltételezésem. :D

Kép
Kép
Kép
zuzmi
Ausztria
 
 


Gtimi!
Sajnálom,hogy ilyen rosszul vagy! :( De kitartás! A 12. hét körül a szerencséseknek elmúlik a rosszullét. Én annyira nem vagyok rosszul szerencsére! Bár ez még változhat! De remélem nem fog! Jó lenne megúszni ennyivel az elejét,mert nem könnyű így ellátni a háztartást meg a másik két gyerkőcömet! :)

Kép
Kép
Kép
zuzmi
Ausztria
 
 


Zuzmi: én nem tudom ez alapján eldönteni. Ma nagyon rosszul voltam, de még sosem hánytam. Pattanásaim is vannak. Lehet mégis lány lesz. Na mindegy, ez egyáltalán nem számít! A lényeg, hogy minden rendben legyen a babámmal.

Bogi: miért nem jelentkezel?

Kép


Kép

Lilypie - Personal pictureLilypie Fourth Birthday tickers
andi565
Budaörs
 
 
 

Vissza: Várandósság

Jegyzetfüzet:

 

X
EZT MÁR OLVASTAD?