A baba portál - Babanet.hu

Új privát üzeneted érkezett!

Társalgó főoldal » Várandósság » 2008-ban szeretnek szulni


Harivera
Mikor tesztelsz?

PHPBB kód:
Kép
Kép
betti1
 
 


Vera-Ibici
Drukk nektek a jövő hétre! :lol:

Betti
Sikerült már valami egyességre jutni a férjeddel?Vagy változatlan a helyzet!
Ne aggódj,a mi időnk is eljön hamarosan! :wink:

edoci
 
 


Lego
Köszi,azt hiszem jobban,bár jó erős gyogyikat kapok! :roll: De haladok! :wink: Novemberben remélem jó eredményt kapok! :wink:

edoci
 
 

 
 

MAGI
EREDMÉNY??? :?:

edoci
 
 



Amíg Magit várjuk (MAGIIIIIIIIIIIIIIIIIIIIIIIIIIIIII :!: :!: :!: )
addig is:
Neeem, Vera! Ez nem lehet sima tipp Pati olyan biztosan állítja
Lexa! Minél magasabban vagyok, annál nagyobbat lehet onnan pofára esni... DE szerintem akkorislány!!!!
Azt mondta az uH-s, hogy ha szetteszi a labat 90%-ra meg tudja mondani mi lesz
Magi, drága! Jó dokid lehet... Remélem szóltál neki hogy elég nagy terpeszben vizsgáljon!!! :lol: :lol: :lol:
Mpatr
Én is sorban állok nálad egy fiúért vagy egy leányzóért!

Edoci! Előbb a férjednél állj sorba én csak azután jövök... :lol: :lol:
Akkor jövőhéten izgulhatunk 2 tökért is!
No comment... EZ KÉÉÉÉÉÉÉSZ!!! :lol: :lol: :lol: :lol:

Kép
Kép

Egészség legyen, a többit megvesszük!
mpatr
 
 


edoci!Betti!
Köszi a drukkot!!
Rám fér az tuti,de most megígértem magamnak és a férjemnek is,hogy nem fogom a tesztet elkapkodni!
A múlthónap az nagyon gáz volt,teljes elkeseredés!!!!!

Kép
Kép
a.ibici
 
 



szia
várjuk a tesztet

PHPBB kód:
Kép
Kép
betti1
 
 



Tyűha Harivera!! Emmán döfi!! :wink:
ÉÉÉÉÉÉDESEK EZEK A KISPASOK! El lehet olvadni tőlük!!!! :D

Kép
Kép

Egészség legyen, a többit megvesszük!
mpatr
 
 


Vera
Kádnyi gyerek :lol: nagyon jó!aranyosak! :lol:

Ibici
mióta próbálkoztok?

Mpatr
Köszi!Örülök hogy lehet rád számítani4 :lol:

edoci
 
 



edoci!
július óta.

Vera!
Ma kell apát elkapni nem?
Arik a fiúk nagyon!!!!!!!!!

Kép
Kép
a.ibici
 
 




Sziasztok!

Itt vagyok, csak gyorsan megkeresem a kepet, lekicsinyitem es ellehet donteni, hogy mi is lesz.

Magi
Vendég
 


Sziasztok


Sajnos ez a hétvége is elment. Annyira gyorsan telnek a hétvégék.

Nekem holnap, meg kedden iskola lesz, és órarendem még nincs hogy meddig leszek, lehet csak este tudok majd jönni.

Akinek drukkolni annak megy a drukk ezerrel.

Nagyon jók a képek.

Vera a hőd ma mennyi volt?

Kép
lieglgabi
 
 


Magi csak tippelni tudunk? Vagy neked meg mondták?

Kép
lieglgabi
 
 



Magi
Nagyon kíváncsi vagyok! :D

edoci
 
 



vera akkor holnap elvileg le kell esnie a hődnek, nagyon drukkolok

Kép
lieglgabi
 
 


dodó milyen volt a hétvége? Jól sikerült?

Kép
lieglgabi
 
 


Magi, nemééééééééééér! GYEREMÁÁÁÁÁÁ!!!
tipp: FIÚ!!!

Kép
Kép

Egészség legyen, a többit megvesszük!
mpatr
 
 


Magi már nagyon várunkk ám, nem ér ennyi ideig váratni.

Szerintem kiscsaj.

Kép
lieglgabi
 
 



MAGIII!!!!!!
LÉCCCILÉCCILÉCCCIIIIIIIIIIIIIIIIIIIIIIIIIII!
Szeretnék menni a gyerek hív hogy fektessem, de nem merek felállni a géptől, hogy írsz. Egész este ezt várom.
NEMÉÉÉÉR!!!!

MAGIIIIIIIII

Kép
Kép

Egészség legyen, a többit megvesszük!
mpatr
 
 


Na akkor kórusban, mindenki:

MAAAAAGI, MAAAAAAGI, MAAAAAAAAGI!!!!!!

Kép
Kép

Egészség legyen, a többit megvesszük!
mpatr
 
 


MAGIIIIIIIIIIIIIIIIIII
eznekedgyorskeresééééééés????????

Kép
Kép

Egészség legyen, a többit megvesszük!
mpatr
 
 



vera előszőr le esik az jelzi hogy meg volt a pe, és utána kezd el emelekdni, d enem biztos hogy rögtön nagyot emelkedik, ha akarod belinkelem neked az én terhesgörbémet, mikor Rékával lettem terhes.

