Sziasztok!
összefogott ellenem a világ....
tegnap bekattant egy régi kedves kajám... főtt krumplit vajjal durvára török (nem annyira, mintha krumplipüré lenn) és hozzácsapok főtt tojást is szintén villával szétnyomva... megfőztem mindent hozzá, már sírtam majdnem, hogy készüljön már el

fogtam az első tojást, belekevertem a krumpliba, aztán a másodikat is, és csak ezután éreztem meg, hogy romlott a tojás.... ne tudjátok meg mekkorát énekeltem a fehér mikrofonba

Ma újra megfőztem, de most meg agyonsóztam a krumplit... feladom

Vettem dinnyét is, meg padlizsánt, ezekre is rá vagyok kattanva, de a dinnyének megint romlott tök ízt érzek...
Alváshoz még annyit, hogy az oldalt fekvés is kényelmetlen terhesen, a háton fekvéstől meg kijöhet az aranyér, szóval...

Lilili kérlek csak egy napra add át ezt a no éhségérzetet!!! kérleeeeeeeeeeeeeeeeek!!!!
Enyém anyósom ma oldalast süt a kislánykám kedvéért, Borka csontnak hívja és imádja rágni

alapból én is, de most nagyon nem esett jól megérezni.. mint ahogy a tegnapi lecsót sem

Tényleg mikor mondjátok el a nagyszülőknek és hogyan? Mi Borkát úgy mondtuk el az 5. és 6. hét között (mert látszott már), hogy adtunk a nagyszülőknek kis zoknikat

Bendit pedig úgy, hogy festettem Borkának egy bodyt, kistesóm lesz felirattal. Anyuék rögtön észrevették, Anyósomék aznap egész délután lent játszottak Borkával a kertben és nem vették észre... később lement a férjem, hogy nem is mondanak semmit, hát akkor derült ki, hogy nem is olvasták el



Májusban pont aznap mondtuk el anyósoméknak meg a két Dédinek, amikor elkezdtem vérezni

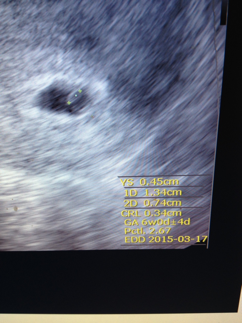
Most megvárjuk a szívhangot (bár ha addig véletlenül lehányok valakit, akkor nem várunk addig

) aztán elmondjuk, bár szerintem anyum már vágja.. célozgatott is rá, meg mindig a hasamat lesi.
Jelentem meg sem próbáltam megnézni a Szulejmánt, de már kapcsolom is be a vasalót és megnézem
