Sziasztok,
először is, gratula a kismamáknak a gyönyörű eredményekért!!!!
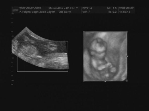
Judy, nagyon szép babátok van, gyerekek mit szóltak???
Chrissyy, szuper, hogy minden rendben. Később is így lesz!!!
Kata, Vikike, köszönöm a drukkokat, de már teljesen tanácstalan vagyok......... Miért nem sikerül???? Mi hiányzik, mi a baj???? Lesz-e valaha pozitív tesztem????? Persze lesz, tudom, csak ennyi nega után rettenetesen hihetetlen....
Vicuska, nagyon drukkolok szerdára, remélem előrébb juttok

S hát akkor én is beállok a sorba a 2007. szeptemberben babásak leszünkbe. Úgy legyen!!!!!!
Megosztom veletek a mai magánéleti sikerszorijaimat, (a munka sem jobb, de azt nem részletezem

).
- szóval, a pesti lakásban az albérlőnk eláztatta az alsó lakót, ma Apának vizet kellett fent szerelnie
- Barna ellátogatott hozzám, és még most se tágít, hamarosan jön Piri is...
- Hazafele életemben először karamboloztam.... még szerencse hogy nem lett semmi bajom, de a kocsi eleje klasszul néz ki. azt se tudtam hogy fiú vagyok-e vagy lány
- s a hab, de már tényleg csak a hab a tortán, hogy mosogatás közben jól szembespricceltem magam szappannal
Hát röviden ennyi

Elég egy napra, sőt, erre az évre is remélem most már csak jó jön és a bosszúság, szomorúság elkerül!!!!!
Holnaptól irány a balaton, nem tudom, hogy tudok majd netezni, majd meglátom.
Viszont vettem Multi Macát, sőt regisztráltattam is, ne persze nem azért, mert hosszú távon szeretném, ha Maca beköltözne hozzánk
Mindenkinek babás álmost, Vicuska neked Kalappal és kívánom, hogy minden áramoljon csak úgy ahogy a nagykönyvben meg van írva, s szerdán találkozzunk! Gyere Te is, majd mi lelket verünk beléd!!!!!!!!
Legyetek jók, puszi,