Kép
lieglgabi
 
 


én nem értek ezekhez a klimaxos hődolgokhoz, de szurkolok hogy jó legyen Neked.
Viszont a kislányhoz nem ilyenkor és nem ennyire gyakran kell ám nagy szexeket nyomatni hanem napokkal a pé előtt mert az lassabban is termelődik meg lassabb a mozgása is viszont tovább él.
Így megint bekapod a kispasit te csajszi :wink:

Kép
Kép

Egészség legyen, a többit megvesszük!
mpatr
 
 


Vera én csak tudom hogyan kell kiscsajt csinálni :oops: :oops:
:lol: :lol: :lol: :lol: :lol: :lol:

Kép
Kép

Egészség legyen, a többit megvesszük!
mpatr
 
 



Magi legalább annyit írjál hogy mikor jössz mert a nagyfiam vár...

Kép
Kép

Egészség legyen, a többit megvesszük!
mpatr
 
 



vera rtka amikor 2 napig +, de ha holnap is akkor holnap után lesz az ovulátió

Kép
lieglgabi
 
 



hömmm...
szerdán megyek uh-ra ott még bepuncisodhat... de van rá kb 0,1% esély. Mindegy a remény hal meg utoljára :lol: :lol: :lol: :lol: :lol: :lol:
Megj.: ez tényleg csak vicc, amúgy ugyanannyira örülök ha tényleg kispasi!!!!!!!!!!!!!

Kép
Kép

Egészség legyen, a többit megvesszük!
mpatr
 
 


Kép

:lol: :lol: :lol: :lol:
Vendég
 


Magi szerintem lány, szerinted? Mit mondtak?

Kép
lieglgabi
 
 



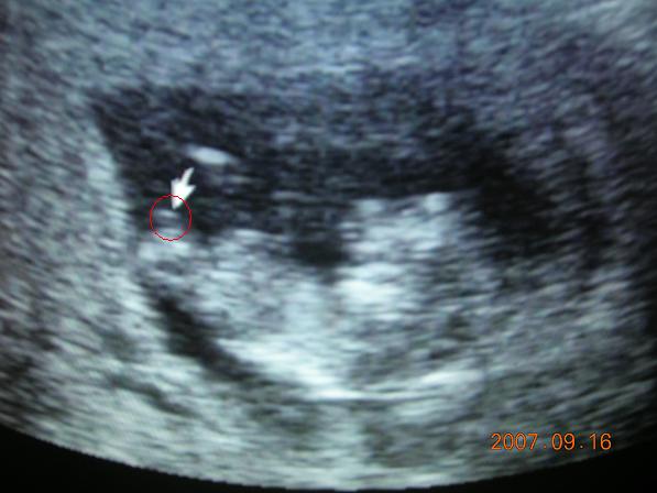
Nos nem tudom, hogy ti mennyire latjatok:

Eleg rosszul latszik, de itt ket vonal van:
Kép

Itt meg egy kiallo valami:
Kép

Vera!
Te ezt is tuti kukacosnak latnad.

Amit lattam az szerintem fiu lesz, hiaba erzem, hogy lany.
A masodik kepen itt nem latszik jol csak a rendes tv-n egyertelmuen olyan mint Zolie volt.

Hiaba van sok helyen ket csikocska.

Magi
Vendég
 


WOW!!!
Ez a felétel igen jól sikerült!!!!
Gratulálok! Gyönyörűű kisfiú :lol: :lol:

Kép
Kép

Egészség legyen, a többit megvesszük!
mpatr
 
 


Sziasztok!!!

Előkerültem!!! visszaolvasgattam mindent amiket irtatok!!! A hétvége nagyon jó volt, jó időnk is volt, csak ma esett, de ma már jöttünk is el, ugyhogy az mindegy volt!! Még a főzés is jó volt, mert jó hangulta volt a konyhában sok zenével!!

Magi!
Nem ér ennyire megvárakoztatni szegény kíváncsi embereket!!! :)

d.dodó
 
 



Nem volt 4D sem es 3D sem, mert meg pici es nagyon eletlen volt.
De igy megusztuk a fele arert.

1 ora volt az UH es vegig mozgott, de beterpeszteni nem akart, ezeket veletlenul csipte el.
A szivet is nehezen lehetett meghallgatni, mert egyfolytaban elugralt.

Kép

Magi
Vendég
 


MAgi én a 2008-ban szülünk topikba feltettem augusztus végén valamikor a mi uh képeinket ahonnan gyanakodtunk hogy fiú.
Ha gondolod keresd vissza összehasonlítás-képpen.

Gratulálok!
Egyéb paraméterek rendben?

Kép
Kép

Egészség legyen, a többit megvesszük!
mpatr
 
 


magi ehhez hozzátenném, hogy 12 hetes 4D-s uh-on mondta doki hogy ez bizony szép kisfiú,én meg rávágtam az nem lehet, az bizony kislány, mert hogy én azt éreztem. Onnantól kezdve nem mutatta a drágám a 30. hétig, akkor aztán megláttuk, és Réka lett belőle. :):):):):

Kép
lieglgabi
 
 

Vissza: Várandósság

Jegyzetfüzet:

 

X
EZT MÁR OLVASTAD?