Puszedli! Ide is megírom a válaszom, mert sztem a privit nem küldte el.
Szóval nem baj ha drágább az LH teszt mint 90 Ft, elvileg szegénnyel azt is megígértettem, hogy egyáltalán nem kell előre utalni semmi pénzt, hanem ő megelőlegezi, de aztán olyan sok teszt lett a végén, hogy nem volt pofám ilyet kérni tőle. Majd a különbözetet a postaköltséggel együtt elutaljátok neki.
Ha meg tudja venni ezen a héten (vagy ő vagy a férje), akkor sztem már ezen a héten fel is tudja adni, de legkésőbb a jövőhéten. Remélem legalábbis, mert a jövőhét végén már nekem is kelleni fog az LH teszt!!
Tücsi, igen, szóltam neki, hogy bélelt vagy dupla borítékban küldje, és ezért is kell a tértivevény, mert így a postás a kezedbe adja, reméljük bontatlanul....
Miért jó a cukorbetegeknek való multivitamin?? Cukormentes?









Nem is tudtam, hogy ilyen hamar elengedik a kismamikat a kaáliból?












punkció után
érett petesejt
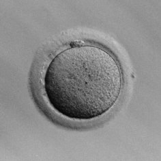
megtermékenyült
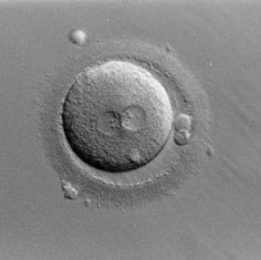
2 sejtes (24-26 órával a megtermékenyülés kezdete után)
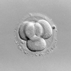
4 sejtes (2 napos)
8 sejtes (3 napos)
4 napos morula
5-6 napos blasztociszta










