Várandós naptár
Terhességi naptár első trimeszter: 1-4. hét – Gratulálunk!
A teljes terhesség 40 hétből (280 napból) áll, amelyet 13 hetes trimeszterekre osztanak a legutolsó menstruáció első napjától számítva. Igen, az orvosok által a terhesség első két hetének tartott időszakban voltaképp még meg sem termékenyültél. De fogadd el a gondolatot: terhességed első napjának az utolsó menstruációd első napját kell tekintened. Az ovuláció általában két héttel ezután következik be, és a legtöbb nő valamikor ekkortájt esik teherbe. Ha eddig furcsának találtad azt a gondolatot, hogy egy fejlődő emberke lakik a testedben, akkor mit szólsz ahhoz, hogy megtermékülésed napján tulajdonképpen már két hetes terhes voltál!
A patikákban kapható, otthon elvégezhető tesztek ma már alkalmasak arra, hogy 10 nappal a megtermékenyülés után kimutassák a terhességet – tehát egy héttel a következő vérzésed előtt, azaz a terhesség 24. napján.
Ha úgy gondolod, babát vársz, kérj időpontot a háziorvosodtól, mielőbb menj el vérvizsgálatra és az első terhesgondozásra (tipp: készíts listát a kérdéseidből, ott helyben sokszor nem jut eszedbe, mit szerettél volna még tudni). Szülészeddel az első és második trimeszterben elég havonta egyszer találkozni, de tudd, hogy a megfelelő terhesgondozás elengedhetetlen a babád fejlődése szempontjából! Kerüld a gyógyszereket (még a vény nélkül kaphatókat is), az alkoholt, a túlzott cukorfogyasztást, a koffeint és a cigarettát – még a passzív dohányzás is hathat a magzatodra!
Jövő ilyenkor a babád már 16 hetes lesz! Gondoltad volna? Hogy rohan az idő!
A babád
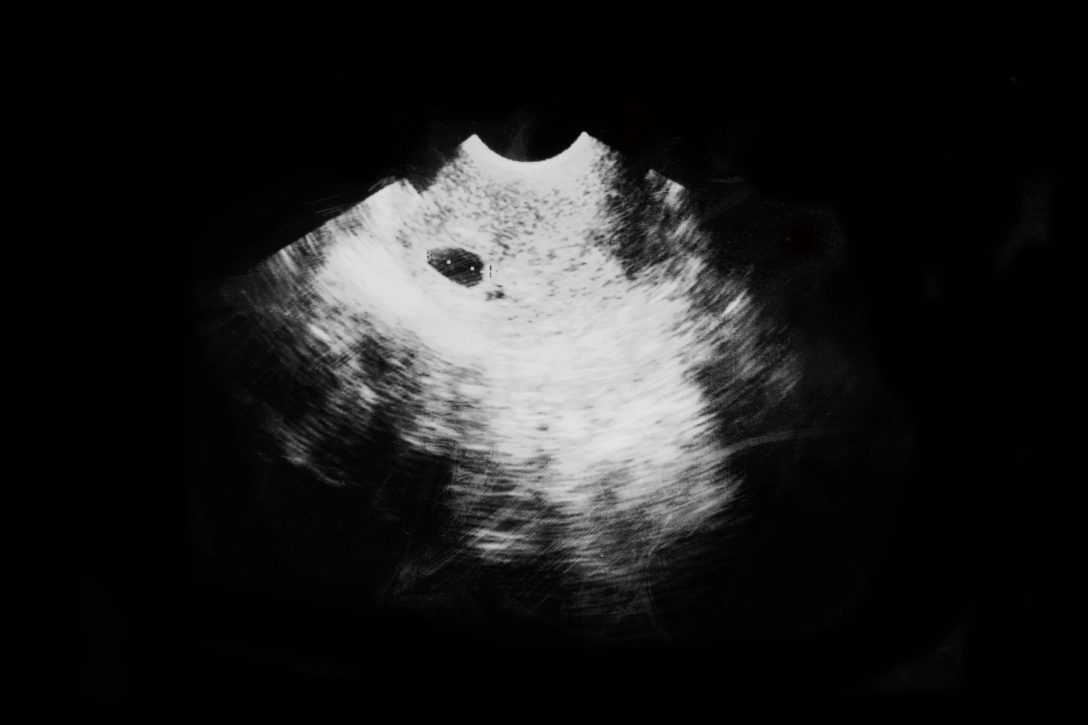
A negyedik hét végére babádat már megilleti az embrió elnevezés. Az embrionikus sejtek elképesztő tempóban nőnek, ráadásul minden sejt napjában osztódik is. A terhesség negyedik hetére a fejlődő baba már kb. 1 mm hosszú, és leginkább egy apró ebihalra emlékeztet. Erősen a méhfalhoz tapad, és hormonokat juttat a te véráramodba. Megkezdődik a placenta (méhlepény) kialakulása, de még rengeteg fantasztikus és izgalmas változás előtt állsz.
A te tested
A következő vérzésed nagyjából a terhesség negyedik hetének végére lenne esedékes. Ennek elmaradása jelenti általában a terhesség első tünetét. Olykor előfordulhat, hogy némi görcsöt vagy vérzést észlelsz, amikor a blastocista a méhfalba ágyazódik, de az első hetekben a testedben történő változások nagyrésze alig észlelhető.
Étrended kalóriaértékén már ekkor is emelhetsz. Attól függően, hogy mennyit nyomtál, mikor teherbe estél, nagyjából 7,5-20 kg súlygyarapodásra számíthatsz a gyermekvárás alatt. Egy átlagos testalkatú nő esetén elmondható, hogy az első 20 héten átlagosan napi 2200 kalóriára van szüksége, majd 2500 kalóriára a további hetekben. Ne téveszd szem elől, hogy bár súlyodnak gyarapodnia kell, az üres kalóriák nem válnak hasznotokra! Próbálj meg egészségesen táplálkozni, és végezz az állapotodnak megfelelő testgyakorlatokat is! Ügyelj arra, hogy napi étrended megfelelő mennyiségű folsavat tartalmazzon, és beszéld meg orvosoddal, melyik vitaminkészítményt javasolja számodra.
Kapcsolódó cikkek, érdekességek
Vizsgálatok a terhesség alatt
Hogyan mondtam el?
A terhességi vérzésről
Az élet útja
Kismamaszótár










